手机版

百科生活 投稿

人昏迷最多不能超过多长时间,老人临终会昏睡多久(5岁娃“中招”后昏迷17天)

百科 2026-02-05 02:15:02 投稿 阅读:5296次

关于【人昏迷最多不能超过多长时间】,老人临终会昏睡多久,今天小编给您分享一下,如果对您有所帮助别忘了关注本站哦。

  • 内容导航:
  • 1、流感高峰又“杀到”!5岁娃“中招”后昏迷17天,至今未醒
  • 2、人昏迷最多不能超过多长时间:老人临终会昏睡多久

1、流感高峰又“杀到”!5岁娃“中招”后昏迷17天,至今未醒

来源:【深圳卫健委】

"悦悦......我的宝贝,妈妈想你快点醒来......”

“今天儿童节,小伙伴都跟他们爸爸妈妈出去玩了,你怎么还赖着不肯起床......”

儿童重症监护病房(PICU)里,悦妈泪如雨下。

人昏迷最多不能超过多长时间,老人临终会昏睡多久(5岁娃“中招”后昏迷17天)

图源:《机智的医生生活》

她轻轻抚过悦悦额前的小碎发,悦悦的呼吸很轻,轻得好像都感觉不到,从前哄了好久都不肯睡的娃,现在却安静得可怕。

“怎么会变成这样?”

悦妈心都碎了,白发冒出了好几根,她想不明白——

几天前,5岁的悦悦只是得了场“小感冒”,怎么到了今天,宝贝女儿身上就插满了管子,怎么叫都没反应了?

人昏迷最多不能超过多长时间,老人临终会昏睡多久(5岁娃“中招”后昏迷17天)

悦悦在PICU治疗

那天,悦悦有点流鼻涕,还一个劲儿说冷。悦爸给她量了体温后,心里一惊:39℃!

这年龄段的娃,感冒发烧太正常了。悦爸喂悦悦吃完家中备的退烧药后,悦悦的烧暂时退下来了。

但没过多久,悦悦体温又升了起来。悦爸打算再观察一晚上,不行第二天就去医院。

结果,到了第二天,烧不仅没退,还飙到了40℃!更糟心的是,娃还吐了2次,平时上蹿下跳的娃这下彻底蔫儿了。

悦爸果断带她去了医院。

人昏迷最多不能超过多长时间,老人临终会昏睡多久(5岁娃“中招”后昏迷17天)

医生检查完后,看着一堆单子皱起了眉头:

“这情况不大好,建议马上住院治疗。”

可悦悦怕生,嚷嚷着要回家。得亏悦爸没同意,几小时后,悦悦突然开始抽搐反应也越来越差,还陷入了昏迷。

一切都发生得太突然,医院在紧急抢救后,将悦悦转入了PICU病房。病房里,悦悦病情还在快速恶化:

她的自主呼吸越来越少,血压也在下降。

“上心电监护!气管插管!上呼吸机!注射升压药!”

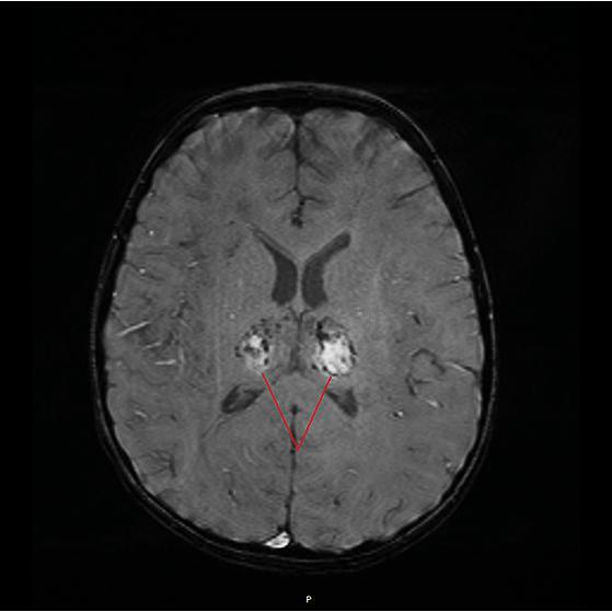
没多久,悦悦的小身板就插满了管子。核磁共振检查也传来了坏消息:

丘脑对称性病变,典型的急性坏死性脑病!

