手机版

百科生活 投稿

牙菌斑是什么,口腔白斑是什么病严重吗(牙菌斑和牙石)

百科 2026-03-01 07:40:34 投稿 阅读:1776次

关于【牙菌斑是什么】:牙菌斑是什么,今天涌涌小编给您分享一下,如果对您有所帮助别忘了关注本站哦。

  • 内容导航:
  • 1、牙菌斑是什么
  • 2、牙菌斑和牙石

1、牙菌斑是什么

  第一:牙菌斑就像是由不同细菌组成的“细菌社区”。这些“社区”定居于牙面、牙与牙之间或者在假牙(义齿、修复体)表面。由于“社区”扎根很牢固,所以不能被水冲去或者漱掉,只能由机械方法清除。

  第二:牙菌斑的建立、成熟需要经历三个阶段。首先唾液中的营养物质吸附在牙齿表面,构成“社区”肥沃的“土壤”,即获得性薄膜形成。“土壤”形成之后,便可吸引细菌来定居,同时为细菌提供营养,即细菌粘附和共聚。

  第三:牙菌斑主要对牙和牙龈构成危害,也就是口腔最常见的两种疾病即龋病和牙周病。龋病俗称“虫牙”,这里的“虫”指菌斑中的细菌。牙菌斑牢固地附着在牙面上,细菌摄入唾液中的糖,最终成洞。

2、牙菌斑和牙石

我们在上一篇文章中提到刷牙出血主要是由于牙齿上面的牙菌斑和牙石刺激(见刷牙出血是怎么回事)引起牙龈炎症导致的。那么

什么是牙菌斑?什么又是牙石?

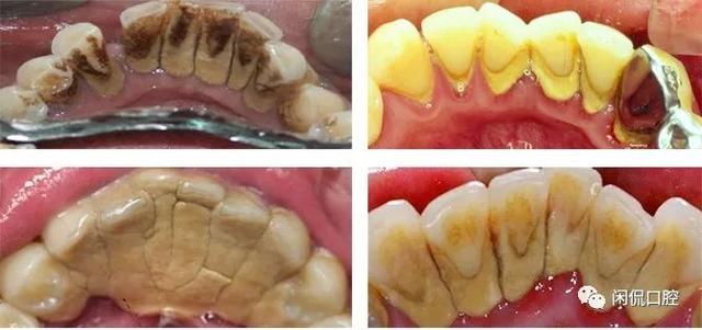
先不解释,直接用牙石的图片来视觉冲击一下

牙菌斑是什么,口腔白斑是什么病严重吗(牙菌斑和牙石)

牙齿上面大量牙石附着

我想即使不用标注,也能看明白牙石在哪里吧?简单来说,牙石是一种在自然牙面或者牙齿修复体上面形成的钙化沉积物,而牙菌斑是由细菌及细菌分泌的物质在自然牙面或者牙齿修复体上面形成的一种复杂的类似膜样的结构,所以又叫牙菌斑生物膜,牙菌斑是细菌在自然界以及我们的口腔中生存的一种方式;肉眼能够观察到牙石,但是看不到牙菌斑。

牙菌斑和牙石的危害

牙菌斑和牙石是导致牙龈炎和牙周炎的主要致病因素和刺激因子。

  • 存在于牙齿和牙齿周围组织表面的牙菌斑中的细菌可以通过以下方式导致牙齿周围组织的病变:
  • 细菌在牙菌斑中生存和繁殖,可以通过自身的抗原成分和产生的毒性产物引起组织的炎症或者直接破坏组织,然后趁机侵入组织内部;
  • 部分细菌可以直接侵入上皮细胞进入机体深部;
  • 细菌可以通过破坏机体免疫系统产生的抗体或者抑制免疫细胞的激活,来抑制或者逃避机体免疫系统对细菌的杀伤能力;
  • 细菌和其毒性产物的入侵可以激活机体的免疫系统来杀死入侵的细菌和灭活毒性产物,但是这种具有杀伤作用的免疫反应在抵抗细菌入侵的同时,也会破坏牙齿周围的自身组织。

牙菌斑通过这些机制的综合作用,引起牙龈发炎甚至引起牙齿周围组织破坏,导致牙周炎。而钙化的牙石,其表面粗糙有利于细菌附着并且难以通过一般的刷牙措施去除,牙石本身具有疏松多孔的结构有利于吸收大量的细菌毒素,所以牙石的存在则进一步促进了牙菌斑的致病能力。

牙石和牙菌斑是怎么形成的呢?

下面我们来详细说一下牙石和牙菌斑的形成,牙菌斑是牙石形成的基础,所以我们先从牙菌斑开始。

我们知道细菌广泛存在于我们生活的世界中,日常生活我们接触的所有物体表面包括身体的表面以及与外界相通的口腔、鼻腔、消化道等等部位,都有细菌存在。那么这些细菌是以一种什么样的形式存在的呢?如同单个的人类个体难以抵抗自然的威力,需要形成族群部落的形式来提高生存能力,细菌也不是单个存在的,它们会分泌一些多糖类的物质包裹在自身表面,然后通过这些分泌的物质和其他细菌黏附在一起,形成一种类似膜样的结构(所以牙菌斑又叫牙菌斑生物膜),并且附着在物体表面(比如牙齿表面)。牙菌斑生物膜结构复杂,是细菌生存和繁殖的场所,并且大大增强了细菌对外界环境变化、抗生素和我们日常清洁措施的抵抗能力,并且能够将具有不同破坏能力的细菌结合在一起,所以牙菌斑生物膜是细菌“团结一致”形成的细菌生存的团体。但是牙菌斑通过一般的比如刷牙、牙线等方式尚可去除。

牙石则是在牙菌斑的基础上形成的钙化物质,与牙面紧密附着,一旦形成,则难以通过刷牙等方式去除,并且具有表面粗糙、疏松多孔的结构,所以牙石能够促进牙菌斑的生存能力和致病能力。

牙菌斑和牙石都可以分为龈上和龈下两部分。我们看到的牙石都是龈上牙石,还有被牙龈盖着看不到的龈下牙石,也是致病威力更大的部分。

牙菌斑是什么,口腔白斑是什么病严重吗(牙菌斑和牙石)

龈上牙石和龈下牙石(牙菌斑的分布位置与此类似)

怎么去除牙菌斑和牙石

牙菌斑通过仔细刷牙和利用牙线清洁牙齿之间的缝隙,基本可以去除到比较干净而不至于引起病变的程度,但是即使我们每天仔细刷牙清洁,也可能会慢慢形成牙结石,尤其是牙缝之间以及龈下的部分,一旦形成牙石,则需要牙科医生的帮助才能清洁。

本文关键词:牙菌斑是什么样子的,牙菌斑是什么导致的,牙菌斑是什么,牙菌斑是什么颜色的,牙菌斑是什么细菌。这就是关于《牙菌斑是什么,口腔白斑是什么病严重吗(牙菌斑和牙石)》的所有内容,希望对您能有所帮助!

本文链接:https://bk.89qw.com/a-494236

最近发表
网站分类