百科生活 投稿
关于【dpbs和pbs的区别】:pbs缓冲液配制(dpbs和pbs的区别),今天涌涌小编给您分享一下,如果对您有所帮助别忘了关注本站哦。
- 内容导航:
- 1、四川地区养殖鲫鲤疱疹病毒Ⅱ型的鉴定及病理学研究
- 2、pbs缓冲液配制(dpbs和pbs的区别)
1、四川地区养殖鲫鲤疱疹病毒Ⅱ型的鉴定及病理学研究
深知养殖从业不易,共谋水产行业繁荣。不误导不夸大不炒作不标题党。用养殖人的语境,让你在短时间内享用一份精品!

摘要:为探究疾病病因和流行特点,对患病鲫进行剖检、病理学观察、分子生物学检测及人工感染实验。结果显示,患病鲫临床表现为离群独游、浮头、全身发黑及体表出血等。剖检发现鳃、肝脏、肾脏等器官出血、肿胀和坏死,鳔点状出血。组织病理观察显示,鳃呼吸上皮细胞肿胀、坏死及脱落;肾脏局灶性坏死;脾脏组织广泛变性坏死,造血系统崩解;肝脏发生空泡变性和坏死。透射电镜观察到脾脏和肾脏中存在 4 种大小不同的病毒颗粒,分别为 DNA 病毒内核、空衣壳、实心衣壳和有包膜的成熟病毒粒子。未成熟的病毒粒子存在于细胞核,成熟的病毒粒子存在于细胞质。电镜下可见鲤疱疹病毒Ⅱ型 (CyHV-2) 在细胞核内完成核酸复制和核衣壳装配,囊膜蛋白在出核后获得。细胞核萎缩、核染色质边缘化,线粒体肿胀、坏死、嵴断裂,细胞质空泡化。取患病鲫组织匀浆滤菌后接种到鲤上皮瘤细胞系 (epithelioma papulosum cyprinid cell line,EPC) 和胖头鲤肌肉细胞系 (fathead minnow cell line, FHM),盲传 3 代后未见细胞病变。通过腹腔注射患病鲫组织匀浆进行人工感染实验,实验组鲫表现出与自然感染鲫相同的临床症状,对照组鲫正常,实验组累积死亡率为 80%。用 PCR 方法检测 CyHV-2 的解旋酶基因片段,扩增出预期大小相符的目的条带。利用邻近法对该病毒的解旋酶基因进行系统发育分析,结果显示与 CyHV-2(YZ-01) 的同源性为 99%。以上实验结果证实了 CyHV-2 是导致这次疾病暴发的原因。
关键词: 鲫;鲤疱疹病毒Ⅱ型;组织病理;超微病理
中图分类号: S941.41 文献标志码: A
鲤疱疹病毒Ⅱ型 (Cyprinid herpesvirus Ⅱ,CyHV-2), 属于疱疹病毒科 (Alloherpesviridae)、鲤疱疹病毒属 (Cyprinivirus) [1],主要感染金鱼(Carassius auratus auratus)、鲫(C. auratus) 及其变种,呈世界范围流行,发病迅速,死亡率高达80%。1992年秋季和1993年春季,CyHV-2 感染造成了日本爱知及奈良县养殖的金鱼相继暴发以造血器官坏死为特征的疾病,死亡率为 100%,因而将该病命名为金鱼造血器官坏死症 [2] 。此后,CyHV-2 在世界范围内传播流行,相继在美国、匈牙利、澳大利亚、英国、捷克、中国、意大利、法国和塞尔维亚被报道,造成了金鱼或鲫的大规模死亡 [3-14] 。该病的发病季节为春、秋两季,适宜水温为 15~25 °C,在此范围内疾病的发病率和死亡率随水温的上升而增加,当水温超过 27 °C 时死亡率迅速降低 [2-3, 8] 。虽然世界动物卫生组织 (World Organization for Animal Health,OIE) 还未将 CyHV-2 纳入检疫目录,但我国农农村部已将其纳入全国疫病监测范围。
自 2012 年起,CyHV-2 的传入给我国东部地区的鲫养殖业造成了极大的经济损失,每年都有 CyHV-2 感染发病的报道,而西南地区鲫大规模暴发鲫疱疹病毒病的报道和研究较少。近年来,随着四川省渔业持续健康发展,包括鲫在内的各类经济鱼类养殖规模逐渐扩大。为了避免疾病暴发带来的经济损失,需要加强对病原的诊断和研究。本实验对四川自贡某养殖场发病鲫进行病原诊断和病理学研究,通过临床剖检、病理学观察、人工感染和分子生物学检测等手段,证实此次发病病原为 CyHV-2。从临床病理、组织病理到超微病理,系统地研究了CyHV-2 对组织器官造成的病理损伤,为该病原的致病机制研究提供了实验依据。
1 材料与方法
1.1 实验材料
送检患病鲫20 尾(体长 20~25 cm),来源于四川自贡某鲫养殖场;健康鲫45尾 (体长10~14cm),购自四川成都某鲫养殖场;鲤上皮瘤细胞系 (epithelioma papulosum cyprinid cell line,EPC)和 胖头鲤肌肉细胞系 (fathead minnow cell line,FHM)(本实验室保存); M199/DMEM 营养液和胎牛血清 (FBS)购自HyClone公司;脑心浸液培养基(BHI)购自北京索莱宝科技有限公司;DNAMarker、pMD-19T质粒连接试剂盒和PCR-Mixreaction buffer购自宝生物工程 (大连) 有限公司;DH5α感受态细胞、组织基因组DNA提取试剂盒及普通琼脂糖凝胶DNA回收试剂盒购自天根生化科技 (北京) 有限公司。
