手机版

百科生活 投稿

鼻窦炎微创手术,鼻窦炎微创手术价格是多少(诊治及【合理用药)

百科 2026-04-11 02:53:26 投稿 阅读:3133次

关于【鼻窦炎微创手术】:鼻窦炎微创手术价格是多少,今天小编给您分享一下,如果对您有所帮助别忘了关注本站哦。

  • 内容导航:
  • 1、鼻窦炎微创手术价格是多少
  • 2、「慢性鼻窦炎」诊治及【合理用药

1、鼻窦炎微创手术价格是多少

  第一: 这种情况要根据病情来定,一般要3000~5000,不过各地收费不同,建议你在接受治疗之前,咨询清楚相关费用医院不同。

  第二:医院收费标准都是严格按照国家规定收费标准,并采取透明收费。不同的医院,收费标准不同,咨询清楚相关费用。情况而定。

  第三:鼻窦炎这类常见多发病,微创手术比药物、烤电治疗方法针对性更强,早治疗治疗彻底,费用2500左右,完全值得你一试。

2、「慢性鼻窦炎」诊治及【合理用药

一、定义

慢性鼻-鼻窦炎(CRS)是指鼻与鼻窦粘膜的慢性炎症,鼻部症状持续超过12周,症状未完全缓解甚至加重。慢性鼻窦炎较急性者多见,常为多个鼻窦同时受累。慢性鼻窦炎影响病患的生活质量,加重患者的呼吸道感染症状,严重者有引起颅眼肺并发症的可能,导致视力改变,甚至感染加重而死亡。但在药物、手术治疗下大多数慢性鼻窦炎病人可以治愈,少数伴过敏、哮喘、阿司匹林不耐受等特异体质的患者,疾病常反复发作。

二、分类

1、慢性鼻-鼻窦炎(不伴鼻息肉)CRSsNP

2、慢性鼻-鼻窦炎(伴有鼻息肉)CRSwNP

  • 慢性鼻窦炎分成伴有或者不伴有鼻息肉两个类型,伴有和不伴有鼻息肉的慢性鼻-鼻窦炎的病理本质均是鼻腔鼻窦粘膜的慢性炎症,目前尚没有证据表明鼻窦炎和鼻息肉是两个不同疾病。但从临床治疗的角度考虑,其治疗的策略有所不同。

(一)单纯型慢性鼻窦炎

1期:单发鼻窦炎;

2期:多发鼻窦炎;

3期:全组鼻窦炎。

(二)慢性鼻窦炎伴鼻息肉

1期:单发鼻窦炎伴单发性鼻息肉;

2期:多发鼻窦炎伴多发性鼻息肉;

3期:全组鼻窦炎伴多发性鼻息肉。

(三)多发性鼻窦炎

多发性鼻窦炎或全组鼻窦炎伴多发性、 复发性鼻息肉和或筛窦骨质增生。

鼻窦炎微创手术,鼻窦炎微创手术价格是多少(诊治及【合理用药)

三、病因

1、急性鼻窦炎

多因对急性鼻窦炎治疗不当,或对其未予彻底治疗以致反复发作,迁延不愈,使之转为慢性。此为本病之首要病因。

2、阻塞性病因

鼻腔内的阻塞性疾病,如鼻息肉、鼻甲肥大、鼻腔结石、鼻中隔偏曲、鼻腔肿瘤、鼻腔填塞等阻塞鼻腔鼻窦通气引流,是本病的重要原因。

3、致病菌毒力强

某些毒力较强的致病菌,如患猩红热时的乙型溶血性链球菌,其所致的急性鼻窦炎,极易转为慢性。

4、牙源性感染

因上列磨牙的牙根与上颌窦底部毗邻,若牙疾未获根治,易成为牙源性慢性上颌窦炎。

5、外伤和异物

如外伤骨折、异物存留或血块感染等,导致慢性鼻窦炎。

6、鼻窦解剖因素

由于各个鼻窦特殊的或异常的解剖构造,不利于通气引流,亦为不可忽略的自身因素。

7、全身性因素

包括各种慢性疾病、营养不良、疲劳过度而导致的机体抵抗力低下。同时,还有各种变应性因素及支气管扩张等病因。

鼻窦炎微创手术,鼻窦炎微创手术价格是多少(诊治及【合理用药)

