手机版

百科生活 投稿

丁香园超声,丁香园超声医学论坛(心脏超声的A峰、E峰原理及测量方法)

百科 2025-10-23 09:34:18 投稿 阅读:7313次

关于【丁香园超声】:丁香园超声(超声检查),今天小编给您分享一下,如果对您有所帮助别忘了关注本站哦。

  • 内容导航:
  • 1、丁香园超声(超声检查)
  • 2、超声是什么东东
  • 3、超声医学是什么专业方向?
  • 4、超声医学里CDI与BFI有什么区别
  • 5、我的专业是医学检验,但因为工作需要从事超声工作已16年,我想考相关超声类考试,请问行吗?
  • 6、初学超声医学,应该怎么做?拜求~
  • 7、心脏超声的A峰、E峰原理及测量方法

1、丁香园超声(超声检查)

  

2、超声是什么东东


  超声医学是声学、医学和电子工程技术相结合的一门学科。凡研究超声对人体的作用和反作用规律并加以利用,以求达到诊断、保健和治疗等目的的学科,即称为超声医学。  物体振动并向外传播称为波动。当波动在平衡位置附近来回往复的运动即称为机械振动,击鼓引起的振动就是机械振动。声波是一种机械波,它通过传导进入人耳,便使我们能听到声音,当机械振动较快,超过人耳的听觉上限,这时的声波即为超声波。  超声医学从机制上说,主要是将超声辐射到人体组织,利用超声波在人体内相互作用,从而达到医疗上的目的。在医疗上哗矗糕匪蕹睹革色宫姬的运用可归纳为检测和处理两大类,有超声诊断及超声治疗等。同时,又有对医用超声设备的研制和超声生物医学基础的研究。  当超声的强度在0.1w/cm2以下时,对人体的作用是无害的,它不引起明显的生物效应,超声诊断即利用反作用的超声,诊断计量范畴。目前,超声诊断用的平均功率多在0.01w/cm2以下,研究和应用超声的物理特殊性,以某种方式扫查人体,诊断疾病的科学称为超声诊断学。超声诊断主要是研究人体对超声的反作用规律,以了解人体内部情况,超声诊断的种类较多,常见的如下:  一、 超声示波诊断法,即A超。是将回声以波的形式显示出来,回声强是波幅高,回声弱则波幅低,为最早兴起和使用的超声诊断法。  二、 二维超声显像诊断法,即B超。此法是将回声信号以光点的形式显示出来。回声强则光点亮,回声弱则光点暗。由于扫查连续,可以由点、线而扫描出脏器的形态、结构。是二维空间显示,又称二维法。  三、 超声光点扫描法,即M超。它是B型超声中的一种特殊显示方法。常以此法探测心脏,即通称超声心动图。  四、 超声频移诊断学,即D超。通称为多普勒超声,利用多普勒效应,以不同彩色显示血流方向,即双功超声诊断系统。  当超声强度在0.1w/cm2以上时,会引起人体组织发生功能性和器质性的变化,由此产生了治疗作用,将超声辐射于机体,而产生生物学效应,即引起机体的各种反应,达到治疗疾病的方法,称为超声波疗法。如超声体外碎石、超声治疗、超声消融等等。  总之,利用超声的运用越来越广泛,特别在医疗领域,特别是超声治疗已到了实用阶段,并在我国开展起来,占有重要的地位,是有广阔的发展前景。  

3、超声医学是什么专业方向?


  属于 医学影像  

4、超声医学里CDI与BFI有什么区别


  CDI就是传统的彩色多普勒血流成像,BFI应该是GE提出来的概念吧,是从B-flow的基础上延伸出来的,CDI是有速度值和速度方向,BFI更多的类似CDI的能量图,表示灌注而且有很好的空间分辨率,但很难给出准确的速度值。  

5、我的专业是医学检验,但因为工作需要从事超声工作已16年,我想考相关超声类考试,请问行吗?


  不可以直接报考  先考取执业医师证  再考虑超声证  做超声需要执业医师证和B超(一般指彩超)上岗证。要先取得前者才能考后者,但影像技术专业不能报考考执业医师资格。  

6、初学超声医学,应该怎么做?拜求~


  

临床本科,干超声,情况和我一样,不过,我已经是超声主治了!

 丁香园超声,丁香园超声医学论坛(心脏超声的A峰、E峰原理及测量方法)

  

初期要看一些基本的书呀,多看看解剖,不是系统解剖,局部解剖最好多看看,毕竟是影像学呀!

  

看一些基本的超声书籍吧,其实你们医院如果有影像本科的学生或同事,借他们的超声课本看看,很好的,现在可能到2版吧。

  

记得多像老师们请教呀,别怕挨熊,没事,别不懂装懂就行!工作以后就2字“认真”!慢慢就体现出临本的优势了!祝你成功!

