百科生活 投稿
关于【吃赖尿虾的好处】:这8种肝脏变异,不是病变,但却极易被误诊,女孩子生吃螃蟹。濑尿虾好吗??不是经常吃的。。。有什么好处。。。在线等,今天小编给您分享一下,如果对您有所帮助别忘了关注本站哦。
- 内容导航:
- 1、孕妇可以吃濑尿虾吗中期
- 2、这8种肝脏变异,不是病变,但却极易被误诊
- 3、女孩子生吃螃蟹。濑尿虾好吗??不是经常吃的。。。有什么好处。。。在线等
- 4、虾爬子的营养价值和功效
- 5、女人吃皮皮虾有那些好处
- 6、椒盐尿虾怎么做
- 7、男性吃皮皮虾,对身体有哪些好处?
1、孕妇可以吃濑尿虾吗中期
你好
中国人素来爱吃而且会吃,中国地大物博,同样的食材在不同地方都能做出不同的风味,中国也近海,海产品同时也是中国人餐桌上的常客。在广东我们通常吃的虾是河虾,直接拿去蒸,吃的就是那个原汁原味,可是还有一种虾的名字很搞笑,叫做濑尿虾,在别的地方他也被称为虾爬子、皮皮虾等等名字,因为个头较大所以越来越常见了,但是孕妇可以吃濑尿虾吗?孕妇可以吃海鲜吗?
孕妇可以吃濑尿虾吗
想必大家都知道虾的种类有很多,其中濑尿虾,就是众多种类的中的一种.跟其他种类的虾类相比较濑尿虾在外形上不一样,不管是从它的体型上还是外观上都会有所的不同,但是即使是这样,也不影响濑尿虾的营养成份以及其价值.也正因为如此濑尿虾在价格上也比其它的虾要贵上许多.
因为濑尿虾也是众多虾的种类中的一种所以说孕妇也可以食用而不用担心它会对孕妇和肚子里的小宝宝造成不利的影响.既然对食物要非常小心的孕妇都可以食用濑尿虾的话就更不用说一般的人群了.
南海种类最多,已发现80余种.中国不同地域的老百姓对于虾蛄的叫法不一,如:虾爬子、爬虾、虾虎、虾婆、虾公、攋尿虾、撒尿虾、拉尿虾、虾狗弹、弹虾、富贵虾、琵琶虾、花不来虫、虾不才、水蝎子、皮皮虾,等.
濑尿虾有活血的作用,吃多了容易引起流产的,建议孕妇饮食以营养丰富,健康为主.
孕妇可以吃濑尿虾.孕期吃时令的水果就好.不过不要吃山楂,木瓜,苦瓜这些都会刺激子宫收缩,诱发流产的.芦荟含有大黄素,导致腹泻.油菜在怀孕早期也要少吃.可以吃卷心菜-含叶酸;菠菜-有利胎儿大脑神经发育,防止胎儿畸形;苹果-减轻怀孕期间不良反应;柚子-含天然叶酸,促进胎儿正常发育.
但任何东西都不要多吃,这属于偏寒的食物,而且肠胃不好吃多了容易出问题.怀孕后期不能吃了,否则蛋白质过高的后果导致你以后的小孩会生湿疹!!
不过就像上面所看到的那样,虽然说孕妇可以食用濑尿虾而且对孕妇的身体也有一定的好处但是要注意的就是不要一次性吃的太多,也不要连续很久就食用,如果是这样的话那反而还会给孕妇带来负面的影响.不只是濑尿虾不管是什么东西都不应该一次性吃的太多.
孕妇可以吃海鲜吗?
孕妇最好少吃海鲜。海鲜的含汞量越来越高,孕妇和哺乳期妇女如果常吃海鲜(指每周4次以上,每次100克以上),会影响胎儿和新生儿的神经系统发育,而且某些症状要到孩子7岁甚至是14岁以后才出现。专家们认为,孕妇和哺乳期妇女应少吃海鲜,每周最多1-2次,每次100克以下,而且不要吃金枪鱼、剑鱼等含汞量高的海鱼。要注意,对其过敏且会诱发湿疹者慎食。
孕妇哪些海鲜不能吃
对于孕妇来说,如果经常、大量食用含汞量高的海鱼类,母体摄入的有害汞物质就会通过胎盘进入胎儿体内,对胎儿的脑神经、肝、肾等多种器官、系统造成损害。为此,孕妇不宜经常食用受污染的海产品,可选择食用不受汞污染的池塘养殖的鱼类。
孕妇不宜多吃的海鲜:
1、金枪鱼、剑鱼、鲨鱼、旗鱼、瓦鱼、大西洋马鲛等汞含量超标的海鱼,孕妇最好不要吃,以防止海洋生物携带的汞毒素危害胎儿神经系统发育。
2、螃蟹性寒,容易增加流产风险,所以在孕早期尽量不要吃,在孕中期或者孕晚期期食用时,一定要用适量的姜来调配。
3、甲鱼:甲鱼又称鳖,味道鲜美,营养价值极高,含有丰富优质的动物蛋白质,但是甲鱼性寒,有较强的痛经活络、散淤的作用,而且容易刺激子宫收缩,容易引起流产。
孕妇吃海鲜的注意事项
孕妇在怀孕期间是可以吃海鲜的,但是要适量。另外,还要注意以下几点:
1、海鲜要熟透才吃
无论是什么海鲜,一定要确保煮熟之后才吃,否则容易造成肠胃不适,因为海鲜中含有的寄生虫和细菌较多,如果烹饪的不彻底,容易导致腹泻。尤其是对于孕妇来说,更应该小心谨慎。
2、过敏体质不宜吃海鲜
过敏体质的孕妇不宜吃海鲜,否则容易出现过敏症状,或出现上吐下泻的症状,对胎儿和自身不利。
3、不要吃腌制的海鲜。
海鲜最好是现煮现吃,孕妇应尽量避免吃腌制的海鲜,因为腌晒过程会产生不利身体健康的物质,不利于自己和胎儿的健康。
4、吃海鲜时不宜畅饮啤酒
这样容易导致血尿酸水平急剧升高,诱发痛风,以致出现痛风性肾病、痛风性关节炎等。
5、海鲜不宜与富含鞣酸的水果同食
孕妇吃海鲜时不能与含有鞣酸的水果同食,如葡萄、石榴、山楂、柿子等。因为海鲜中富含的蛋白质和钙等与鞣酸结合,不仅会降低蛋白质的营养价值,且鞣酸和钙离子结合形成不溶性结合物刺激肠胃,引起人体不适,易出现呕吐、头晕、恶心和腹痛腹泻等症状。海鲜与这些水果同吃至少应间隔2小时。
6、吃海鱼忌服维生素C药丸
海鱼的头部富含矿物质砷,在大量维生素C的作用下会转化成有毒的3价砷状态。因此应避免在吃海鱼前后2小时内服用维生素C药丸。但是,适量含维生素C的蔬菜和水果(指500克以内)和海鱼一起吃是不会中毒的。
孕妇吃海鲜过敏怎么办
如果孕妇在食用海鲜之后,出现头晕、恶心、呕吐,腹泻,皮肤瘙痒红肿等症状,应考虑是否是海鲜过敏。
如出现上述症状,应立即停止食用海鲜。一般的海鲜过敏治疗可选用适当的抗过敏药物治疗,如氯雷他定或西替利嗪等治疗,但对于孕妇的特殊体质,建议到医院找医生专门诊断,不得擅自用药。
海鲜的做法
椒盐皮皮虾
原料:活皮皮虾、蒜头、干红椒、料酒、盐、椒盐。
做法:
1、将虾用清水反复冲洗干净,淋入料酒和少许盐拌匀;
2、蒜头去皮切碎末,干红椒切成圈;
3、锅中倒入油,大火加热至6成热,将虾放入中火炸至虾身变成红色,捞出沥油;
4、倒出锅中多余的油留少许底油,放入蒜末和红椒圈,小火慢慢煸香。
5、将虾倒入锅中,撒入椒盐翻炒几下即可。
清蒸大龙虾
原料:龙虾100克,姜5克,醋15克,香油1克
做法:
1、将洗净的大龙虾放大盘上,上蒸笼用旺火蒸10分钟至熟取出;
2、姜切碎成蓉;
3、把龙虾掰开外壳(外壳要保持完整),虾肉斜切成块;
4、将虾壳和虾肉码成龙虾原状上席,跟姜蓉、醋、香油调成的佐料一起食用。
鲜虾芦笋
原料:鲜白虾、芦笋、姜、蒜、盐
做法:
1、将白虾去皮去泥肠,清洗干净;
2、洗净芦笋,并切成小段备用;
3、蒜拍成蓉、姜切片备用;
4、油热后,放入蒜蓉、姜片炝锅;
5、将虾、芦笋倒入,炒熟即可。
望采纳祝你好运
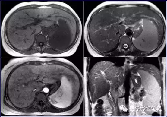
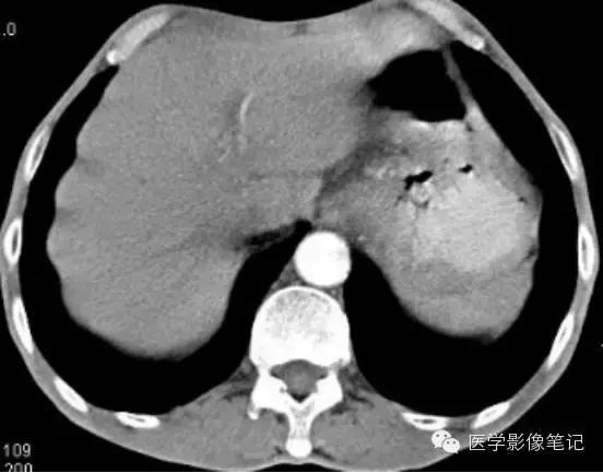
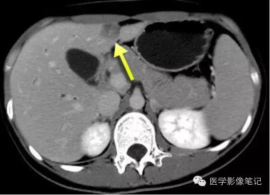
2、这8种肝脏变异,不是病变,但却极易被误诊
肝脏变异
獭尾肝/包围肝,见于5%的成人。

