百科生活 投稿
关于【长期坚持跑步的13个益处】,坚持跑步的11个好处是什么,今天小编给您分享一下,如果对您有所帮助别忘了关注本站哦。
- 内容导航:
- 1、一文全解析:多发性溶骨性病变
- 2、长期坚持跑步的13个益处:坚持跑步的11个好处是什么
1、一文全解析:多发性溶骨性病变
作者:L. Gomez Pimpollo,LM Moran,IT gordo molina,JP MARTINEZ,A。Hualde Jubera,M。Mendez Alonso,ML Collado Torres,I。Hernandez Delgado,MDR Navarro Torres; 的Majadahonda / ES
目的:我们回顾了多发性溶骨性病变最常见的疾病,显示了不同成像技术中最典型的发现,并与临床结果和疾病的自然过程相关联。
骨转移和多发性骨髓瘤是最常见的溶骨性病变的疾病,但不是唯一的。以这种方式存在的许多其他恶性肿瘤例如多灶性骨肉瘤,血管瘤(血管内皮瘤和血管肉瘤)和良性形态如多发性纤维异常增生,多发性软骨瘤病或褐色肿瘤。放射科医师检测到这种病变,确定其侵袭行为,以及帮助临床医生进行病因诊断方面,发挥着关键作用。
成像技术
Imaging technique
平片是初步评估骨病变的首选技术,有时可以进行一定的诊断。它提供了有关位置,骨破坏形式,肿瘤基质类型,是否钙化以及最终皮质破坏和骨膜反应的数据。
计算机断层扫描(CT)显示肿瘤基质中的钙化比放射摄影更好,因为它们可以细微的钙化和皮质骨折。
磁共振(MR)是用于软组织评估的最佳技术,因此允许肿瘤的局部分期。
骨扫描在分析病变多样性方面具有根本用途,是骨转移筛查的首选技术。
骨损伤的处理方法
Approach to bone lesions
1.门诊 Clinic:
当我们在骨病变面前时,年龄是建立鉴别诊断的最重要的临床数据。超过40岁以上的成年人,转移和骨髓瘤是存在多个溶骨性病变时最可能的诊断。
症状:疼痛,发烧,体重减轻,癌症或其他疾病的病史。
2.形态学
边缘 Margins:病变和健康骨骼之间的过渡区域。它仅适用于溶解性病变,并且被认为是与患者年龄相关的最重要因素。
1、狭窄的过渡区Narrow zone of transition:意味着生长缓慢并表明良性。在患者> 40岁,尽管放射学特征良性,还必须考虑转移或浆细胞瘤。
2、广泛的过渡区 Broad zone of transition:边界不明确是积极增长的标志。
骨破坏方式
Lodwick描述了三种模式(图1-3)
1、局部型(I型):孤立的病变,生长缓慢。
IA:硬化边界。
IB:边界明确的非硬化边缘。
IC:边界不明确。
2、虫噬型(类型2):类似打孔,分组的多个灶性破坏。
3、侵蚀型(类型3):弥漫性骨溶解,不区分生病和健康的骨骼。意味着侵袭性。
图1.透明/裂解性骨病变边缘的Lodwick分类:类型1:包括1A:薄的,硬化边缘(a); 1B:边界清晰,但不硬化(b); 1C:模糊边界(c); :虫噬样(d); 侵蚀性(e)。
图2.局部病变。IA型:硬化的明确边际(a)。IB型:明确界限,非硬化(b)。类型IC:边界不明确(c)。
图3.虫噬样(a)。侵蚀性(b)。
骨膜反应Periosteal reaction::当存在骨膜刺激时发生。原因是良性、恶性肿瘤,感染或创伤(图4)。