三、诊断

(一)症状

1、主要症状;鼻塞,粘脓性鼻涕。

2、次要症状:头面部胀痛,嗅觉减退或丧失,视觉功能障碍。

3、全身症状:精神不振,易倦,头痛头昏,记忆力下降,注意力不集中。

诊断时以上两种或两种以上相关症状为依据,其中主要症状中鼻塞和黏脓性鼻涕必具其一。

(二)检查

1、内镜检查:来源于中鼻道、嗅裂的黏脓性分泌物,中鼻道粘膜充血、水肿或有鼻息肉。

2、影像学检查:CT扫描显示窦口鼻道复合体或鼻窦粘膜病变。

鼻窦炎微创手术,鼻窦炎微创手术价格是多少(诊治及【合理用药)

  • 询问病史
  • 鼻腔检查:前鼻镜、鼻内窥镜。

鼻窦炎微创手术,鼻窦炎微创手术价格是多少(诊治及【合理用药)

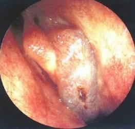
图1中鼻道息肉

鼻窦炎微创手术,鼻窦炎微创手术价格是多少(诊治及【合理用药)

图2 治疗后

  • 口腔和咽部检査。
  • 副鼻窦X线检查,CT(冠状位、轴位)检查已常规应用。
  • 上颌窦穿刺冲洗。
  • 鼻窦A超检查。

鼻窦炎微创手术,鼻窦炎微创手术价格是多少(诊治及【合理用药)

正常鼻窦CT

鼻窦炎微创手术,鼻窦炎微创手术价格是多少(诊治及【合理用药)

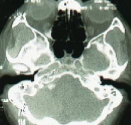
鼻窦炎轴位CT

鼻窦炎微创手术,鼻窦炎微创手术价格是多少(诊治及【合理用药)

鼻窦炎微创手术,鼻窦炎微创手术价格是多少(诊治及【合理用药)

鼻窦炎冠状CT

四、评估

(一)主观病情评估:

采用视觉模拟量表VAS (患者对病情严重程度的主观评价,如鼻塞、头痛、面部胀痛感等)轻度:0-3,中度:3-7,重度>7-10.VAS>5,则表示生活质量受到影响。

(二)客观病情评估:

1、对鼻腔和鼻窦解剖学变异的评价。

2、对感染和变应性因素的评价。

3、对伴发疾病和慢性鼻窦炎相互关联的评价。

五、药物治疗

1、抗炎药物

2、抗菌药物

3、粘液溶解促排剂

4、抗过敏药物

5、中药

6、减充血剂

7、鼻腔冲洗

(一)抗炎药物

1、糖皮质激素

①鼻喷激素:抗炎、抗水肿作用,疗程12周。

②全身应用:严重、复发性鼻息肉患者可短期低剂量口服。

药物参考:氟替卡松喷鼻剂、糠酸莫米松、布地奈德鼻喷剂、曲安奈德鼻喷雾剂。

(二)抗菌药物

1、14环大环内酯类:具有抗炎、免疫调节作用。

2、推荐药物:罗红霉素、红霉素、克拉霉素

3、用于常规药物治疗不佳、无嗜酸性粒细胞增多、IgE值正常、变应原检测阴性的非变应性慢性鼻-鼻窦炎的患者,常规剂量的1/2,不少于12周。

注:鼻内镜手术后不常规使用,但如术后4周持续粘膜充血、肿胀、脓性分泌物。可考虑使用。

(三)细菌感染-抗生素

1、CRS和健康对照组鼻分泌物细菌培养的结果没有显著差异。

2、没有明确证据表明短期抗生素治疗CRS的疗效。

3、12周以上的小剂量长期大环内酯类药物治疗,主要针对目标是炎症而非细菌感染。

4、感染:细菌的植入、定植、繁殖(急性)-抗菌

5、炎症:炎症细胞因子介导的炎症反应(慢性)-抗炎

(四)粘液溶解促排剂

1、稀化鼻腔和鼻窦分泌物

2、改善鼻粘膜纤毛活性

3、促进粘液排出有助于鼻腔、鼻窦生理功能恢复

4、推荐药物:桉柠蒎肠溶胶囊,标准桃金娘肠溶胶囊。

(五)抗过敏药物

1、适用于:伴有变应性鼻炎和(或)哮喘患者

2、口服或鼻喷

3、疗程不少于4周

4、推荐药物:抗组胺药物:西替利嗪、枸地氯雷他定、白三烯拮抗剂:孟鲁司特钠咀嚼片。

(六)中成药

1、辅助治疗,辨证施治

2、药物:鼻渊通窍颗粒(脓性分泌物较多者)、辛夷鼻炎丸(鼻塞较重者)、玉屏风散(合并过敏性鼻炎,缓解期)

(七)减充血剂

1、原则上不推荐使用,持续性严重鼻塞患者可短期应用,疗程<7天。

2、推荐药物:赛洛唑啉滴鼻液、呋嘛滴鼻液。

(八)鼻腔冲洗

1、治疗慢性鼻-鼻窦炎的有效手段

2、鼻内镜手术后常规的辅助治疗手段

3、鼻腔冲洗的作用机制

①提高粘膜纤毛功能

纤毛功能的正常有赖于粘液毯质和量的正常

②控制炎症介质、减轻粘膜水肿

减低组胺、白三烯C4、前列腺素D2浓度

③物理或机械清除作用

六、手术治疗

(一)手术适应症:

1、影响窦口鼻道复合体或各鼻窦引流的明显解剖学异常;

2、影响窦口鼻道复合体或各鼻窦引流的息肉;

3、经药物治疗、症状改善不明显;

4、出现颅、眶等并发症;

5、对儿童慢性鼻-鼻窦炎手术适应证严格限制,12岁以下原则上不宜手术。

围手术期处理 ①

原则:以手术为中心包括手术前1-2周至手术后3-6个月的用药策略及处理原则

1、手术前期(7-14天):减轻鼻腔和鼻窦粘膜炎性反应,控制全身相关疾病。

2、手术期:合理、微创的鼻-鼻窦手术,主要包括结构修正,病变清除、引流通畅、粘膜保留。

围手术期处理 ②

3、手术后处理:抗炎、加快术腔清洁、减少术腔粘连、减少术腔囊泡和息肉形成、保持窦口开放引流、加速粘膜上皮化等。

注意:手术后综合药物治疗时间不少于12周,术后局部清理时间为:术后1周、术后3周、术后两月、术后四月,追踪复查半年。

(二)鼻窦内镜手术

1、FESS术

2、开放三个窦口:上颌窦口、额窦口、蝶窦口

3、切除一组气房:筛窦气房

4、辨认两个边界:纸样板、筛顶(前颅底)

5、勿伤一个神经两个血管:视神经、筛前动脉、颈内动脉

七、疗效评价

(一)评估方法

1、主观评估:症状改善

2、CT影像学量化评估:窦口开放

3、鼻内镜检查量化评估:粘膜上皮化

(二)评估时机

1、药物治疗:近期3个月,远期:12个月

2、手术治疗:近期12个月,远期:36个月

① 病情完全控制:症状完全消退、VAS总评分0分,手术后鼻内镜检查窦口开放良好,窦腔粘膜开放良好,窦腔粘膜水肿消失,无粘性或黏脓性分泌物,上皮化良好。

② 病情部分控制:症状明显改善但未完全消失,VAS评分减少3分或以上,鼻内镜检查窦口部分区域水肿,肥厚或肉芽组织形成,有少量黏性或黏脓性分泌物。

③ 病情未控制:症状无明显改善,VAS总评分同术前,手术后鼻内镜检查发现窦腔粘膜充血水肿,息肉组织形成,或结缔组织增生,较广泛粘连,窦口狭窄或闭锁,有黏性或黏脓性分泌物。

本文关键词:慢性鼻窦炎微创手术费用,副鼻窦炎微创手术费用,鼻窦炎微创手术价格是多少一次,鼻窦炎微创手术价格是多少钱,鼻窦炎手术一般价格。这就是关于《鼻窦炎微创手术,鼻窦炎微创手术价格是多少(诊治及【合理用药)》的所有内容,希望对您能有所帮助!

本文链接:https://bk.89qw.com/a-497036

最近发表
网站分类