百科生活 投稿
关于【聚六亚甲基双胍】,聚六亚甲基双胍的危害是什么,今天小编给您分享一下,如果对您有所帮助别忘了关注本站哦。
- 内容导航:
- 1、聚六亚甲基双胍的危害是什么
- 2、消毒剂放入加湿器中,会导致肺部纤维化,大家应提高警惕
1、聚六亚甲基双胍的危害是什么
聚六亚甲基双胍的危害接触到肌肤会导致化学过敏问题,聚六亚甲基双胍盐酸盐主要作为原料药加工成其他药品,或作为消毒防腐剂使用。聚六亚甲基双胍盐酸盐是一个新型的抗菌物质,广谱抗菌,抗菌效果明显,对革兰氏阳性菌、革兰氏阴性菌、真菌(多种癣菌和霉菌)和酵母菌均具有杀伤能力。
2、消毒剂放入加湿器中,会导致肺部纤维化,大家应提高警惕
文|整点科普
加湿器给许多人带来了便利,它能够在干热的环境下增加一定空间范围的湿度,营造一个云雾缭绕、舒适宜人的氛围,因而深受欢迎,特别是一些白领女性。
然而,它在造福人类的同时,也存在诸多隐患,任何物品长期不清洁,必然会滋生细菌。
对此,不少商家也率先发现了商机,专门研发了用于清洗消毒加湿器的消毒剂,一经推出便大卖。
令人意想不到的是,这些无毒无害的消毒剂被放入加湿器中,竟酿成了上万人死亡的惨剧!
韩国加湿器害人事件
首尔医院有28名孕妇出现原因不明的急性呼吸衰竭,症状表现非常相似——肺部纤维化,且死亡率非常高。
如此大规模又集中的现象让医院怀疑是否产生了新的传染病,对此,保健福祉部疾病管理本部进行了大规模的流行病学调查。
调查发现,在此之前,就已经有121例孕产妇和婴幼儿出现过类似的肺部疾病,群体大部分以女性为主,其中孕妇和小孩占比最高。于是,他们排除了传染病的可能性。
一位姓安的先生表示,他的妻子身怀二胎在家待产,身体状况一直很好,结果突然就出现了呼吸问题;虽然在发现时就将妻子送往医院,但由于肺部纤维化严重,大人和腹中的胎儿双双殒命,而他的大儿子也出现了同样的肺部损伤。
频繁出现相似的案例令人感到心痛不已,调查结果发现,这些人都有一个习惯——长期使用加湿器,为期至少4个月。
但是,单纯使用加湿器并不会造成肺部纤维化,专家按照线索继续深入调查,发现他们还有一个共同点——往加湿器中添加同一种消毒剂,平均一个月1瓶。
例如,安先生在妻子待产期间买了专门用来清洁加湿器的消毒剂,许多无辜的受害者也有同样的习惯。
据不完全统计,至少有14000人因为在加湿器中放入消毒剂而死亡,其中大部分是妇女和儿童;若是往更早时间追溯,约有数十万人因此身体受损,表现有鼻炎、肺病、哮喘以及皮肤病等,这样的数据令人悲痛。
加湿器的分类及工作原理
市面上的加湿器分为商用和家用,包括超声波加湿器、纯净型加湿器、电加热式加湿器、侵入式电极加湿器以及冷雾加湿器等,最常用的是冷蒸发式和超声雾化式加湿器。
- 超声波加湿器:
超声波加湿器通过利用每秒200万次的超声波高频震荡,把水雾化为1微米到5微米的超微粒子和负氧离子,达到均匀加湿的目的。
使用超声波加湿器对水质有一定要求,否则水中的杂质或细菌可能会跟随水雾一同进入到空气中,吸进去后会损伤人体。
- 冷蒸发式加湿器:
冷蒸发式加湿器能够将水份变成气态的形式散发到空气中,水里的杂质和细菌不容易被释放。
但是,如果不及时清洗,容易造成水垢沉积,滋生多种细菌和微生物,甚至发出臭味。
正因如此,很多人觉得加湿器虽然能够带来便利,但长期使用不卫生,所以购买消毒剂进行清洁。
生活中有很多能够杀毒消菌的消毒剂,比如酒精和消毒水等,而韩国市场上常见的加湿器消毒剂品牌是“Oxy”,其中的主要成分是聚六亚甲基胍(PHMG)。
聚六亚甲基胍到底是什么东西,为什么在加湿器中放入消毒剂会引发急性呼吸衰竭呢?
聚六亚甲基胍是什么?