1、实变或连续骨膜反应:良性,生长缓慢的病变。
2、中断的骨膜反应:急性反应,没有时间进行巩固。
多层薄片或洋葱状Multi lamellated or alt="长期坚持跑步的13个益处,坚持跑步的11个好处是什么(一文全解析:多发性溶骨性病变)" src="https://p3.toutiaoimg.com/tos-cn-i-qvj2lq49k0/87c28af7b1ac4416baa79c48d0254e16~tplv-tt-large.image" />
图4:骨膜反应。厚实的骨膜反应(绿色箭头)(a)。多层骨膜反应(紫色箭头)(b)。骨肉瘤中断骨膜反应和Codman三角形(红色箭头)(c)。Spiculated骨膜反应(黄色箭头)(d和e)。
骨皮质受累Cortical bone involvemen:是一种常见的发现,对区分恶性肿瘤和良性肿瘤无效。
1,低侵袭性:生长缓慢的病变可以多种方式出现:
#纵向延伸通过髓质骨腔而不涉及皮质。

#产生骨内膜表面(皮层内层)的变化,产生弧形切迹“扇贝征”。当病变产生缓慢的骨内膜扇形反应,允许新的皮质骨形成导致骨直径增加和皮质变薄时,发生骨皮质扩大。
#骨刺形成(骨质增生反应)。
#纵向定向的骨质增生导致皮质增大。
2,高侵袭性:最极端的皮质变化是对它的完全破坏。虽然有例外(骨髓炎和嗜酸性肉芽肿),但意味着高度恶性行为。
软组织延伸Soft tissue extension:软组织肿块穿过骨皮质的限制意,意味着高生物侵袭性,少数例外(“巨细胞”肿瘤,骨髓炎)。我们还可以看到软组织肿块没有骨皮质破坏的迹象,有时会发生在“圆形细胞”肿瘤中。
肿瘤基质Tumor matri:肿瘤中细胞间质,其可以钙化(图5)。
软骨样基质 Chondroid matrix:分散钙化环 - 弧,爆米花,焦点或絮状。
骨质基质Osteoid matrix:云状或不明确的无定形模式中的致密钙化。
磨砂玻璃基质Ground glass matri:光滑,微弱,均匀(非常暗示纤维异常增生)。
图5。软骨样基质(a)。骨质基质(b)。磨砂玻璃基质(c)。
3.分布:单个或多个。
4.位置:骨骺,干骺端,中心或偏心性骨干
多发性骨溶骨性病变的鉴别诊断
A.转移 Metastasis
代表70%的恶性骨肿瘤,并且是40岁以上患者中,溶骨性多发性病变的最常见原因。肺,乳腺,肾和前列腺是最常发生的骨转移瘤。大多数是无症状的,但可能导致疼痛,病理性骨折或脊髓压迫。
最常见的骨骼是椎骨(特别是椎体和椎弓根的后缘),其次是骨盆,肱骨,股骨和颅骨。
当骨矿化损失超过30%时,在简单的放射线图像中可以发现病变。转移和原发性骨肿瘤不同的一个特征性发现是,转移通常不显示骨膜反应。CT不用于检测,但在评估皮质破坏和评估病理性骨折的风险中起作用(图6)。
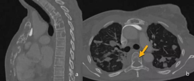
图6.转移。在乳腺癌伴肺转移的患者中,多个溶解性病变(a和b)影响胸骨和多个椎体,涉及椎体的后部区域(箭头)。
B.淋巴组织增生和骨髓增生综合征 Lymphoproliferative and myeloproliferative syndromes
1.多发性骨髓瘤
其特征在于血浆细胞的增殖,其起源于骨髓并延伸至软组织和外周血。首次出现的平均年龄在50至70岁之间,对男性有偏爱。