而造成这一切的“罪魁祸首”,

乙型流感病毒。

急性坏死性脑病,正是流感的严重并发症之一,死亡率很高。

人昏迷最多不能超过多长时间,老人临终会昏睡多久(5岁娃“中招”后昏迷17天)

悦悦脑部出现病灶

深圳连下了半个月的雨,悦妈看向病房窗外:满天的乌云黑沉沉地压下来,天好像随时要塌了一样。

唯一的好消息是,悦悦在PICU抢救了几天后,暂时脱离了生命危险。最起码,她已经不需要用药物维持血压,呼吸机也撤下了。

但整整17天过去了,孩子至今还在昏迷中。

医生认为,即使之后悦悦真醒过来了,还有漫长的康复之路等着她。

像悦悦这种重症流感患儿

半个月内,深圳儿童医院收了7个

最近,深圳家长明显能感觉到,这次流感“来势汹汹”。

人昏迷最多不能超过多长时间,老人临终会昏睡多久(5岁娃“中招”后昏迷17天)人昏迷最多不能超过多长时间,老人临终会昏睡多久(5岁娃“中招”后昏迷17天)人昏迷最多不能超过多长时间,老人临终会昏睡多久(5岁娃“中招”后昏迷17天)

同时,深圳疾控也发布了最新预警——

近期,深圳市已进入流感夏季流行期。深圳市流感的风险等级,已由“低”调整为“中”。

人昏迷最多不能超过多长时间,老人临终会昏睡多久(5岁娃“中招”后昏迷17天)

最近半个月,7个重症流感患儿进了深圳儿童医院的PICU。

他们年龄大概在6个月~8岁之间。其中,2人出现相关脑病,5人出现重症肺炎。

中小学

是这次流感的“重灾区”

深圳流感监测哨点医院的数据显示,最近一周,流感在深圳的“活动”特点有3个:

01

门诊病例中

100个有5个有流感症状

门诊病例中流感样病例占比(ILI%)达到5.3%,

也就是说,平均100个门诊病例中有5个发热超过38℃、伴咳嗽或咽痛等流感症状的病人。

人昏迷最多不能超过多长时间,老人临终会昏睡多久(5岁娃“中招”后昏迷17天)

02

“中招”的

近一半是孩子

48%的ILI病例,是0岁~14岁的人群。而且,流感聚集性疫情主要发生在中小学。

人昏迷最多不能超过多长时间,老人临终会昏睡多久(5岁娃“中招”后昏迷17天)

03

目前比较多见的

是甲型流感

流感病毒病原学的监测结果显示,这一次,深圳流感流行优势株为A(H3N2)亚型流感病毒。

为此,深圳市疾控中心发布预警,6月8日~14日,流感指数调整为Ⅲ级(较易发生)

人昏迷最多不能超过多长时间,老人临终会昏睡多久(5岁娃“中招”后昏迷17天)

“流感” ≠ “大号感冒”

严重起来是会死人的

普通感冒:症状一般是打喷嚏、鼻塞、流鼻涕、咳嗽、喉咙痛。可能是由呼吸道合胞病毒、鼻病毒、腺病毒、冠状病毒等引起的,一般一周内就能自愈。

流感:相比普通感冒,流感全身症状比较重,主要症状是高烧、头痛、咽痛、肌肉酸痛等。

人昏迷最多不能超过多长时间,老人临终会昏睡多久(5岁娃“中招”后昏迷17天)

图源:腾讯医典

这些流感症状

娃不会表达,但你得会看

✎ 发烧

起病急,一般会烧 3~5 天,体温可高达 39~40℃,可能出现怕冷、寒战、手脚冰凉、头痛等。

✎ 喉咙不舒服

大孩子会说喉咙干、痒、痛,而小孩子可能表现为比较哭闹或者怕吃东西,尤其是固体类食物。

✎ 鼻塞打喷嚏

打喷嚏,流鼻涕,鼻塞等。小孩子可能会表现为哭闹、呼哧声、张口呼吸或打呼噜等。

✎ 咳嗽

大多是阵发性的,不是咳个不停。每次咳嗽声数可能不是很多,但会比较频繁,大多是干咳。

✎ 其他不适

大孩子可能会说头痛、全身肌肉酸痛、乏力。小孩子则容易表现为哭闹、粘人。

这些症状都可能会出现,但不一定都会出现。年龄越小的孩子,症状往往越是不典型。

满月前的宝宝较少得流感,但一旦得了流感,更容易合并肺炎、脓毒血症,显得嗜睡、拒奶、少哭、少动。

人昏迷最多不能超过多长时间,老人临终会昏睡多久(5岁娃“中招”后昏迷17天)

乍一看好像都是感冒?只是由不同病毒引起、症状有些不一样而已?