1.2 剖检及样本采集
对濒死鲫进行病理剖检,取鳃、肝脏、脾脏和肾脏等组织于载玻片上涂片,革兰氏染色后镜检。无菌条件下,取肝脏、脾脏和肾脏划线接种于 BHI 平板,28 °C 恒温培养 48 h 后观察有无细菌生长。取鳃、肝脏、肾脏、脾脏和心肌组织用10% 的中性甲醛溶液固定,对固定后的组织修块,通过不同浓度的乙醇进行梯度脱水,然后通过二甲苯对组织进行透明处理。将组织放于熔化的石蜡中,置于 65 °C 的恒温箱中,2 h 后对组织进行包埋,蜡块凝固后可进行修整及切片,将蜡片贴于干净的载玻片上,烘干后进行脱蜡、渗水及苏木精—伊红 (H.E) 染色,用中性树胶封片,烘干后在光学显微镜下观察其主要病变并照相记录。取适量肾脏和脾脏组织用 2.5%戊二醛浸泡固定,磷酸盐缓冲液 (PBS) 漂洗后,用1% 锇酸固定,不同浓度梯度的乙醇使组织脱水,环氧树脂包埋后,制成超薄切片,染色烘干,通过透射电镜观察并拍照记录。此外,采集鳃、脾脏、肾脏和肝脏组织冻存于−80 °C,用于病毒分离培养及组织 DNA 提取。
1.3 病毒分离培养
取脾脏和肾脏组织,无菌条件下剪碎后,用杜氏磷酸盐缓冲液 (DPBS) 按 1∶10 比例制成组织匀浆,加入青霉素—链霉素溶液(1 000 IU/mL),反复冻融 3 次后于 4 °C 条件下 12 000 r/min 离心20 min。收集上清病毒悬液,用 0.22 μm 的无菌滤膜过滤后接种到 25 cm 2 的铺满单层细胞的细胞培养瓶中,25 °C 下孵育 1 h 后弃病毒悬液,加入新鲜的培养液 (含有 2% FBS,1% 双抗) 5 mL,置于 25 °C培养箱中培养。
1.4 人工感染实验
取患病鲫鳃和肾脏组织,用 DPBS 制备组织匀浆,加入青霉素—链霉素溶液 (1000 IU/mL),反复冻融 3 次后,4 °C 下12000 r/min 离心 20min。收集上清液,用 0.22 μm 的无菌过滤器过滤,−20 °C保存。将健康鲫暂养 7 d 后,随机挑选 5 尾,提取组织 DNA 后进行 PCR 检测,结果显示 CyHV-2 为阴性。随后将剩余 40 尾健康鲫分为 2 组,每组 20 尾,实验组每尾腹腔注射 0.2mL 的组织匀浆液,对照组每尾注射 0.2 mL的无菌生理盐水,实验期间水温控制在 23~25 °C,每天观察 2 次,连续观察 1 个月,记录死亡数并绘制累积死亡曲线。
1.5 PCR 鉴定
将采集的患病鲫组织 (鳃、脾脏和肾脏等)用 PBS 研磨制成组织匀浆后,按照血液/组织/细胞基因组提取试剂盒 (天根) 说明书进行总 DNA的提取,−20 °C 保存。
CyHV-2 特异性引物参照 Waltzek 等 [15] 的方法设计并送至生工生物工程 (上海) 股份有限公司合成,用于扩增 CyHV-2 特有的高保守片段解旋酶基因 (Hel)(表 1)。反应体系:12.5 μL Mix-reaction buffer,上下游引物各 1 μL(10 μmol/L),DNA 模板 1 μL(10 ng/μL),9.5 μL ddH 2 O,阴性对照模板用 ddH 2O 补齐。PCR 扩增条件:95 °C预变性 5 min;94 °C 变性 1 min,60 °C 退火 1 min,72 °C 延伸 1 min,共 35 个循环;72 °C 终延伸10 min,1% 的琼脂糖凝胶电泳检测 PCR 扩增产物。PCR 产物经 DNA 纯化试剂盒纯化后,送生工生物工程 (上海) 股份有限公司进行序列测定,将测序结果在 GenBank 上进行 BLAST 比对。
1.6 Hel 基因克隆测序及系统发育分析
将“PCR 鉴定”部分中的 PCR 产物通过普通琼脂糖凝胶 DNA 回收试剂盒纯化后,连接到pMD19-T 载体上,转化到 DH5α 感受态细胞中。37 °C 恒温过夜培养后挑取单个菌落进行菌落PCR 筛选阳性克隆菌株,提取质粒送生工生物工程 (上海) 股份有限公司进行序列测定。根据GenBank 收录的不同 CyHV-2 毒株的 Hel 基因序列,使用 DNAstar 生物学软件 Megalign 方法进行序列同源性分析,并通过 MEGA 6 软件,使用邻接法构建系统进化树进行遗传进化分析。
2 结果
2.1 患病鲫的临床及组织病理学观察
患病鲫临床表现为浮头、离群独游、体表发黑、食欲不振、体表有出血现象、背鳍及尾鳍末端发白等。解剖可见鳃盖有点状出血,鳃丝出血、坏死;肠系膜有出血现象;肝脏、脾脏和肾脏均有不同程度的出血及肿胀;鱼鳔点状出血 (图版 Ⅰ)。涂片革兰氏染色镜检未观察到细菌,BHI 平板 28 °C 培养,未分离到细菌。
图版 Ⅰ患病鲫的临床和剖检病变