主要症状是骨质破坏引起的疼痛,特别是当骨质疏松症共存时,也会产生病理性骨折。
放射学特征包括多个溶骨性病变,但也可表现为全身性骨质减少,囊样病变或孤立性浆细胞瘤。MRI是检测和评估骨髓浸润最敏感的技术。
主要鉴别诊断是骨转移。转移瘤具有可变的大小和分布,而骨髓瘤病变的大小更均匀并且可能是皮质下的。
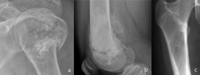
骨髓瘤的一个特征是具有“雨滴颅骨(raindrop skull)”的图案(图7和8)。
图7:骨盆X线片(a):跛行和右侧髋部疼痛的患者,右侧股骨近端明确的溶骨性病变(黄色箭头),皮质破坏。在CT研究(b,c,d和e)中,观察到多个明确边界的皮质下溶骨性病变(红色箭头),提示多发性骨髓瘤。通过骨活检确认诊断。
图8:骨骼调查。多个溶解性病变,具有均匀大小的斑驳图案,颅骨可以观察到“雨滴颅骨”样改变。
2.白血病 Leukemia
它是一组疾病,其中发生未成熟血细胞(原始细胞)的增殖和积累 - 急性白血病; 或成熟的血细胞 - 慢性白血病。
儿童:最常见的形式是急性淋巴细胞白血病。
除脾肿大和淋巴结肿大外,可能在干骺端,关节下骨和滑膜的骨膜中出现肿块。主要影像学特征是:
椎体髓增厚和骨皮质变薄,弥漫性骨质减少,有时与脊柱压缩相关联。
在长骨生长干骺端可见横行透亮线,软骨下宽约2-5mm的横行透光带(股骨远端,近侧胫骨)。
管状和扁平骨中的多个溶解性病变。
成人:骨髓形式更常见。临床和放射学特征不太常见,当它们存在时就像儿童所表现的那样。当进行MRI时,发现可以与骨髓瘤具有相同的外观。
3.淋巴瘤 Lymphoma
骨骼中的淋巴瘤可能是原发性或继发性:
原发性骨淋巴瘤:一种相对罕见的实体,相当于所有骨肿瘤的不到5%,非霍奇金淋巴瘤的1%。它被定义为在诊断后6个月没有转移性传播的骨隔离感染。当在两个或多个不同的骨骼中共存,而没有向其他器官传播的证据时,它被称为多灶性骨淋巴瘤。可能影响任何年龄组,发病高峰在50-60岁。男性更常见(1.5:1)。弥漫性B细胞淋巴瘤是最常见的组织学形式。与其他恶性骨肿瘤相比,预后相对较好,5年监测率为80%。放射学发现是一种溶骨性病变,其渗透模式将软组织肿块与皮质骨折相关联。
继发性骨受累:更常见的是15%的播散性淋巴瘤,25%的儿童。除了全身淋巴瘤症状(淋巴结肿大,纵隔肿块,肝脾肿大,发热,体重减轻,盗汗)外,骨感受表现为疼痛和/或病理性骨折。成像类似于原发性骨淋巴瘤,多发性骨病的发生频率更高。也可能表现为硬化病变(霍奇金淋巴瘤)和椎体硬化(象牙椎体征),如转移或佩吉特病(图9)。
图9:患有淋巴瘤的患者的继发性骨受累。左肱骨颈和头部的溶解性病变呈现渗透模式(a)。股骨干的局部病变,边缘不明确,产生骨内膜扇形切迹(b和c)。
C.多发性纤维异常增生 Polyostotic fibrous dysplasia
这是一种先天性非遗传性疾病,表现为成骨细胞分化和成熟的局部缺陷,由大纤维基质和未成熟编织骨岛代替正常骨。可能是单发的(70-80%)或多发性的(20-30%)。
通常出现在儿童和年轻人中,特别是10岁以下儿童常见多发性形式。可能与内分泌功能障碍有关,这种功能障碍表现为性早熟和皮肤色素沉着(Maine'cafe au lait'咖啡斑),称为Mc Cune-Albright综合征。纤维异常增生与软组织粘液瘤的关联被称为Mazabraud综合征。