漏(No)!大漏特漏!

就从杀伤力来说,它俩就不是一个level的——

全球每年约有300万~500万重症流感病例,重症流感病例的死亡率在10%左右

每年约20%~30%的儿童,会感染季节性流感。也就是说,几乎每4个孩子就有1个患上流感。其中,5~9岁儿童感染率最高

大约30%的流感患儿,会发生并发症

5岁以下儿童以及具有慢性基础疾病的患者,是流感相关住院和死亡主要人群之一

人昏迷最多不能超过多长时间,老人临终会昏睡多久(5岁娃“中招”后昏迷17天)

所以说,流感不可怕

可怕的是它的并发症

一般来说,健康的人患上流感后,大多是轻症的,一般会自行自愈。

一旦流感患者出现并发症,就会很“难搞”——

比如肺炎、急性呼吸窘迫综合症、急性弥漫性血管内凝血、心肌炎、心力衰竭、脑炎等。

严重情况下,可能会致残,甚至致死。

人昏迷最多不能超过多长时间,老人临终会昏睡多久(5岁娃“中招”后昏迷17天)

流感高峰已“杀到”

这7类人尤其容易“中招”

不管男女老少,“流感”一般不挑人,人人都坑,天天撸铁的猛男也可能难逃它的毒手。

人昏迷最多不能超过多长时间,老人临终会昏睡多久(5岁娃“中招”后昏迷17天)

但这7种人一旦被流感“缠上”了,可能没这么容易自愈——

5岁以下儿童

尤其是2岁以下儿童

学龄儿童

60岁以上老年人

特定慢性病患者

尤其是患有慢性呼吸系统、心血管疾病、血液系统疾病等

免疫力低下群体

肥胖群体

尤其是BMI(身体质量指数,BMI=体重÷身高²)达到30以上的人群

孕妇

人昏迷最多不能超过多长时间,老人临终会昏睡多久(5岁娃“中招”后昏迷17天)

还是分不清“感冒”和“流感”咋办?

娃有这些情况,果断送医院

大多数没有并发症的流感患者,症状在3~7天缓解,但咳嗽和体力恢复常常需要1~2周。

但是——

✎ 如果娃发烧了

持续高热3天甚至更长时间,头痛、全身肌肉酸痛、寒颤、精神状态不好、胃口不好,就要看医生。

✎ 如果娃没发烧

有这3种情况,也要赶紧送医院:

剧烈咳嗽、呼吸加快或者呼吸困难

严重呕吐

精神萎靡或者不愿意交流、嗜睡,或者哭闹不安、惊厥

人昏迷最多不能超过多长时间,老人临终会昏睡多久(5岁娃“中招”后昏迷17天)

不想娃得流感遭罪

最有效的办法还得是:打疫苗

疫苗一定要打,而且是每年打一次!

01

啥时候打?

通常来说,打完流感疫苗以后,得隔2~4个礼拜才产生具有保护水平的抗体。

所以,大家最好在每年10月底之前去打疫苗,这样流感高峰“杀到”时,疫苗恰好产生抗体。

如果来不及在10月份打,整个流感的流行季都可以打。总之,不管你家娃啥时候打,都好过没打。

人昏迷最多不能超过多长时间,老人临终会昏睡多久(5岁娃“中招”后昏迷17天)

02

为啥要每年打?

打了流感疫苗后,所产生的的抗体水平会在6~8个月后逐渐下降,更何况,流感病毒每年都在变异。

所以,最好就是每年打一次流感疫苗。

人昏迷最多不能超过多长时间,老人临终会昏睡多久(5岁娃“中招”后昏迷17天)

03

打过就不会“中招”?

不一定。

任何疫苗的保护效果,都不是100%。

这2种情况,打了疫苗仍极有可能“中招”流感——

✎ 免疫应答能力低下

个别受种者由于个体的特殊原因,比如免疫应答能力低下,可能导致免疫失败。

✎ 打疫苗时是潜伏期

如果接种时,已经处在流感潜伏期,接种后还是会发病。

人昏迷最多不能超过多长时间,老人临终会昏睡多久(5岁娃“中招”后昏迷17天)

04

那还有必要

挨这一针?