獭尾肝/包围肝

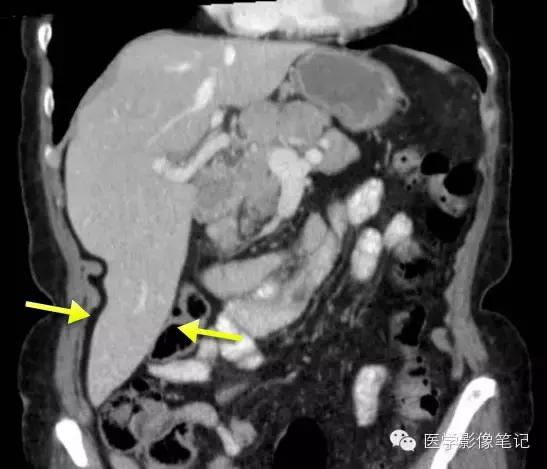
利德尔叶(Riedel’s Lobe)
肝的右下部向下如舌状突出生长的舌叶。


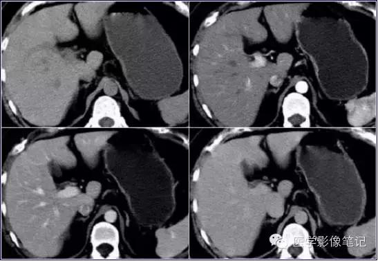
乳头状突
肝尾状叶结构,常误认为肿大淋巴结。

肝左叶缺如

右叶发育不全

内脏反转

咳纹肝
女性多见,由慢性咳嗽膈肌紧勒肝脏所致,也可见于过度束腰的妇女。


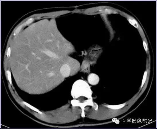
镰旁肝假病灶
多位于左叶内侧段或(和)左叶外侧段前缘镰状韧带旁。
机制:1、镰旁肝局部特殊血供因素;2、镰旁肝局部脂肪浸润。