单发的通常无症状,而多发性可有疼痛,畸形,跛行和骨折。
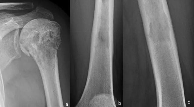
简单的放射学显示有时具有硬化边缘和“磨玻璃”基质的明确的溶解病变。高负荷的骨骼可能会出现畸形,如果发生在股骨上段可以看到典型的“牧羊人手杖”的形态(图10)。骨扫描显示多发性类型偏好偏侧肢体。
图10:多发性纤维异常增生。多个边界明确的溶骨性病变,具有磨玻璃外观,没有皮质破坏,单侧受累。
D.朗格汉斯细胞组织细胞增生症 Langerhans cell histiocytosis
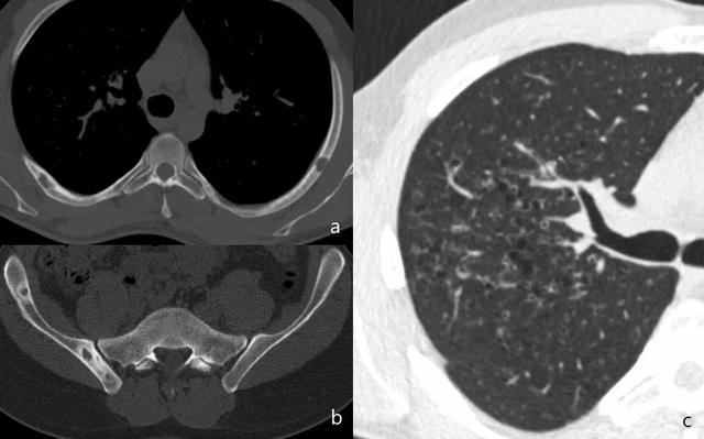
它是一组具有共同组织学缺陷的疾病。通常,它越早开始,患者越年轻,预后越差(图11)。
图11:患者的肋骨,骨盆和椎骨(a和b)的多个溶解性病变,胸部CT上存在支气管扩张和肺泡萎缩(c),考虑朗格汉斯细胞组织细胞增生症,后通过骨活检确认诊断。
1.嗜酸性肉芽肿(70%)
以男性占优势的儿童和青年人的多发或单发病变。单个病变更频繁,10%发生多个病变。
按降序排列的位置是颅骨,下颌骨,脊柱,肋骨,骨盆和长骨。在长骨中,病变表现为明确的射线可透区域,当它们生长时会产生骨内膜扇形。可以类似恶性肿瘤。椎骨破坏可能导致椎骨形态称为“椎骨平坦”。当涉及下颌时,溶解性病变可能包围模拟根性囊肿的牙齿并导致“浮牙征”表现。
2. Hand-Schüller-Christian病
见于儿童,特征性的临床三联症是尿崩症、眼球突出、溶骨性破坏。影像表现包括:膨胀性溶骨性破坏,增粗的垂体柄,下丘脑肿块,脑膜强化,垂体囊性变,白质病变,以及增宽的血管周间隙。病变的神经变性型可以在基底节和齿状核显示出异常 确诊通常通过受累骨的活检。 颅骨在90%的病例中受到影响。有时它会自发地消退,而其他病例会随着内脏的延伸而前进。
3. Letter-Siwe病
Letterer-Siwe病又称急性弥散性组织细胞增生症(acute disseminated histiocytosis)是一种急性进行性全身性疾病,主要引起皮肤、内脏器官和广泛的骨组织损害,多见于3岁以下的婴幼儿,3岁以上的儿童中很少见,很少发生于成人。发病急,进展快,病程短。主要症状为发热、皮疹及肝、脾和全身淋巴结肿大。常伴有进行性贫血、粒细胞和血小板减少。影像学在颅骨,颅底和颌骨中观察到溶解破坏性病变。
E.多发性软骨瘤病 Multiple enchondromatosis
也称为Ollier病,是一种罕见的发育异常,表现为多种软骨瘤形成。倾向于单方面并且局限于其中一个肢体。病变来自生长板上的透明软骨的残余,因此可以在由软骨形成的任何骨中发生,尽管最常见的位置是上肢的指骨和长骨。
受影响的骨骼经常缩短或变形。在儿童期,病理性骨折是相关的,并且在成人中,恶性变性的风险高于孤独的软骨瘤。病变是不健康的,所以疼痛不应该让我们想到恶性肿瘤的退化。
它们表现为溶解性的边界清晰的病变,具有分叶状边缘,软骨样钙化基质和骨内膜侵蚀。可能看起来像中心或偏心性,膨胀。也没有软组织肿块,没有骨膜反应。
MRI显示由于软骨基质,T1中的低信号和T2中的非常高的信号的分叶状病变。当最后一次钙化时,它在所有脉冲序列中变为低信号。
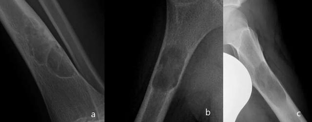
