手机版

百科生活 投稿

r和l哪个是左哪个是右,袜子r和l哪个是左哪个是右(竟然包含了这么多的信息)

百科 2026-02-20 04:36:27 投稿 阅读:5644次

关于【r和l哪个是左哪个是右】:r和l哪个是左哪个是右(袜子r和l哪个是左哪个是右),今天小编给您分享一下,如果对您有所帮助别忘了关注本站哦。

  • 内容导航:
  • 1、一张影像胶片,竟然包含了这么多的信息!教你识别胶片的四角信息
  • 2、r和l哪个是左哪个是右(袜子r和l哪个是左哪个是右)
  • 3、耳机rl哪个是左哪个是右
  • 4、一般汽车配件l和r哪个是左哪个是右
  • 5、R和L哪个是左哪个是右?
  • 6、耳机怎样分左右?R和L那个是左那个是右?谢谢朋友们

1、一张影像胶片,竟然包含了这么多的信息!教你识别胶片的四角信息


影像胶片四角都有中文、英文、数字构成的信息,很少实习生和临床医生都好奇这些信息到底什么意思?今天与大家共享一下如何看片子上的基础信息。

X线片

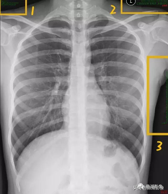
这是一张胸部正位片,图像一般分为几个区,右上为患者及检查信息,左上为机器及图片信息,右下为显示视野。

r和l哪个是左哪个是右,袜子r和l哪个是左哪个是右(竟然包含了这么多的信息)

图中圆框内标记的A、P、R、L为方位,分别为前后右左;黄色标记3区指向为刻度尺比例,1分隔为1CM,可自行对比量病变大小。

图中1区放大可见

r和l哪个是左哪个是右,袜子r和l哪个是左哪个是右(竟然包含了这么多的信息)

  1. 最上方为患者姓名,一般为汉语拼音,有的是汉字标示;
  2. 患者年龄、性别及影像检查号,其中M为男性,F为女性;
  3. 影像登记流水号,告诉患者登记的顺序,如图中说明这个患者是2015年3月26号第8个登记的;
  4. P000***这个号码是病人编号,每个就诊者有且只有一个病人编号。

放大2区可见:

r和l哪个是左哪个是右,袜子r和l哪个是左哪个是右(竟然包含了这么多的信息)

  1. 所做检查医院名称,一般带有XX Hosptial或XX医院;
  2. 检查日期,顺序为年月日;
  3. 检查时间,精确到秒;

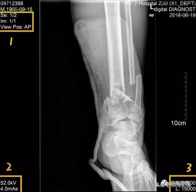
下面是另一个机器的影像片子:

r和l哪个是左哪个是右,袜子r和l哪个是左哪个是右(竟然包含了这么多的信息)