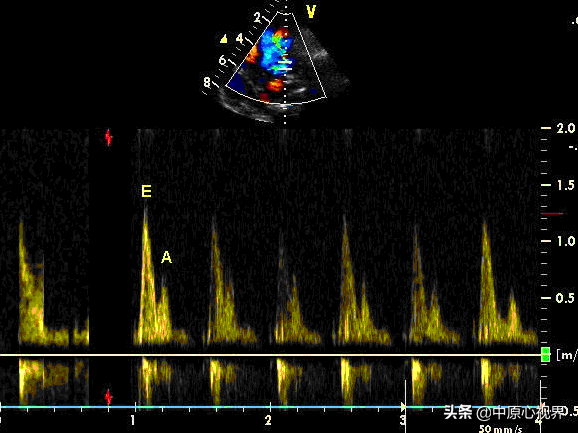
7、心脏超声的A峰、E峰原理及测量方法

心脏超声的A峰、E峰原理及测量方法

在目前的中国,绝大部分心内科医生,至少是大部分心内科医生是不会做心脏超声的,强行要求这个能力有点儿过,但是要求具备看心脏超声报告的能力还是必须的。目前国内大部分心脏超声报告都是具备以下几点的:1、心脏各个腔室的大小。各个心室壁的厚度,尤其是左室后壁及室间隔的厚度。2、各个瓣膜的返流程度、返流血流速度、认真点儿或是高级点儿的报告会给出估测的肺动脉压力的大小,瓣膜运动状态及是否有瓣膜狭窄。3、各个心室壁的运动状态及协调度,包括形象描述及EF值、SF值以及A峰、E峰的血流速度大小。一个基本的心动超声图也就是这几个要素。别的先不谈,今天就A峰、E峰的原理说一说。

这两个峰是测量心脏舒张期二尖瓣口的前向血流速度的两个峰值。翻译成人话就是:左心室在舒张期从左心房流入的血流不是连续的,而是一股一股的(有些人联想是非常丰富滴)。对,就是一股一股的。正常人的、年轻人的心脏前面的那一股是比后面的那一股要大的,慢慢的,随着年龄的增加,心功能的下降,这两股就会此消彼长。变得逐渐相等,年龄进一步增加,包括一些有害因素的侵袭比如冠心病、酒精性心肌病、扩心病、肥厚性心肌病等等。前面的那一股进一步减少,后面的那一股进一步增大。前面的那一股的大小就可以用血流速度来代替,这就是E峰的来源。后面的那一股就是A峰了。

让我们回到心脏的基础知识上来(你看心脏的基础知识和背景多么的重要)。我们以前认为心脏的收缩是个主动的过程,舒张是个被动的过程。也就是说心脏尤其是左心室收缩完就没事儿了,在那儿干等着,让左心房把血液送入左心室后,左心室扩张,然后再完成下一次收缩,把血液再次泵入主动脉,认为左心室舒张是个被动的过程。现在的研究发现完全不是这么回事儿。左心室在完成收缩后,它会主动舒张,也就是说,这个舒张也是个主动的过程。这个“主动”就会对左心室上游的血液形成一个抽吸作用。越是年轻、功能良好的心脏,它越“主动”,对上游的血液抽吸作用越是明显。这个抽吸作用就会在左心室舒张期形成一个血流峰值,这个峰值就是——E峰。因为左心室的强烈抽吸作用,大部分血液都被抽吸进入左心室了,等到左心房收缩的时候,只残留少部分血液在左心房。这时候左心房再把残余部分血液泵入左心室,起到“补刀”的作用,这个“补刀”就是A峰的来源。在心功能下降后,心肌的顺应性降低,心肌硬化,变得僵硬,它的主动舒张作用就会明显下降,这种情况下E峰就会变得越来越小。据现在的研究认为随着年龄的增加,心肌细胞的能量代谢障碍,其上的钙泵运转能力降低(注意,还没有到失灵的状态),导致心肌细胞内部在舒张期“钙超载”,听说过这个名词吧?没听说过就去翻书! 这种钙泵运转能力的降低就会导致肌动蛋白和肌凝蛋白解离不良。在这种情况下,左心室没有完成的任务就会交给左心房来完成。这时候,左心房的任务加重,A峰就随之上升。左心房的任务一旦超过它的能力,就会出现罢工现象——房颤发生的机制之一。

有一个名词:“左室舒张功能减退”大家应该听说过吧?现在还有一个名词:“射血分数保留的心衰”。其实这两个词儿有异曲同工之妙,几乎可以说就是来自于这个A峰 E峰。因为心功能不全首先会从这个方面表现出来。一个运动员尤其是搏击、田径运动员的巅峰期一般都是在20岁——25岁之间。就是因为这个时期的人心功能达到巅峰,心指数最好。一个运动员的从巅峰的跌落首先是心功能的跌落,其次才是肌肉及肺功能的跌落。这个很好理解,一个车跑的快不快关键还是看发动机的功率。

这个A峰额E峰是怎么测量的呢?它是用心脏彩超,注意不是B超。这两个“超”是有巨大差别的。心脏彩超上有个功能叫:连续多普勒(CW),还有个是脉冲多普勒。这两个“多普勒”各有特点,不要用错了。打开连续多普勒功能,把测量点放到二尖瓣口,就会看到血流图的两个峰值,就是E峰和A峰了!同时机器会有一种啸叫声。这种啸叫声是机器根据血流速度和是否喘流来转化成的音频,非专业人士一般听不懂。所幸目前心内科大夫听得懂听不懂并不影响成为一个合格的心内科大夫。

丁香园超声,丁香园超声医学论坛(心脏超声的A峰、E峰原理及测量方法)

——来自丁香园

本文关键词:丁香园超声论坛,丁香园超声医学论坛,丁香园超声视频课程,丁香园超声心血管超声,丁香园超声百家讲坛视频。这就是关于《丁香园超声,丁香园超声医学论坛(心脏超声的A峰、E峰原理及测量方法)》的所有内容,希望对您能有所帮助!

本文链接:https://bk.89qw.com/a-301652

最近发表
网站分类