在放射学上,它与低级软骨肉瘤无法区分。当皮质增厚,骨膜侵蚀影响超过皮质厚度的2/3时,或者当其延伸超过肿瘤经度的2/3时,必须怀疑这是必然的,存在自发性病理性骨折或局部疼痛(图12)。Maffucci综合征将软骨组织与软组织和内脏血管瘤相结合。
图12:多发性软骨瘤病或Ollier病。扩张性溶解性病变,主要位于身体右侧,股骨和胫骨和腓骨干骺端广泛累及,导致腿长差异(a)。软骨瘤位于手(b)的管状骨髓腔内的中央。多个软骨瘤涉及肋骨与软骨样钙化(环和弧形钙化模式)(c)。
F.布朗瘤 Brown tumor
棕色瘤(Brown tumor):是由甲状旁腺素(PTH)分泌过多刺激破骨细胞生长,引起广泛性骨吸收、纤维化、出血、甚至囊性变而引起的假性肿瘤;因其组织中的多核巨细胞胞浆含有红细胞、含铁血黄素而呈棕褐色、棕色,故称"棕色瘤"。
其他解释:甲状旁腺功能亢进,在骨内形成破骨细胞瘤,病理解剖上呈棕色,影像学上呈低密度影。
放射学特征是单个或多个溶解性病变,具有良好的边缘,可以扩张和皮质变薄。它的破坏性方面和多灶性分布是转移的一个方面。缺乏已知的原发性肿瘤,存在软骨钙质沉着,高甲状旁腺激素和钙血清水平有助于诊断(图13-15)。
图13:棕色瘤。正位骨盆和轴向两侧髋关节X线片:髂嵴和股骨上的骨溶解性病变(红色箭头)(a,b和c)。在CT上,右髂嵴病变有皮质溶解和相关的软组织肿块(绿色箭头),以及其他明确边缘的病变,一些可见硬化边缘(d)。我们发现右侧髋部的软骨钙质沉着症(黄色箭头)(e)。
图14:棕色瘤。左侧甲状腺叶旁的肿块(a)甲状旁腺MIBI-Tc99m SPET-CT(b)上的高摄取区和对应于功能亢进甲状旁腺腺瘤的闪烁显像(c)。这些发现表明溶解性病变与由于甲状旁腺功能亢进引起的褐色相对应。
图15:棕色瘤。去除功能亢进的甲状旁腺腺瘤,(a和b)之前和之后(c和d)的图像,患上骨饥饿综合症再溶解后的溶骨性病变,这需要静脉注射钙。(骨饥饿综合征hungry bone syndrome:是骨组织成骨活性增高或正常而骨吸收被强烈抑制的一种病理状态,以骨脱钙、骨变形、病理性骨折、高血钙、肾结石等一系列病理活动过程为主要表现的疾病的总和。临床少见,主要分为原发性、继发性、三发性三大类。原发性骨饥饿综合征可根据血钙增多、血磷降低、血碱性磷酸酶升高,临床表现、B超、Cr、X线等术前诊断并不十分困难,但由于该病临床少见,国内积累病例不过1000余例,临床上往往由于症状分散,且多数按"风湿"、"骨病"等治疗,当出现了全身骨痛、肌无力、反复病理性骨折及肾结石时才被确诊,所以病程较长,多属中晚期。)
G.多灶性骨髓炎 Multifocal osteomyelitis
传染病主要由细菌引起,但也可由霉菌剂,寄生虫和病毒引起。可能发生在任何年龄,但在儿童中更常见。可临床上难以诊断:疼痛,发热,白细胞增多,C蛋白升高;有时可能是无症状的。血培养仅在32-60%的病例中呈阳性。来自受影响骨的针穿刺培养40-60%可为阴性。大多数病例是通过血源性传播产生的,但也可以通过溃疡直接延伸而发生,如糖尿病患者中所发生的那样。金黄色葡萄球菌占所有细菌性骨髓炎的80-90%。最常见的位置是长骨骺/干骺端,特别是股骨远端和胫骨近端。
初始阶段可以显示正常图像或仅显示局部软组织水肿。这可以延迟诊断直到骨质破坏发生。