1、2. 患病鲫体表有大量出血点和出血斑,其中 1-1. 鳃丝有明显出血和坏死,1-2. 尾鳍出血,末端发白;3. 患病鲫剖检观察,多组织器官出血,3-1. 肾脏肿大,有出血点,3-2. 肝脏和脾脏肿胀,有不同程度的出血,肠道表面出血严重,3-3. 鱼鳔上有大量大小不等的出血点
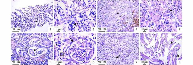
组织病理学观察显示,多组织呈现不同程度的坏死,鳃、脾脏和肾脏病变尤为明显。鳃主要表现为呼吸上皮细胞变性、脱落和坏死(图版 Ⅱ-1),相邻的鳃小片出现融合黏连,大量淋巴细胞浸润,部分呼吸上皮细胞出现核染色质边缘化(图版 Ⅱ-2);脾脏可见严重的弥漫性坏死,有多个大小不等的坏死灶 (图版 Ⅱ-3),血细胞及炎症细胞浸润,血管壁的纤维细胞坏死,大量淋巴细胞出现核分裂或染色质边缘化 (图版 Ⅱ-4);肾脏表现为局灶性坏死病变,肾小管上皮细胞坏死严重,细胞核肥大、固缩、碎裂,空泡化严重(图版 Ⅱ-5),大量炎症细胞浸润,肾小球毛细血管扩张 (图版 Ⅱ-6);肝脏主要表现为严重的空泡变性,部分细胞坏死,组织结构被破坏 (图版 Ⅱ-7);心肌有轻微的炎症反应,出现少量的炎症细胞浸润 (图版 Ⅱ-8)。
图版 Ⅱ患病鲫的组织病理观察(H.E染色)
1、2. 鳃小片呼吸上皮细胞肿胀、脱落,出现核染色质边缘化 (▲),大量淋巴细胞浸润 (→),相邻的鳃小片发生融合黏连 (★); 3、4. 脾脏坏死严重,有很多大小不等的坏死灶 (★),一些细胞出现核染色质边缘化 (→),血管壁的纤维细胞坏死 (▲);5、6. 肾脏表现为局灶性坏死,肾小管上皮细胞坏死严重 (★),肾小球毛细血管扩张 (→),大量炎症细胞浸润 (▲),细胞核染色质出现边缘化 (□);7. 肝脏出现严重的空泡变性,细胞结构被破坏 (→);8. 心肌有轻微的炎症,少量淋巴细胞浸润 (★),细胞核染色质边缘化 (→)
2.2 超微病理学观察
透射电镜观察到脾脏和肾脏中存在 4 种不同形态的病毒粒子,分别为 DNA 病毒内核、空衣壳、实心衣壳和有包膜的成熟病毒粒子(图版Ⅲ-1)。病毒内核直径为 55~110 nm;空衣壳病毒直径为120~170 nm;实心衣壳病毒直径为 120~170 nm;有包膜成熟病毒直径为 170~210 nm。CyHV-2 的3 种未成熟病毒颗粒形态主要存在于细胞核中,具有囊膜的成熟病毒粒子则大量分布在细胞质中 (图版Ⅲ-2,3),说明 CyHV-2 是在细胞核中完成复制和组装并在细胞质中获得外膜,符合疱疹病毒感染过程。当病毒感染细胞后,透过细胞膜磷脂双分子层,进入细胞核释放出双链 DNA,构成病毒内核。通过编码衣壳蛋白在细胞核内形成空衣壳,此时的病毒 DNA 还未进入衣壳内部,当病毒 DNA 进入空衣壳后变为实心衣壳。实心核衣壳通过核膜以出芽的方式进行包被形成囊膜,进入到细胞质中 (图 1)。透射电镜下观察发现,脾脏和肾脏发生了明显的细胞结构病变。脾脏中淋巴细胞的细胞核出现染色质变性、边缘化 (图版Ⅲ-2);线粒体出现肿胀、嵴断裂,严重时局部溶解消失 (图版Ⅲ-3)。肾脏中细胞核碎裂,核染色质边缘化,局部核膜溶解,可见未成熟的病毒颗粒 (图版Ⅳ -1),部分线粒体肿胀、嵴断裂,可见成熟的病毒颗粒 (图版Ⅳ-2)。
图版 Ⅲ 患病鲫脾脏组织超薄切片电镜观察
1. 细胞核出现变性,可见核染色质边缘化,核内有大量不同时期的病毒粒子;2、3. 线粒体肿胀,嵴坏死断裂,病毒穿过核膜 (→),成为成熟病毒颗粒 (★);4. 四个不同时期的病毒粒子;N. 细胞核,M. 线粒体,下同
图版 Ⅳ 患病鲫肾脏组织超薄切片电镜观察
1. 细胞核碎裂,核染色质边缘化,有大量病毒颗粒 (→),2. 线粒体肿胀,嵴坏死断裂,细胞质中观察到成熟病毒颗粒 (→)
2.3 病毒的分离培养
将病毒悬液接种于EPC及FHM细胞后,连续传代3次,无明显病变,表明FHM和EPC细胞系对CyHV-2感染不敏感。
图 1 疱疹病毒复制和组装过程模式图
2.4 人工感染实验
人工感染实验结果显示,组织匀浆攻毒的实验组鲫在第 2 天开始出现临床症状,第 4 天出现死亡,第8 天大量死亡,连续观察1 个月后,累计死亡率为80%。对照组的鲫表现正常,无死亡(图2)。
图2 人工感染实验结果
2.5 PCR 鉴定
提取自然感染鲫及人工感染后濒死鲫的鳃、肝脏、脾脏及肾脏制成组织匀浆后,提取总DNA,利用特异性引物进行 PCR 扩增,产物经1% 琼脂糖凝胶电泳后,可见大小为 366 bp 的特异性条带,与预期的目的条带大小一致 (图 3)。将扩增的目的片段送生工生物工程 (上海) 股份有限公司测序后通过 NCBI 数据库进行 Blast 比对,结果显示,该病毒序列与 GenBank 中 CyHV-2(YZ-01 株) 的 Hel 基因同源性为 99%。
图3 患病鲫CyHV-2 PCR扩增