来源:医学影像笔记
3、女孩子生吃螃蟹。濑尿虾好吗??不是经常吃的。。。有什么好处。。。在线等
不好,里面有寄生菌,生吃很容易得病,要吃熟的,而且不能常吃,是寒性食物
4、虾爬子的营养价值和功效
虾爬子又叫濑尿虾,也叫做皮皮虾,它的营养价值非常丰富,里面还有大量的蛋白质,但是脂肪含量比较低,属于一种高蛋白、低脂肪的食物。
适量的吃一些濑尿虾可以有效的促进氨基酸的吸收,为人体的新陈代谢提供能量。
而且濑尿虾中含有的钙离子含量非常丰富,有利于保证骨骼的强度,防止因钙质流失而出现的股骨头坏死或者佝偻病。
吃濑尿虾的好处
1、虾营养丰富,且其肉质松软,易消化,对身体虚弱以及病后需要调养的人是极好的食物。
2、虾中含有丰富的镁,镁对心脏活动具有重要的调节作用,能很好的保护心血管系统,它可减少血液中胆固醇含量,
防止动脉硬化,同时还能扩张冠状动脉,有利于预防高血压及心肌梗死。
3、虾的作用较强,并且富含磷、钙、对小儿、孕妇尤有补益功效。
4、虾体内的虾青素有助于消除因时差反应而产生的“时差症”。
濑尿虾的选购方法
一般来讲,母的皮皮虾的皮皮虾个头没有公的那么大,而另一个区分公母的办法是通常,母的皮皮虾的脖子部位都会有一个白色的“王”字,
公的皮皮虾在大爪下分别有一个细细的小爪。如果虾的颜色发亮、发青,那么就是新鲜的虾,如果颜色比较黑,不亮,那么就是不新鲜的虾。
除此,还可以看虾头,如果虾头疲软,看似快掉的样子,那就不是新鲜的虾。还可以从虾的爪子上面看,爪子发红的虾也是不新鲜的,发青才是好虾。
虽然这的皮皮虾仍可食用,但是,在选购时如果已经发软,变红的皮皮虾都为不新鲜的,最好不要购买。
5、女人吃皮皮虾有那些好处
女人吃了有通乳脱毒之功效。
虾蛄(皮皮虾)是一种营养丰富、汁鲜肉嫩的海味食品。其肉质含水分较多,肉味鲜甜嫩滑,淡而柔软,并且有一种特殊诱人的鲜味。
每年春季是其产卵的季节,此时食用为最佳。肥壮的虾蛄脑部满是膏脂,肉质十分鲜嫩,味美可口,可惜壳多肉少。
但其蛋白质含量高达20%,脂肪0.7%,以及维生素、肌苷酸、氨基丙酸等人体所需的营养成分。虾蛄性温、味甘。有补肾壮阳、对女性有通乳脱毒之功效。
据测定,虾蛄体部干重含蛋白质72.12%,脂肪7.88%,灰分7.91%,钙0.38%,磷2.21%;氨基酸含量全面,组成合理,易于人体消化吸收,尤其是赖氨酸等必需氨基酸含量较高,富含谷氨酸、甘氨酸,故食用口感味道鲜美。
扩展资料
皮皮虾虽然美味,但不能和以下食物同食:
1、虾与南瓜。同食会引起痢疾,可以用黑豆、甘草解毒。
2、虾与果汁。同食会腹泻。
3、虾与维生素c。虾儿忌维生素c(药片) 。食少肚痛难忍,同食会可致砷中毒。无毒的五钾砷 会转变为有毒的三钾砷,这就是我们俗称的砒霜。食多死亡。
4、虾皮与黄豆。同食会消化不良。
5、虾皮与红枣。同食会中毒。
6、虾与猪肉,鸡肉。海河虾子万万不可同猪肉、鸡肉同食,同食会产生肝肾衰竭。
7、虾与番茄。河虾与番茄同食易食物中毒。
参考资料来源:
百度百科-濑尿虾
人民网-虾营养价值高 但不可与这几类食物一起吃
6、椒盐尿虾怎么做
炒濑尿虾
濑尿虾炒着吃的味道不错,首先需要我们把葱、姜、蒜分别切成末,而青椒和红椒需要我们分别切成圈,而濑尿虾的话,放到清水中浸泡,处理干净之后冲洗好,然后在清水中加入料酒进行腌制,在锅中加入适量的油,然后放上葱姜蒜,还有之前准备好的青红椒圈,爆香之后再放上辣酱炒香。对于腌制好的濑尿虾,需要爆炒一下,然后加入料酒,淋上一些生抽,再撒上盐调好味,等到濑尿虾完全变色之后就可以关火,放上香菜段就可以出锅吃了。
濑尿虾爆炒一下吃也是不错的,首先要在锅中加入油,等到油烧热之后,马上放上葱、姜、蒜,还要加入花椒和干辣椒,炒香之后我们把濑尿虾放进去翻炒,然后再放上盐,料酒还有酱油一起炒,我们把锅盖盖住之后,开小火焖上一会就可以出锅吃了。