骨骼发现是大小可变的射线可透性,与骨膜炎相关,可能表明侵袭性行为,模拟骨肉瘤。破坏可能会获得一种虫蛀模式,边界不明确,具有不同程度的骨质破坏。可以看到骨针,“洋葱层”图案和Codmann三角形(图16)。
MRI显示低T1信号(液体)的中心死骨灶,其由对应于水肿的低信号区域包围,T2中均为高信号。钆给药后,髓质增强会被看到,病变的边缘也会增强,以及骨膜和受影响的软组织。
图16:多发性溶骨性颅骨病变(a和b),虫噬样改变,梅毒血清学阳性提示梅毒性骨髓炎,活检后证实。在骨扫描中观察到在帽罩(c)中存在多个高强度摄取。
H.含血管的肿瘤 Vascular tumor
1.血管瘤 Hemangioma
由海绵状,毛细血管或静脉组织的血管通道形成。他们经常在脊柱和颅骨。
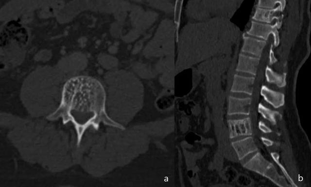
在脊柱中,它们呈现为射线可透过的病变,在椎体中具有厚的小梁垂直图案,其可以延伸到椎弓根和椎板。鉴别诊断包括骨质疏松症和佩吉特病。
脊柱外病变以射线可透性病变表现,轻度扩张,轮廓分明,有小梁状。可见皮质变薄和骨扩张(图17)。
图17:椎骨血管瘤。轴向CT(a)显示由于椎骨小梁增增粗,成砂砾样改变。矢状面成像(b)可见栅栏样改变,指的是垂直取向的,增厚的小梁。
2.血管内皮瘤 Hemangioendothelioma
罕见的起源于血管内皮细胞恶性骨肿瘤。它被定义为一种很少转移的侵袭性肿瘤。它通常出现在长骨干骨折中,主要发生在下肢。倾向于产生共时或元时间多中心。可能表现为单个骨骼中的多个溶解性病变或同一肢体中的多个骨骼。
射线照相外观是一种局部性溶解病变,边界明确,具有皮质破坏,软组织肿块和无骨膜反应(图18)。
图18:15年前用固定治疗的胫骨干骨折,愈伤组织区的疼痛性溶解性病变(a和b)。病变是扩张的,皮质中断,伴有相关的软组织成分(c)。在扩展研究中,在左髂骨中观察到另一个具有相似特征的病变(d)。胫骨病变活检的结果是多灶性上皮样血管内皮瘤。
I.骨内脂肪瘤 Intraosseous lipomas
它们表现为具有硬化边缘的溶解性病变,有时具有小叶或实质间隔和皮质扩张。CT允许检测脂肪成分,以及具有脂肪抑制序列的MRI。
图19:骨内脂肪瘤。左肱骨X线片(a):两个明确边界的溶骨性病变(黄色箭头),皮质下和皮质内,被发现是在没有已知原发性肿瘤的患者的肱骨干骨损伤后的偶然发现。在MRI研究中,它们在T1(b)上呈高信号,抑制SPIR(光谱预饱和与反转恢复)中的信号,这是一种脂肪选择性抑制序列,证实了骨内脂肪瘤。
J.佩吉特疾病的Lytic阶段 Lytic stage of Paget disease
佩吉特病是一种慢性骨病,其特征是骨质过度重塑异常。大多数患者(75%)在诊断时无症状。最常见的症状是局部疼痛,骨骼增大,弯曲畸形和运动范围减小。
疾病标志物是血清碱性磷酸酶(ALP)升高,钙和磷水平正常,尿羟脯氨酸增加。
描述了三个阶段:溶解,混合和硬化。
多发性疾病(65%)比单一性疾病更普遍。最常见的受累部位是骨盆,脊柱,头骨和近端长骨。
在头骨中,更常见的发现是剪纸画样的骨质疏松(大,明确的裂解病变),板障扩大和姚蜜昂样形态(混合溶解和硬化病变)。
脊柱:相框标志(包裹椎体边缘的皮质增厚和硬化),椎骨的平方和垂直小梁增厚比骨内血管瘤中看到的模式更粗糙。