(a) 患病鲫样品 PCR 检测,M. DNA Marker 1000, 1. 阴性对照, 2. 阳性对照, 3~5 送检患病鲫样本;(b) 人工感染实验抽检样本 PCR 扩增,
2.6 Hel 基因克隆测序及基因系统发育分析
将克隆得到的目的序列送至生工生物工程(上海) 股份有限公司测序后,将序列上传至NCBI-GenBank,登录号为 MK913427。在 NCBI数据库中下载 CyHV-2 不同株的 Hel 基因片段序列,以及 CyHV-1 和 CyHV-3 的相关序列,利用邻接法构建系统进化树。系统进化分析结果显示,目的序列(ZYJ-11) 与不同株的CyHV-2 聚为一支(图 4)。
图4 基于 CyHV-2 DNA 解旋酶基因部分序列同源性的系统进化分析
3 讨论
本次送检的发病鲫临床症状与先前报道的鲫疱疹病毒病相似,主要表现为鱼体发黑、食欲减退、尾鳍末端发白,体表和鳃丝有不同程度的出血。剖检后可见肝脏、脾脏有出血和肿胀,特征性病变为鳔点状出血,有的患病鲫腹腔有腹水。组织病理主要表现为鳃丝呼吸上皮细胞变性、坏死,相邻的鳃小片出现黏连融合;肾脏有局灶性坏死病变,肾小管上皮细胞坏死严重,肾小球毛细血管扩张充血;脾脏可见严重的弥漫性坏死。PCR 检测 CyHV-2 的 Hel 基因片段,扩增出符合预期大小的条带;通过对扩增出的 Hel 基因序列进行系统发育分析显示,其与 CyHV-2 基因同源性高。腹腔注射患病鲫的组织匀浆感染健康鲫,出现相同的临床症状并造成 80% 的累积死亡率。通过以上实验结果可以确定此次疾病暴发的病原为 CyHV-2。
CyHV-2 作为金鱼造血器官坏死症的病原,自从 1992 年在日本首次被报道后便开始在世界范围内流行传播 [3-11] 。2009 年江苏省养殖的鲫大规模暴发重度出血性疾病,并于 2011—2012 年在省内各地流行。Xu 等[10]确诊这一疾病是由CyHV-2 感染引起。Wang 等 [16] 在 2012 年报道了CyHV-2 感染异育银鲫 (C. auratus gibelio) 的病例,这次的疾病暴发给中国东部地区池塘养殖的异育银鲫造成了严重损失,部分池塘的死亡率高达100%。随后在北京、武汉、广州、江西、江苏等多地养殖金鱼或鲫体内陆续检测到 CyHV-2 [17-20] 。而西南地区关于鲫感染 CyHV-2 发病并造成大规模死亡的报道较少,本实验室曾于 2016年四川成都某养殖场饲养彩鲫中检测到 CyHV-2的感染 [21] 。而此次研究确诊了 2018 年 10 月四川自贡地区养殖鲫大规模死亡的病原为 CyHV-2,表明随着西南片区鲫养殖业的发展及贸易往来,使得 CyHV-2 已经逐渐从疾病高发的东部传入西南地区。为有效控制疾病的传播,应更加重视对 CyHV-2 的监测及防治。
组织病理观察显示,鳃、肾脏和脾脏是病变严重的器官,其余组织器官主要表现为多灶性及不同程度的炎症反应。Ding 等 [22] 通过荧光原位杂交的方法直接检测组织中的病原体,观察到最大荧光强度出现在鳃、肾脏坏死灶,脾脏和肝脏观察结果与本研究组织病理学观察结果相似。鳃组织中病毒分布集中在坏死部位且含量较高,推测病毒能通过鳃丝进入鱼体并在鳃中复制,从而导致呼吸上皮细胞脱落和坏死,如果想要进一步了解鳃损伤的致病机制,仍需研究宿主与病毒在鳃中的相互作用。鳃丝上较高的病毒载量也可能说明 CyHV-2 能通过鳃丝释放到水中进行传播,这种方式能很好地解释鲫疱疹病毒病传播速率快的特性。但是 Costes等 [23]研究表明,与 CyHV-2 相同病毒属的鲤疱疹病毒3 型 (CyHV-3) 可以通过皮肤进入鲤 (Cyprinus car-pio) 体内,而 Ito 等[24]也通过浸泡含 CyHV-2 的病毒悬液成功感染了健康金鱼,因此对于 CyHV-2 的传播途径还需进一步验证。Goodwin等[4]通过实时荧光定量 PCR 检测到脾脏和肾脏的病毒拷贝量高,Ito 等 [24] 和姚卓凤 [25] 通过 PCR 检测到人工感染 28 d 后,死亡鱼体组织中均能检测到CyHV-2,但存活鱼只能在肾脏中检测到 CyHV-2。结合本研究的组织病理观察及电镜观察发现,肾脏是病变最严重的组织且含有大量的病毒颗粒,推测肾脏是 CyHV-2 复制的主要器官,在临床中用于检测 CyHV-2 感染更加可靠。此外,电镜观察发现 CyHV-2 病毒粒子主要存在于细胞核或细胞质中,并未直接感染线粒体,但线粒体却有不同程度的损伤,可能是病毒粒子对细胞核造成了损伤,加上组织器官大量出血从而导致细胞处于缺血缺氧的状态,导致了线粒体的损伤。