1区:SE为序列,1/2意为图中检查总共正侧位两张检查,此为第一张,View Pos为投照位信息,A、P、R、L为方位,分别为前后右左;所以图中AP为前后位。

2区:是扫描参数,上面的52KV是电压,临床中技术老师会根据病人的具体情况调节电压大小;下面的mAs是电流乘时间,根据时间可知道做检查所受的剂量。

3区:为显示视野

CT

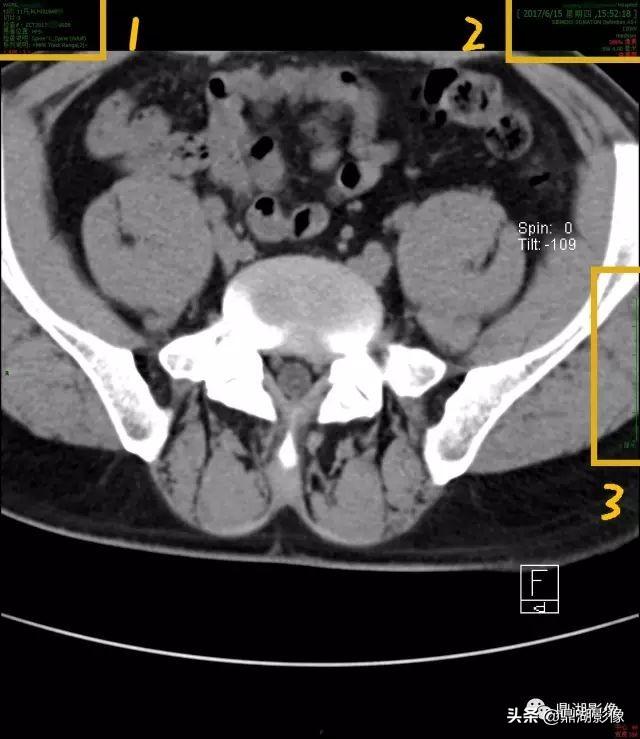
这是一张影像片子中的一个层面/一张图像,图像一般分为几个区,右上为患者及检查信息,左上为机器及图片信息,左下为扫描条件,右下为显示视野。

r和l哪个是左哪个是右,袜子r和l哪个是左哪个是右(竟然包含了这么多的信息)

图中框内标记的A、P、R、L为方位,分别为前后右左;黄色标记3区指向为刻度尺比例,1分隔为1CM,可自行对比量病变大小。

放大1区

r和l哪个是左哪个是右,袜子r和l哪个是左哪个是右(竟然包含了这么多的信息)

1.患者姓名,一般为汉语拼音,有的是汉字标示;

2.患者年龄、性别及影像检查号,其中M为男性,F为女性;

3.影像登记流水号,告诉患者登记的顺序,如图中说明这个患者是2017年6月15号第29个登记的;

4.图像编号,图中这是第3副图;

5.检查部位为L_Spine为腰椎

放大2区:

r和l哪个是左哪个是右,袜子r和l哪个是左哪个是右(竟然包含了这么多的信息)

1.所做检查医院名称,一般带有XX Hosptial或XX医院;

2.检查日期,顺序为年月日;

3.检查时间,精确到秒;

4.所做机器型号,图中为SIEMENS SOMATOM Definition CT机;

5.120KV 是扫描管电压

6.meduser是西门子的meduser账户,可以忽略

7.SW为层厚,图中检查层厚为4.00mm

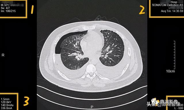
下图为另一个设备的CT片子

r和l哪个是左哪个是右,袜子r和l哪个是左哪个是右(竟然包含了这么多的信息)

我们看到这是另一个机器的DR图片信息

1区:IM为图像,106/215意为图中检查总共215张图片,SE为序列,此为第4个序列。

2区:所做检查医院名称,一般带有XX Hosptial或XX医院。

3区:扫描参数,CT的为扫描一序列的射线剂量,一般电压为120KV;图中信息:层厚1.5mm,管电压120KV,管电流量(mAs)140mAs,管电流(mA)。

需要指出:

eff.mAs:有效mAs,是实时变化的

ref.mAs:标准mAs,是不变的

4区:为显示视野。

MRI

这是一张影像片子中的一个层面/一张图像,图像一般分为几个区,右上为患者及检查信息,左上为机器及图片信息,左下为扫描条件,右下为显示视野。如果需要分辨左右的关节,比如膝关节、踝关节等等,都会通过L(左)或R(右)来标注。

r和l哪个是左哪个是右,袜子r和l哪个是左哪个是右(竟然包含了这么多的信息)

放大1区:

r和l哪个是左哪个是右,袜子r和l哪个是左哪个是右(竟然包含了这么多的信息)

1.患者姓名,一般为汉语拼音,有的是汉字标示;

2.患者年龄、性别及影像检查号,其中M为男性,F为女性;

3.影像登记流水号,告诉患者登记的顺序,如图中说明这个患者是2017年6月13号第13个登记的;

4.图像编号,图中这是序列中第5副图;

5.检查部位C_Spine为颈椎

6.序列:矢状位T1,TSE

放大2区:

r和l哪个是左哪个是右,袜子r和l哪个是左哪个是右(竟然包含了这么多的信息)

1.所做检查医院名称,一般带有XX Hosptial或XX医院;

2.检查日期,顺序为年月日;

3.检查时间,精确到秒;

4.SW为层厚,图中检查层厚为3.00mm

下图为另一个设备的MR片子

r和l哪个是左哪个是右,袜子r和l哪个是左哪个是右(竟然包含了这么多的信息)

1.FOV为视野,图为180*180.

