手机版

百科生活 投稿

为什么会长虎牙,人为什么会长虎牙(长了会对其它牙齿有影响吗)

百科 2026-02-13 17:15:57 投稿 阅读:4676次

关于【为什么会长虎牙】:人为什么会长虎牙,今天小编给您分享一下,如果对您有所帮助别忘了关注本站哦。

  • 内容导航:
  • 1、人为什么会长虎牙
  • 2、为什么有些人会长虎牙?长了会对其它牙齿有影响吗?能拔吗?

1、人为什么会长虎牙

  生活中,也许有人经常会受到虎牙的困扰,恨不得马上拔了它。不过,有些人的虎牙,虽然属于“歪瓜裂枣”,但还蛮可爱的。特别是笑起来,让人顿觉亲切感。

  虎牙,又叫犬齿,这些都是它的通俗叫法。虎牙,其实质是唇侧异位的尖牙——没有长在牙弓内,而排列在牙弓外;不是特殊的一颗牙,而是正常牙列的一颗。因其形状类似动物撕咬肉食的牙齿形状或者位置较为特殊而得“虎牙”之名。

  虎牙主要是基因决定的,牙列中的每一颗牙齿都有自己的名字、形态、位置和作用。牙列中最前面的4颗牙齿较为扁平锋利,位于牙弓最前面,负责切割和美观;旁边的两颗尖牙牙冠弧度大、牙根粗长,负责支撑口角、保护整个牙列和美观,动态微笑时最影响美观的“笑线”的组成就包括上颌尖牙;两侧尖牙后面各有两颗形态相似的牙齿,有两个牙尖,叫做双尖牙,负责初步捣碎食物并将其运送至牙弓最末端的磨牙;牙弓最末端的磨牙就是负责研磨食物和支撑整个面下1/3的高度。

2、为什么有些人会长虎牙?长了会对其它牙齿有影响吗?能拔吗?

"你看你家孩子长得这两颗小虎牙,真可爱。"不少人在青春时期都很羡慕同班那个长着虎牙笑起来很甜的少年或姑娘,就像现在活跃在娱乐圈的刘昊然、王俊凯、李宇春、佟丽娅这些有虎牙的明星,只要张嘴一笑就由衷的使人感到亲切和温暖。

今天我们就来谈谈虎牙的那些事

为什么会长虎牙,人为什么会长虎牙(长了会对其它牙齿有影响吗)

其实虎牙和犬齿其实都是尖牙的俗称;

人类一共有28-32颗牙齿,门牙中线往左右数的第三颗就是尖牙;上下一共四颗,牙根粗壮咬合力度大。

“尖牙”是口腔中使用寿命最长的牙齿,在口腔中牙根最深,咬合力最强,和其他哺乳动物一样,尖牙的主要作用是用来撕扯食物的尤其是肉食

但是随着人类对工具的使用,食物都经过加工才进食,尖牙的作用就没有那么大了,慢慢经过进化也就变得没有那么突出了;

为什么会长虎牙,人为什么会长虎牙(长了会对其它牙齿有影响吗)

那么现在所出现的'虎牙'是怎么形成的呢?

1、 乳磨牙

大部分孩子会在六岁以后开始换牙,乳牙会会陆续脱落被恒牙所代替;

但是如果乳磨牙并没有顺利脱落也没有及时拔除,就会让上尖牙因为萌出受到阻碍向唇侧错位,形成虎牙。

但是乳牙因为外力或者龋齿脱落过早,也会容易因为恒磨牙向前移位让尖牙错位,形成虎牙。

2、 颌骨作用

孩子因为遗传或后天疾病导致的颌骨发育不完全,齿量大于骨量,就会让牙齿排序本应该占有的空间不足,从而使尖牙错位生长,形成虎牙。

所以现在大部分的虎牙形成都是因为在幼年生长发育时期发生“意外”、“病变”造成的;

这个'意外'后期生长的好,或许会对患者的颜值起到锦上添花的作用;一旦生长的太过于肆无忌惮,那就是“青面獠牙”的真实写照,由于过分突出,也会直接影响面容。

为什么会长虎牙,人为什么会长虎牙(长了会对其它牙齿有影响吗)

那虎牙可以拔除吗?

不建议拔除。

去到任何一家正规的医院医师都不会主动建议患者拔除掉虎牙,尤其是上颌的尖牙,因为这两颗牙齿牙根长且坚固,它不容易患病,是口腔中服务时间最长的牙齿;

并且它所处位置位于嘴角两边的弯角,起到支撑上嘴唇的作用,如果拔除会使嘴唇塌陷,影响面貌显得非常的老,没有精神。

所以除非是牙齿严重畸形或病变,已经危害到其他牙齿健康的程度,否则不建议拔除。

为什么会长虎牙,人为什么会长虎牙(长了会对其它牙齿有影响吗)

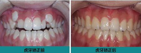
但是这颗虎牙已经'虎'到严重影响颜值和日常生活了要怎么办?

可以选择矫正它!

建议先到专业的口腔医院检查,医师会根据患者的年龄和牙齿畸形情况给出适合的矫正治疗方案。如果患者处于青少年正在发育的时期,这个时期颌骨还没有定形比较容易矫正,可以选择进行隐形矫正治疗,在不影响效果的前提下提升了美观度,家长也不用担心带牙套会给孩子的心理带来什么负担;

为什么会长虎牙,人为什么会长虎牙(长了会对其它牙齿有影响吗)

如果是已经成年,矫正治疗相对来说比较难,可以选择进行美牙冠快速矫正。要是有蛀牙、牙周炎等口腔问题,那无论选择哪种矫正治疗份方法,矫正之前都先进行治疗,医师诊断可以后再进行矫正。

本文关键词:人为什么会长虎牙,能矫正吗,人为什么会长虎牙,人为什么会长虎牙 遗传吗,有的人为什么会长虎牙,人为什么会长虎牙小孩。这就是关于《为什么会长虎牙,人为什么会长虎牙(长了会对其它牙齿有影响吗)》的所有内容,希望对您能有所帮助!

本文链接:https://bk.89qw.com/a-469702

最近发表
网站分类