Jung 等[2]将患病鱼的脾脏、肾脏组织匀浆过滤后接种到 FHM、EPC、罗非鱼卵巢细胞系(tilapia ovary cell line,TO-2)、虹鳟生殖腺细胞系(rainbow trout gonad cell line, RTG-2)、鲑胚胎细胞(chinook salmon embryo cell, CHSE-214) 和鳗肾细胞 (eelkidney cell, EK-1) 上,只有 EPC 和 FHM 出现了明显的细胞病变效应,但未成功传代到第4 次。王璐 [18] 、徐进等 [20] 将患病鲫组织匀浆接种到锦鲤鳍条细胞系 (koi-fin cell line,KF),观察到明显的细胞病变效应,但也有用 EPC、FHM 和KF 细胞系分离病毒未引起 CPE 的报道[6, 16, 26-28] 。本研究中使用 EPC 及 FHM 对病毒进行分离,在盲传 3 代后未出现细胞病变效应,这与之前的研究结果相同。进一步证实了 EPC 及 FHM 细胞系不适用于 CyHV-2 的体外培养。为了建立更适合分离 CyHV-2 的细胞系,李霞等 [29] 和 Ito 等 [30] 成功分离了金鱼的鳍细胞系 (goldfish-fin cell line,GFF),并进行了传代培养,接种病毒滤液后出现CPE 并能稳定传代。此外,SRTF (standard ryukintakafumi)、 RyuF-2 (ryukin goldfish-fin)、 GiCB(gibel carp-brain)、 GiCF (C. auratus gibelio-caudalfin) 等对 CyHV-2 敏感的细胞系也陆续被建立且具有稳定传代,病毒浓度高等特点 [28, 31-32] 。
CyHV-2 感染引起的死亡率高、危害大、传染性强,已经成为我国鲫养殖业的主要威胁。本研究首次报道了四川省人工养殖鲫感染 CyHV-2,并对患病鲫的组织病理及细胞超微病理进行了研究。此外,观察到处于不同时期的 CyHV-2病毒颗粒及病毒包被核膜的过程,探讨了疱疹病毒复制组装的过程,为 CyHV-2 致病机制的研究提供了重要依据。虽然目前对于 CyHV-2 各方面的研究已经逐渐深入,在病毒潜伏感染特点、开发快速有效的检测方法以及建立对其敏感的细胞系等方面都取得了一定的成果 [20, 24, 33-36] ,但如何有效治疗鱼类病毒性疾病仍是水产养殖中一个亟待解决的难题。因此,目前只能通过完善养殖过程中的预防措施,提高对疾病的防范意识来降低病毒性疾病的暴发。
作者:周瑶佳 1 , 田思璐 1 , 许佳雪 1 , 李尹麒 1 , 杨 悦 1 , 耿 毅 1 ,黄小丽 2 , 陈德芳 2 , 汪开毓 1 , 欧阳萍 1*
(1. 四川农业大学动物医学院,四川成都 611130;2. 四川农业大学动物科技学院,四川成都 611130)
来源:水产学报, 2020, 44(9): 1397−1407
参考文献 :
[ 1 ]Hanson L, Dishon A, Kotler M. Herpesviruses that infectfish[J]. Viruses, 2011, 3(11): 2160-2191.
[ 2 ]Jung S J, Miyazaki T. Herpesviral haematopoietic nec-rosis of goldfish, Carassius auratus (L.)[J]. Journal ofFish Diseases, 1995, 18(3): 211-220.
[ 3 ]Groff J M, LaPatra S E, Munn R J, et al. A viral epizo-otic in cultured populations of juvenile goldfish due to aputative herpesvirus etiology[J]. Journal of VeterinaryDiagnostic Investigation, 1998, 10(4): 375-378.
[ 4 ]Goodwin A E, Merry G E, Sadler J. Detection of theherpesviral hematopoietic necrosis disease agent (Cyp-rinid herpesvirus 2) in moribund and healthy goldfish:validation of a quantitative PCR diagnostic method[J].Diseases of Aquatic Organisms, 2006, 69(2-3): 137-143.
[ 5 ]Stephens F J, Raidal S R, Jones B. Haematopoietic nec-rosis in a goldfish (Carassius auratus) associated with anagent morphologically similar to herpesvirus[J]. Aus-tralian Veterinary Journal, 2004, 82(3): 167-169.