2.ET 19:回波链长度

3.FA 90 为翻转角90度的意思

4.QUADKEE 膝关节线圈

5.TR、TE为重复时间、回波时间,不同序列,TR、TE不同。

6.5thk/5sp 层厚/层间隔,单位为mm

7.SP 22.2 是指断层位置slice position

8.MR主要序列分为T1、T2,图中FS T2为T2脂肪抑制序列。

9.O Sag:O即oblique斜位的意思;Sag即矢状位

sag为矢状位,cor为冠状位,tra为横轴位

不同厂商的标识会有一些差异,我们需要认识一些常用的即可,有一些特殊的序列和扫描方案会出现在。以下是一些可能会遇到的缩写,供大家查询:

TA(acquisition time)采集时间

BW(带宽)

MF(Magnification factor)放大率

TI反转时间

W(Window Width)窗宽

C(Window Center)窗位

TP 检查床位置

EX:*** 往往是机器自动生成的检查序号

FL:Filp图像翻转

ROT:Rotation图像旋转

Mag:Magnification放大率

+LPH:Coordinatestem坐标系统,受检者坐标:左-后-头

↓表示相位编码方向

HE1-4;NE1,2 线圈通道

·END·

2、r和l哪个是左哪个是右(袜子r和l哪个是左哪个是右)

L和R哪个是左哪个是右?

  L是左,R是右 L是left的缩写,R是right的缩写 left adj.左边的,左侧的;左派的 n.左,左面;[军]左翼;左派,激进分子 adv.向左;在左边 v.离开( leave的过去式和过去分词)right adv.立刻,马上;向右,右边;恰当地;。

3、耳机rl哪个是左哪个是右

  耳机rl哪个是左哪个是右R为right右声道,L为left左声道。
  相关说明 1.最好不要在睡觉时配带耳机。
  一般人绝对不可能一夜不动,时间长了,耳机线不是缠绕在脖子上就是两根线像麻花似的拧在一起,有的大耳机甚至外壳被压坏了。
  100、200的横梁初。

4、一般汽车配件l和r哪个是左哪个是右

  一般汽车配件l和r,left简称用l左边意思。
  right简称用人R右边意思。
  left 意思:adj.左边的,n.左边;左方;左;左边的第一(或第二等)条路;左转弯。
  right意思:adj.右边的,n.右边;右方;右;右边的第一(或第二等)。

5、R和L哪个是左哪个是右?

  R是右,L是左,是right(右),left(左)的单词首字母。
  在耳机上:R:right 代表右边,指 戴在右耳上 L:left 代表左边,指 戴在左耳上 标有L/R的音频设备是用在双声道(立体声)系统,双声道信号在录制时是经。

6、耳机怎样分左右?R和L那个是左那个是右?谢谢朋友们

  1、耳机上的R是右 right的缩写,L是左 left的缩写。
  记住:左L,右R。
  2、人体的耳朵并不是单纯的两个规则的圆孔,因为耳洞戴耳机的地方是不规则的,所以很多耳塞也做的符合耳朵的这个特性,这样戴是最舒服的,左右两个。

本文关键词:r和l是左边还是右边,r和l哪个是左哪个是右眼,隐形r和l哪个是左哪个是右,卵巢r和l哪个是左哪个是右,r和l哪边是左哪边是右。这就是关于《r和l哪个是左哪个是右,袜子r和l哪个是左哪个是右(竟然包含了这么多的信息)》的所有内容,希望对您能有所帮助!

本文链接:https://bk.89qw.com/a-383155

最近发表
网站分类