长骨:草叶或蜡烛火焰标志:开始作为透明度的软骨下区域,具有V形骨溶解的前端,向骨干延伸。
骨闪烁显示疾病的所有阶段的摄取显着增加(图20)。
图20:患者病程10年。颅骨的侧位X线片(a):颅骨中大的明确的溶解病变,内颅骨表和外颅骨表都涉及(局限性骨质疏松)。胫骨的侧位X线照片(b):具有V形前端的透明度的软骨下区域骨溶解,向骨干延伸。除图像外,血清碱性磷酸酶(ALP)和尿羟脯氨酸升高证实了Paget病在裂解阶段。
参考文献:
Resnick D, Kransdorf MJ. Huesos y articulaciones en imágenes radiológicas. 3ª ed. Madrid: EIsevier; 2006.
Greenspan A. Radiología de Huesos y articulaciones. 2ª ed. Madrid: Marbán; 2006. Madrid España: Marban; 2006
Balach T, Stacy GS, Peabody TD. The Clinical Evaluation of Bone Tumors. RadiolClin. 2011 Nov 1;49(6):1079–93.
Helms CA. Radiología del esqueleto. 3ª ed. Madrid: Marbán; 2006.
Hwang S, Panicek DM. The Evolution of Musculoskeletal Tumor Imaging. RadiolClin. 2009 May 1;47(3):435–53.
Sociedad española de Radiología Musculo-Esquelética. Tomografía computarizada multicorte en patología musculoesquelética. Guía para la práctica diaria. Madrid: Editorial Médica Panamericana; 2012.
The Radiology Assistant: Bone tumor - Systematic approach and Differential diagnosis [Internet]. Radiologyassistant.nl. 2017 [cited 3 December 2017]. Available from: ttp://www.radiologyassistant.nl/en/p494e15cbf0d8d/bone-tumor-systematic-approach-and-differential-diagnosis.html
Radiopaedia.org, the wiki-based collaborative Radiology resource [Internet]. Radiopaedia.org. 2018 [cited 5 January 2018]. Available from: ttps://radiopaedia.org/
Delorme S, Baur-Melnyk A. Imaging in multiple myeloma. Eur J Radiol. 2009 Jun 1;70(3):401–8.