我们把青椒和红椒切成块,香葱也需要切成段,大蒜同样要切成片,豆豉需要我们用刀给压烂,然后把蒜片加进去拌炒,锅中的油烧热之后,放上香葱、豆豉还有蒜片一起煸香,再加上青椒和红椒一起炒香,锅中加入濑尿虾,和青、红椒一起炒匀,拌匀芡汁之后勾一下芡就可以吃了。
濑尿虾怎么处理
濑尿虾吃之前需要处理好,首先我们要把濑尿虾放到清水中,需要浸泡上几个小时,尤其是活的濑尿虾更要如此,可以让濑尿虾把体内的污物给吐出来,这一步完成之后我们再开始对濑尿虾进行清洗的工作,需要我们用手,抓住濑尿虾的两侧,然后放在水里面进行清洗,首先要把濑尿虾身上的细沙给洗掉,多换几次水清洗,之后我们在用牙刷,拿着濑尿虾一只一只的洗,必须要把濑尿虾给洗干净,然后放到清水里再浸泡上两三分钟,必须把濑尿虾完全清洗好,之后再过上一下清水,这样濑尿虾就差不多就完全洗干净了,然后给濑尿虾去掉虾线,还要剪去濑尿虾的虾剪和虾脚,这样濑尿虾就处理完成了。
濑尿虾怎么吃
濑尿虾吃法上是比较丰富的,首先要把濑尿虾冲洗上几遍,然后在锅里加上适量的清水,在锅中加一些盐、姜汁之后,调好味之后,我们把洗干净的濑尿虾放进去,开中火烧煮一下。只需要等上几分钟,这时候就可以发现濑尿虾的颜色从青色变成了粉色,这时候的濑尿虾就刚刚好,这时候我们把濑尿虾捞出来,撒上一些切好的青椒丝和红椒丝,这样濑尿虾就制作完成了。
孕妇可以吃濑尿虾吗
濑尿虾对孕妇来说是完全可以吃的,濑尿虾的营养价值是非常丰富的,特别是对于身体比较虚弱,或者是大病初愈的人,选择吃些濑尿虾是很不错的选择,这是非常好的食物选择,而且吃濑尿虾对孕妇健康也有好处,因为濑尿虾的营养价值非常丰富,是一种味道非常好,口感也特别出色的食物,在濑尿虾中含有的水分也非常多,各类营养物质都特别的丰富,所以濑尿虾对孕妇来说是很好的食物,而且濑尿虾吃起来会有非常特殊的一种鲜味,让人对濑尿虾就很爱吃,而且濑尿虾里面的微量元素也比较丰富,其中的镁元素特别丰富,这种矿物质对我们心脏健康的活动,起到非常重要的调节功效,而且吃濑尿虾还可以帮助我们保护好心血管系统的健康,还可以通过吃濑尿虾来减少血液中的胆固醇含量,这样就可以很好的预防动脉硬化问题,还可以吃濑尿虾来扩张冠状动脉,对预防心血管疾病有好熬出,而且濑尿虾拥有不错的通乳作用,其中钙元素和磷元素很丰富,对孕妇来说很适合。
7、男性吃皮皮虾,对身体有哪些好处?
防止出现神经衰弱的情况。在皮皮虾中含有一种不仅可以起到补充大脑所需的物质,而且对于长时间用脑的人来说,吃皮皮虾也可以起到防止神经出现衰弱的现象发生。预防动脉硬化。皮皮虾中含有的镁能够保护心血管的同时还可以起到降低血液中的胆固醇的作用,对于预防动脉硬化有极佳的作用。
秦皇岛叫皮皮虾,很多地方叫濑尿虾,这种海鲜在日本及中国沿海、菲律宾、马来半岛、夏威夷群岛均有分布。皮皮虾营养丰富,含蛋白质、氨基酸、脂肪、钙、磷等成分。蚂虾体长3~5厘米,比一般小虾大得多,浅褐色,也有青绿色的。头胸较粗大,额剑上下缘有锯齿。前两对步足呈钳状,雄性第二对很大,超过身体的全长。在四川的河、溪、塘、库均有它的足迹。一般为野生,繁殖较快。由于肉质鲜嫩,营养价值高,人们都喜欢吃它。虾是甲壳纲动物,与蟹和龙虾相关。在中间有扁而有弹性的半透明的身体,并且有像扇子般的尾巴。
是一种营养价值非常高的虾类。 皮皮虾是一种非常珍贵的海产品,其肉质不仅水分较多,而且香甜嫩滑,有一种独特诱人的鲜味,在每年的春季是皮皮虾产卵的季节,同时也是食用皮皮虾最佳的食用时间,因为这个时候的皮皮虾脑部全部都是膏脂,肉质非常的鲜嫩。
虾营养价值非常高,含有比较丰富的蛋白质和微量元素。大家都知道,蛋白质是生命的基本物质,我们身体内细胞不能缺少蛋白质。而且虾煮熟后肉质松软,易消化,平时身体虚弱的人可以多吃虾,多吃营养高,易消化吸收的食物。另外如果是孕妇子宫和乳腺增生等都需要大量蛋白质,所以即使是孕妇也非常适合吃虾。
本文关键词:赖尿虾的功效与禁忌,吃赖尿虾的好处与功效,赖尿虾的吃法,赖尿虾吃什么,赖尿虾有什么营养。这就是关于《吃赖尿虾的好处,孕妇可以吃濑尿虾吗中期(这8种肝脏变异)》的所有内容,希望对您能有所帮助!
- 最近发表