[ 6 ]Jeffery K R, Bateman K, Bayley A, et al. Isolation of acyprinid herpesvirus 2 from goldfish, Carassius auratus(L.), in the UK[J]. Journal of Fish Diseases, 2007,30(11): 649-656.
[ 7 ]Andor D, Benkó M, György C, et al. Introduction of thefamily alloherpesviridae: the first molecular detection ofherpesviruses of cyprinid fish in Hungary[J]. MagyarAllatorvosok Lapja, 2011, 133(3): 174-181.
[ 8 ]Goodwin A E, Sadler J, Merry G E, et al. Herpesviralhaematopoietic necrosis virus (CyHV-2) infection: casestudies from commercial goldfish farms[J]. Journal ofFish Diseases, 2009, 32(3): 271-278.
[ 9 ]Wu T, Ding Z F, Ren M, et al. The histo-and ultra-patho-logical studies on a fatal disease of Prussian carp(Carassius gibelio) in mainland China associated withcyprinid herpesvirus 2 (CyHV-2)[J]. Aquaculture, 2013,412-413: 8-13.
[10]Xu L J, Podok P, Xie J, et al. Comparative analysis ofdifferential gene expression in kidney tissues ofmoribund and surviving crucian carp (Carassius auratusgibelio) in response to cyprinid herpesvirus 2infection[J]. Archives of Virology, 2014, 159(8): 1961-1974.
[11]Daněk T, Kalous L, Veselý T, et al. Massive mortality ofPrussian carp Carassius gibelio in the upper Elbe basinassociated with herpesviral hematopoietic necrosis(CyHV-2)[J]. Diseases of Aquatic Organisms, 2012,102(2): 87-95.
[12]Fichi G, Cardeti G, Cocumelli C, et al. Detection ofCyprinid herpesvirus 2 in association with an Aeromo-nas sobria infection of Carassius carassius (L.), inItaly[J]. Journal of Fish Diseases, 2013, 36(10): 823-830.
[13]Boitard P M, Baud M, Labrut S, et al. First detection ofcyprinid herpesvirus 2 (CyHV-2) in goldfish (Carassiusauratus) in France[J]. Journal of Fish Diseases, 2016,39(6): 673-680.
[14]Radosavljevic V, Adamek M, Milicevic V, et al. Occur-rence of two novel viral pathogens (CEV and CyHV-2)affecting Serbian cyprinid aquaculture andichthyofauna[J]. Journal of Fish Diseases, 2018, 41(5):851-854.
[15]Waltzek T B, Kurobe T, Goodwin A E, et al. Develop-ment of a polymerase chain reaction assay to detect cyp-rinid herpesvirus 2 in goldfish[J]. Journal of AquaticAnimal Health, 2009, 21(1): 60-67.
[16]Wang L, He J, Liang L, et al. Mass mortality caused byCyprinid Herpesvirus 2 (CyHV-2) in Prussian carp(Carassius gibelio) in China[J]. Bulletin-European Asso-ciation of Fish Pathologists, 2013, 32(5): 164-173.
[17]李莉娟, 罗杨志, 刘学芹, 等. 金鱼鲤疱疹病毒Ⅱ型的分子诊断[J]. 华中农业大学学报, 2013, 32(1): 92-96.
[18]王璐. 江苏地区鲫出血病病原的分离、鉴定及检测方法研究 [D]. 南京: 南京农业大学, 2012.
[19]田飞焱, 欧阳敏, 谢世红, 等. 江西省鲫鱼造血器官坏死病病毒(CyHV-2)感染流行病学研究[J]. 江西水产科技, 2018(1): 33-37.
[20]徐进, 曾令兵, 杨德国, 等. 鲤疱疹病毒2型武汉株的分离与鉴定[J]. 中国水产科学, 2013, 20(6): 1303-1309.
[21]Zhao R X, Geng Y, Yu Z H, et al. New detection ofCyprinid herpesvirus 2 associated with mass mortality incolour crucian carp (Carassius auratus), in China[J].Aquaculture Research, 2019, 50(6): 1705-1709.
[22]Ding Z F, Xia S Y, Zhao Z M, et al. Histopathologicalcharacterization and fluorescence in situ hybridization ofCyprinid herpesvirus 2 in cultured Prussian carp,Carassius auratus gibelio in China[J]. Journal of Virolo-gical Methods, 2014, 206: 76-83.
[23]Costes B, Raj V S, Michel B, et al. The major portal ofentry of koi herpesvirus in Cyprinus carpio is the skin[J].Journal of Virology, 2009, 83(7): 2819-2830.
[24]Ito T, Maeno Y. Effects of experimentally induced infec-tions of goldfish Carassius auratus with Cyprinidherpesvirus 2 (CyHV-2) at various water temperatures[J].Diseases of Aquatic Organisms, 2014, 110(3): 193-200.
[25]姚卓凤. 鲫感染鲤疱疹病毒Ⅱ的组织病理学研究 [D].武汉: 华中农业大学, 2015.
[26]Goodwin A E, Khoo L, LaPatra S E, et al. Goldfish hem-atopoietic necrosis herpesvirus (Cyprinid herpesvirus 2)in the USA: molecular confirmation of isolates from dis-eased fish[J]. Journal of Aquatic Animal Health, 2006,18(1): 11-18.