实际上,聚六亚甲基胍(Polyhexamethylene guaidine)是一种胍类阳离子抗菌聚合物,号称是“完美的消毒剂”。
它安全高效、无毒副作用且稳定不易挥发,是最有可能替代传统消毒剂的环保型高分子聚合物,通常以盐酸盐、磷酸盐和丙酸盐等形式存在。
含有聚六亚甲基胍的消毒剂活性非常高,在生理条件下呈正电性,能够吸附许多带负电的病毒和细菌,还能破坏细菌的细胞壁,阻止其分裂繁殖,阻止微生物呼吸。
而且,它在理论上具有广谱抗菌性,可以与所有带负电的细菌结合,不用担心耐药性的问题。
有实验结果显示,在不同菌种中滴入聚六亚甲基胍盐类消毒剂5分钟,2.4g/L的平均杀灭金黄色葡萄球菌的概率为99.91%,1.8g/L的杀灭大肠杆菌的概率为99.95%,1g/L的可完全灭活艾滋病病毒……
总而言之,这类消毒剂对大部分细菌和微生物来说,堪称是“毁灭性的存在”,也因此被广泛应用到各个领域中,比如水处理、伤口敷料、杀虫剂、医疗设备消毒、洗发水和湿巾等产品。
那么,聚六亚甲基胍类消毒剂放入加湿器中,引起肺部疾病又是怎么回事呢?
加湿器加消毒剂,为何会引发急性呼吸衰竭?
聚六亚甲基胍类消毒剂被批准应用于各种领域,都是经过实验结果对人体无害后确定的,但加湿器是个例外。
Oxy公司注意到了加湿器的市场,在缺乏动物实验或者其他安全性的论证的前提下,理所当然地认为聚六亚甲基胍类消毒剂对加湿器具有同样的功效,便迅速投入生产销售。
使用加湿器的群体很快就在市场上看到了这类消毒剂,而Oxy公司还在宣传标语中夸大其词:
在加湿器的储水箱中直接添加消毒剂,水汽蔓延到房间的各个角落也能实现消毒作用,实现一劳永逸。
于是,大家纷纷将含有聚六亚甲基胍的消毒剂倒入加湿器的储水箱中,也因此造成了上千万人死亡的惨剧。
聚六亚甲基胍不易挥发,用聚六亚甲基胍类消毒剂进行物体表面擦拭和喷洒消毒确实安全,但当其经过加湿器雾化变成水分子被吸入肺中后,结果是不一样的。
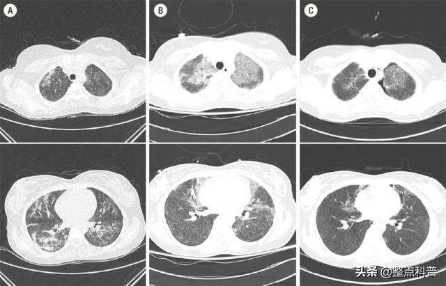
聚六亚甲基胍雾化后被人体吸入,很容易诱发不可逆的肺部损伤,出现咳嗽、呼吸困难和肺部弥漫性小叶中央毛玻璃样阴影、急性呼吸衰竭等症状,严重时还会导致死亡。
为了进一步确定,专家利用老鼠进行了一项实验,结果显示:
停止吸入聚六亚甲基胍类消毒剂7天后,在肺部仍有74%的聚六亚甲基胍停留在肺部,其中有5.3%还迁移到了肝脏。
这说明在吸入状态下,肺部对聚六亚甲基胍的处理效率很低,长时间堆积很容易引起炎症或者肺部纤维化,这些都与因在加湿器中添加聚六亚甲基胍类消毒剂而死亡的人表现一致,更加证明了加湿器加消毒剂的危害性。
经此一事,韩国限制了聚六亚甲基胍的生产和使用,但在我国和其它欧美国家仍普遍使用。
所以,遇见加湿器消毒剂,特别是聚六亚甲基胍类消毒剂,大家应提高警惕,不要直接倒入加湿器的储水箱中。

使用加湿器,有哪些注意事项?
除了消毒剂的使用,使用加湿器还要注意以下事项:
- 水质:
前面提到,常用的加湿器都很容易滋生细菌和微生物,所以要尽量保证水质的安全和洁净,以免雾化后加大细菌的繁殖空间和密度,对身体造成损害。
- 抗菌剂的安全性:
在加湿器中添加抗菌性的物质或者消毒剂时,应该时刻注意其安全性,避开甲基异噻唑啉酮和聚六亚甲基胍类消毒剂等,这些消毒剂进行表皮消毒无害,但吸入后容易造成肺部损伤。
- 湿度控制:
使用加湿器是为了让空间变得湿润宜人,但太湿润了反而会引起反作用,一般25℃时,相对湿度维持在40%左右即可。
除此之外还要注意开窗通风,每隔一段时间换气,保证空气清新,减少空气中细菌繁衍。
使用加湿器不会对身体造成伤害,但是在其中添加聚六亚甲基胍类消毒剂会引起肺部纤维化,严重时会致命,大家要时刻牢记。
本文关键词:聚六亚甲基胍副作用,聚六亚甲基胍的作用,聚六亚甲基胍和双胍区别,聚六亚甲基双胍对人体有害吗,聚六亚甲基双胍对身体的危害。这就是关于《聚六亚甲基双胍,聚六亚甲基双胍的危害是什么(消毒剂放入加湿器中)》的所有内容,希望对您能有所帮助!
- 最近发表