有必要。

就算打疫苗后得了流感,病情大多会比较轻,一般也不会出现并发症。

人昏迷最多不能超过多长时间,老人临终会昏睡多久(5岁娃“中招”后昏迷17天)人昏迷最多不能超过多长时间,老人临终会昏睡多久(5岁娃“中招”后昏迷17天)

就算打了疫苗

想彻底预防流感,这4步不能落下

① 勤洗手

使用肥皂水、含酒精洗手液等清洗。尽量避免用脏手触摸眼睛和口鼻。

② 多通风

尽量多开窗通风,空气流通对环境清洁意义较大。

③ 减少活动

避免近距离接触流感样症状患者,流行季节,尽量避免去人群聚集的室内场所。

④ 注意卫生

咳嗽或者打喷嚏时,尽量用纸巾遮挡口鼻,防止飞沫远距离传播喷溅;实在不方便时,用手肘部遮挡口鼻。

人昏迷最多不能超过多长时间,老人临终会昏睡多久(5岁娃“中招”后昏迷17天)

-End-

「有用就扩散」

本文封面:

2、人昏迷最多不能超过多长时间:老人临终会昏睡多久

老人临终会昏睡多久

老人昏睡,一般不吃不喝,如果也不补充营养,一般情况下是一周左右。老人应该是可能是脑梗,基本上已经处于昏迷了,但是如果不能进食,只是靠糖水来维系生命的话,这样坚持,维持不了多长时间,根据人不离开水,但没有食物的情况下。最多寿命的是十七天,二是人还有糖水相对来说好一些,但也坚持不了多久,大约就是在一周左右。

老人如果昏睡,这种情况,不同的人不同的体质,其实这个是没有固定的时间的,人不在补充营养就不喝水的情况下,在一般环境下是72小时也就是三天,如果超过了72小时,人的生命就会有危险。如果有水而没有食物,生存十七天白天将是人的生命的极限。这些都有可能是脑梗引起的,然后可能是引起老年人死亡的.主要因素。

老人虽然是催眠状态,如果可以少量进食的话,考虑老人家体质原因及其他情况外,对于老人家能坚持活多久,这个真的是不好判断的,尽量注意老人家生命后期的生活质量,让平时给人给老人翻翻身,晚辈尽量有人陪在身边,防止一些其他的紧急情况的发生,以上是对于老人昏睡能活多久的一些解释。

病危的老人常常会出现以下的征兆:

1、意识丧失,患者多呈嗜睡、昏睡甚至昏迷状态,对疼痛等刺激无反应,压眶反射消失,无法与外界沟通,不能说话,不能主动进食,还可伴有大小便失禁、抽搐等症状。

2、瞳孔的改变,昏迷的老人可出现瞳孔不等大或者两侧瞳孔散大固定,没有眼球运动,对光反射迟钝或者消失。

3、四肢瘫痪,肌张力低下以及各种生理反射消失。

4、生命体征的改变,濒死的老人可出现生命体征的改变,可出现高热或体温不升、心率逐渐减慢、心脏搏动逐渐减弱、呼吸微弱、张口呼吸、呼吸频率低于20次/分钟,还可伴有皮肤黏膜苍白、四肢厥冷、少尿等休克症状,血压常低于90/60mmHg以下,颈动脉搏动微弱或者消失。

如果老人出现这些症状,多在数分钟至几个小时内死亡。

老人临终会昏睡多久

老人在临终前,身体会有哪些异样?

第1个表现:身体发凉、僵硬。

生命即将终结,身体缺乏能量,血液流动和循环速度会变慢,不能及时供给到各部位,肢体便会发凉、僵硬,也难以正常活动。特别是手脚,由于手脚是血液循环的末端,表现更明显,此时可能用水捂子放在老人的手上,手脚也需要一定的时间变得暖和起来。

第2个表现:意识模糊。

老人自己不知道自己身处哪里,对于身旁的人也对不上号,叫不上来各自的名字,说话也没头没尾,别人难以听清楚到底在表达什么。此时的思维已经不清晰了,大脑功能快要停止运转了。