[27]Lovy J, Friend S E. Cyprinid herpesvirus-2 causing massmortality in goldfish: applying electron microscopy tohistological samples for diagnostic virology[J]. Diseasesof Aquatic Organisms, 2014, 108(1): 1-9.
[28]Shibata T, Nanjo A, Saito M, et al. In vitro characterist-ics of cyprinid herpesvirus 2: effect of kidney extractsupplementation on growth[J]. Diseases of AquaticOrganisms, 2015, 115(3): 223-232.
[29]李霞, 福田颖穗. 金鱼疱疹病毒敏感细胞的体外培养[J]. 上海水产大学学报, 2003, 12(1): 12-18.
[30]Ito T, Kurita J, Ozaki A, et al. Growth of cyprinidherpesvirus 2 (CyHV-2) in cell culture and experimentalinfection of goldfish Carassius auratus[J]. Diseases ofAquatic Organisms, 2013, 105(3): 193-202.
[31]Ma J, Jiang N, LaPatra S E, et al. Establishment of anovel and highly permissive cell line for the efficientreplication of cyprinid herpesvirus 2 (CyHV-2)[J].Veterinary Microbiology, 2015, 177(3-4): 315-325.
[32]Lu J F, Xu D, Lu L Q. A novel cell line established fromcaudal fin tissue of Carassius auratus gibelio is suscept-ible to cyprinid herpesvirus 2 infection with the induc-tion of apoptosis[J]. Virus Research, 2018, 258: 19-27.
[33]赵欣, 贾鹏, 刘莹, 等. 鲤疱疹病毒2型微滴式数字PCR检测方法的建立及比较分析[J]. 渔业科学进展, 2017,38(4): 126-133.
[34]郝中香, 林华, 佘容, 等. 鲤疱疹病毒2型微滴式数字PCR快速检测方法的建立[J]. 中国兽医科学, 2016,46(2): 167-173.
[34]Hao Z X, Lin H, She R, et al. Establishment of dropletdigital PCR assay for the rapid detection of Cyprinidherpesvirus 2[J]. Chinese Veterinary Science, 2016,46(2): 167-173(in Chinese).
[35]孔善云, 姜有声, 许丹, 等. 一种基于Ⅱ型鲤疱疹病毒衣壳蛋白72的免疫学检测方法[J]. 中国水产科学,2016, 23(2): 328-335.
[36]Wei C, Iida H, Chuah Q Y, et al. Persistence of cyprinidherpesvirus 2 in asymptomatic goldfish Carassiusauratus (L.) that survived an experimental infection[J].Journal of Fish Diseases, 2019, 42(6): 913-921.
2、pbs缓冲液配制(dpbs和pbs的区别)
pbs缓冲液配制(dpbs和pbs的区别)Pbs缓冲液的制备(dpbs和pbs的区别)
实验离不开各种解决方案,实验台上琳琅满目的瓶瓶罐罐基本都是每个实验者自己配置的。
正确准备这些不同名称的溶液是你实验成功的基础。一旦某个解决方案出了问题,不仅会导致整个实验的失败,而且有时候找出原因也会让人摸不着头脑。
今天就来说说缓冲液的相关知识,了解一下实验室常用缓冲液的混合。
实验室中的各种缓冲溶液
首先,让我们知道什么是缓冲溶液。缓冲溶液通常是由“弱酸及其共轭碱”或“弱碱及其共轭酸”的缓冲对组成的溶液,当加入一定量的其他物质时,可以减缓pH值的变化。以生物实验中最常用的缓冲液之一PBS为例。它是由Na2HPO4和KH2PO4组成的缓冲对,在PH5.8-8.0的pH范围内有很强的缓冲能力。
缓冲原理
假设缓冲溶液中含有弱酸HA及其共轭碱a,溶液中的质子反应如下:
水合氢离子的浓度取决于弱酸与其共轭碱的浓度比。当加入少量强碱时,酸被中和,导致溶液中氢氧离子的积累很少,从而增加了C (a)的浓度,降低了C(HA)的浓度。