Murphey M, Robbin M, McRae G, Flemming D, Temple H, Kransdorf M. The many faces of osteosarcoma. RadioGraphics. 1997;17(5):1205-1231.
-END-
2、长期坚持跑步的13个益处:坚持跑步的11个好处是什么
坚持跑步的11个好处是:助软骨生长、防止耳背、保护皮肤、缓解偏头痛、助肌肉恢复、缓解焦虑、预防癌症、改善智力发育、增强骨骼、增强自控力、强健大脑。
1、助软骨生长
有很多人会认为跑步会给膝关节带来负面的影响,但是澳大利亚莫纳什大学的研究发现,跑步能够促进软骨组织的生长,还能够保护我们的关节免受关节炎的影响。
2、防止耳背
美国的贝拉明大学的研究证实,经常跑步锻炼的人的听力要比不经常锻炼的人的听力好6个百分点。经常锻炼能够改善耳朵的血液循环,促进耳朵对营养的吸收从而保护听力。
3、保护皮肤
通过小白鼠的研究发现,喝咖啡后经常进行锻炼的小白鼠要比那些只喝咖啡不锻炼,或者只锻炼不喝咖啡的小白鼠更不容易患上皮肤癌。这说明咖啡+跑步能够阻止有害细胞的生长。
4、缓解偏头痛
别再吃止痛药了,瑞士哥德堡大学的一项研究发现,患有偏头痛的人如果每周进行3次、每次40分钟、连续三个月的跑步锻炼将会明显降低偏头疼的次数。
5、助肌肉恢复
肌肉组织会随着时间的流逝而逐渐衰老,伊利诺伊大学的研究发现,通过跑步能够刺激一种干细胞的生成,这种干细胞能够促进新的肌肉组织生成,这样就能够防止肌肉老化而导致的疾病。
6、缓解焦虑
如果为即将开始的繁重工作压力而感到痛苦,就去跑步吧。美国的南卫理公会大学就发现人能够对压力产生自动的减压剂,而跑步正是这种减压剂的来源。
7、预防癌症
芬兰的研究人员对2560名中年男性进行了一项长达17年的追踪调查,他们发现喜欢运动的男性不太容易患上癌症,尤其是在肠道癌和肺癌的患病率上很低。这说明只要越喜欢运动,身体还是会更加健康的。
8、改善智力发育
美国伊利诺伊大学的研究人员就发现,将老鼠放在三种智力培养环境中——美食、新玩具、跑步机,只有跑步机能够大幅度改善老鼠的潜意识。这说明锻炼能够帮助动物改善智力的发育。
9、增强骨骼
力量负重训练能够增加骨骼的密度,能够防止骨折或者骨质疏松症,按照美国密苏里大学的研究显示,高强度的训练,例如跑步能够给骨骼带来最大的益处。
10、增强自控力
《运动改变大脑》实验统计数据表明,经常锻炼的学生可能会具备成年人一样的自控力,体能成绩好的学生考试成绩也同样好。
11、强健大脑
约翰·瑞迪,埃里克·哈格曼在他们的著作中写到:强健肌肉和增强心肺功能只是运动最基本的作用,运动最关键的作用是强健或改善大脑。生命在于运动,在生活中我们每个人都不应忽略了运动的重要性,它是保证身体健康的一个重要举措,而且不同的人群身体情况不一样,应制定不同的运动方案,从而让运动发挥出它最大的功效,同时也让自己更容易坚持下来。
本文关键词:坚持跑步的11个好处是什么意思,坚持跑步有什么好处和坏处,跑步的好处 长期坚持有13个益处,坚持跑步的好处有哪些,坚持跑步对身体有什么好处。这就是关于《长期坚持跑步的13个益处,坚持跑步的11个好处是什么(一文全解析:多发性溶骨性病变)》的所有内容,希望对您能有所帮助!
- 最近发表