第3个表现:大小便失禁。

身体各项功能都在快速衰退,此时尿道括约肌等肌肉已经不能正常收缩了,不能控制住,会出现大小便失禁的情况。通常家人可能难以及时发现,闻到有异味了才会发现,要早点注意观察,并及时给老人清洁。

第4个表现:总是睡不醒。

老人在临终前,比较嗜睡,可能你叫了他好多遍都不一定能叫醒,这时候人的代谢能力已经基本没有了,人就会跟休眠一样,睡眠会延长很多。

如果老人出现这4个表现,家人们心里应该要做好相关的准备了,多陪陪老人,完成其最后的心愿。虽然难以接受,但是死亡是每个人最终的归宿,一直不愿意接受事实,可能反而会给自己和老人留下更多的遗憾。

生命在临终之前,一般是出现这些异常表现,但如果此时老人精神状态变好了,能吃能喝,也能认得谁是谁了,是不是该高兴,说明好转了?其实,也并非如此。

其实,这种现象就是民间很多人常说的“回光返照”,在医学上这种现象也是存在的,只是不是会在每个临终老人身上发生。关于这个解释,有人认为这是体内肾上腺素的影响,仅存的一点点肾上腺素发挥了最后作用,在传达最后的信息。

这就好比一根燃烧的蜡烛,在快要燃尽时,火苗是最大的,在那之后就完全熄灭了,在人体身上,这或许是最后的迸发与力量了。

当出现回光返照的现象时,家人更应该好好把握时间,尽量完成老人最后的心愿,并且做好护理工作,让老人最后体面的离开,也是对生命的一种尊重。

人的生命只有一次,在平时大家要养成健康的生活习惯,当身体反复出现不适时,不要总硬扛,早点就医检查,也要珍惜和家人相处的时间,对关心家人的身体健康,不要到最后后悔、遗憾。

老人临终会昏睡多久

老人昏睡,一般不吃不喝,如果也不补充营养,一般情况下是一周左右。老人应该是可能是脑梗,基本上已经处于昏迷了,但是如果不能进食,只是靠糖水来维系生命的话,这样坚持,维持不了多长时间,根据人不离开水,但没有食物的情况下。最多寿命的是十七天,二是人还有糖水相对来说好一些,但也坚持不了多久,大约就是在一周左右。

老人如果昏睡,这种情况,不同的人不同的体质,其实这个是没有固定的时间的,人不在补充营养就不喝水的情况下,在一般环境下是72小时也就是三天,如果超过了72小时,人的生命就会有危险。如果有水而没有食物,生存十七天白天将是人的生命的极限。这些都有可能是脑梗引起的,然后可能是引起老年人死亡的.主要因素。

老人虽然是催眠状态,如果可以少量进食的话,考虑老人家体质原因及其他情况外,对于老人家能坚持活多久,这个真的是不好判断的,尽量注意老人家生命后期的生活质量,让平时给人给老人翻翻身,晚辈尽量有人陪在身边,防止一些其他的紧急情况的发生,以上是对于老人昏睡能活多久的一些解释。

病危的老人常常会出现以下的征兆:

1、意识丧失,患者多呈嗜睡、昏睡甚至昏迷状态,对疼痛等刺激无反应,压眶反射消失,无法与外界沟通,不能说话,不能主动进食,还可伴有大小便失禁、抽搐等症状。

2、瞳孔的改变,昏迷的老人可出现瞳孔不等大或者两侧瞳孔散大固定,没有眼球运动,对光反射迟钝或者消失。

3、四肢瘫痪,肌张力低下以及各种生理反射消失。

4、生命体征的改变,濒死的老人可出现生命体征的改变,可出现高热或体温不升、心率逐渐减慢、心脏搏动逐渐减弱、呼吸微弱、张口呼吸、呼吸频率低于20次/分钟,还可伴有皮肤黏膜苍白、四肢厥冷、少尿等休克症状,血压常低于90/60mmHg以下,颈动脉搏动微弱或者消失。

如果老人出现这些症状,多在数分钟至几个小时内死亡。

本文关键词:九个症状暗示老人阳寿将尽,老人临终前昏睡多久,老人临终会昏睡多久正常,老人快不行的五个征兆,老人临终前会昏迷吗。这就是关于《人昏迷最多不能超过多长时间,老人临终会昏睡多久(5岁娃“中招”后昏迷17天)》的所有内容,希望对您能有所帮助!

本文链接:https://bk.89qw.com/a-580755

最近发表
网站分类