可以看出,虽然加入了强碱,但溶液中的氢氧离子变化不大,而C (a) C (ha)的浓度相对较高,相对变化较小,两者的比例几乎没有变化,所以根据公式,水合氢离子的浓度变化不大。加入弱酸也是如此。因为C (a) C (ha)大浓度基数的微小变化不会改变比值,所以维持了体系中氢离子和氢氧根离子的浓度平衡。
缓冲溶液的选择和计算
为了确保缓冲溶液具有足够强的缓冲能力,在制备缓冲溶液时,有必要进行以下操作:
为了使共轭酸碱对的浓度比接近1,应根据所需pH范围选择合适的缓冲液对,使其中弱酸的PKa等于或接近所需pH。
例如生物培养液中需要PH=7.0的缓冲液,已知H2PO4-的PKA2为7.21,因此H2PO4—HPO42- 2是合适的缓冲液对。如果配制PH=9.0的缓冲溶液,可以选择NH3 H2O-NH4Cl缓冲对(pKa(NH4+)=9.25)。可见弱酸性的Ka是选择缓冲液的主要依据,表中列出了几种常用的缓冲液。
缓冲溶液的作用
缓冲溶液的作用是在有限的范围内调节溶液的pH值,使被测溶液的酸度符合分析规定的范围。例如,苯酚可以在碱性介质和铁氰化钾存在下与4-氨基安替比林反应生成橙红色的安替比林染料。为了防止芳香胺的干扰,最适pH值为10.2。因此,需要向待测溶液中加入氨-金钱氯化物缓冲溶液,以调节和控制待测溶液的酸碱度为10.0-0.2。
在实际工作中,一些分析师对缓冲溶液的机理了解不多。当配制和使用的缓冲液与规定值不匹配时,为了使缓冲液满足要求,他们用盐酸或氢氧化钠等强酸强碱进行调节,认为这样做可以使缓冲液尽快达到所需的酸碱度。然而,结果恰恰相反。虽然这种溶液的酸碱度调节正确,但其缓冲系统被破坏,功能丧失。缓冲溶液
使用注意事项
使用缓冲液时的注意事项:很多缓冲液含有挥发性成分,如氨-氯化铵中的氨基甲酸、醋酸钠中的醋酸等。目前,许多实验室都引入了定量加液装置来添加试剂,其特点是简单、准确、误差恒定,尤其是在批量样品时。很多同志也喜欢用它来加缓冲。但需要注意的是,缓冲液不能长时间存放在定量加液装置中,因为容器没有密封,氨容易挥发(醋酸-醋酸钠缓冲液中的醋酸也是如此),从而导致溶液失效。
当涉及到缓冲时,它必须被扩展。这是亨德森-哈苏方程。
如前所述,
同时取方程的对数并简化,得到:
或者
这就是亨德森-哈苏方程。
注:式中酸及其共轭碱的浓度为平衡时的浓度。除了酸度太强的情况外,由于离子效应相同,一般可以用这个公式计算。
普通成分
通常用作缓冲溶液的酸由弱酸及其共轭酸盐组成的溶液具有缓冲作用。常见的缓冲系统有:
1.弱酸及其盐(如HAc - NaAc)
2.弱碱及其盐(NH3·H2O-NH4Cl)
3.多元弱酸的酸式盐及其相应的二级盐(如NaH2PO4 - Na2HPO4)由水溶液组成。
但生化实验室常用的缓冲体系主要有磷酸、柠檬酸、碳酸、乙酸、巴比妥酸、Tris(三甲基氨基甲烷)等体系。在生化实验或研究工作中要慎重选择缓冲体系,因为有时影响实验结果的因素不是缓冲液的pH值,而是缓冲液中的某些离子。缓冲剂如硼酸盐、柠檬酸盐、磷酸盐和三羟甲基甲烷都可能产生不需要的化学反应。
硼酸盐:硼酸盐与许多化合物形成复盐,如蔗糖。
柠檬酸盐:柠檬酸根离子很容易与钙结合,所以不能在钙离子存在的情况下使用。
磷酸盐:在一些实验中,它是酶的抑制剂,甚至是代谢产物,重金属很容易以磷酸盐的形式从溶液中沉淀出来。此外,当酸碱度高于7.5时,其缓冲能力很小。
三甲基氨基甲烷:能与重金属作用,但在某些系统中也有抑用。它的主要缺点是温度效应。这一点经常被忽视。室温下Tris缓冲液的pH值为7.8,4℃时为8.4,37℃时为7.4。因此,当在4℃制备的缓冲液在37℃测量时,其氢离子浓度增加了10倍。pH7.5以下,其缓冲能力极其不理想。
基于
将Trizma碱和Trizma HCl(适马的Tris比率法)与1l 50mm Tris缓冲液混合。
1L 1M磷酸钠缓冲液(pH6.0-7.2)配比表(25℃)
1 100毫米磷酸钠缓冲液(pH5.8-8.0)比例表(25°C)
50毫米甘氨酸-盐酸缓冲液
制备200毫米药液(a)和200毫米盐酸(b);50毫升(甲)+十毫升(乙),稀释至200毫升。
酸碱度范围表如下
50毫米甘氨酸-氢氧化钠缓冲液
配制200毫米药剂溶液(甲)和200毫米氢氧化钠(乙);50毫升(甲)+十毫升(乙),稀释至200毫升。
酸碱度范围表如下
50毫米醋酸缓冲液
制备200毫米醋酸溶液(甲)和200毫米醋酸钠溶液(乙);x毫升(甲)+Y毫升(乙),稀释至100毫升。
酸碱度范围如下
50毫米柠檬酸盐缓冲液
配制100毫米柠檬酸溶液(甲)和100毫米柠檬酸钠溶液(乙);x毫升(甲)+Y毫升(乙),稀释至100毫升。
下表显示了酸碱度范围
50毫米碳酸缓冲液
制备200毫米Na2CO3 (A)和200毫米碳酸氢钠(b);x毫升(甲)+Y毫升(乙),稀释至200毫升。
酸碱度范围表如下
公共广播公司
调节酸碱度至所需值,用蒸锅或滤膜消毒。
当然,这八种缓冲肯定不是唯一的。局长在这里只是简单列举这8种。最后附上各种缓冲液的pH范围,看看你需要的缓冲液有没有在里面~ ~
本文关键词:pbs缓冲液,pbs缓冲液配制6.86,hepes缓冲液的配制,ph为8的pbs缓冲液配制,pbs缓冲液配制后为什么混浊。这就是关于《dpbs和pbs的区别,pbs缓冲液配制(四川地区养殖鲫鲤疱疹病毒Ⅱ型的鉴定及病理学研究)》的所有内容,希望对您能有所帮助!
- 最近发表