手机版

百科生活 投稿

游泳头疼是什么原因,怎么避免游泳头疼(游泳后意识障碍、高热、死亡)

百科 2025-10-23 13:49:53 投稿 阅读:7964次

关于【游泳头疼是什么原因】,怎么避免游泳头疼,今天小编给您分享一下,如果对您有所帮助别忘了关注本站哦。

  • 内容导航:
  • 1、游泳后意识障碍、高热、死亡(阿米巴脑膜脑炎)
  • 2、游泳头疼是什么原因,怎么避免游泳头疼

1、游泳后意识障碍、高热、死亡(阿米巴脑膜脑炎)

个人体会:

阿米巴脑膜脑炎在寄生虫病教材中有一小段描述,属于肠外阿米巴病少见的类型。下面的病例中,丰富了教材中没有提供的脑脊液涂片细胞病理学特征。

============

福氏耐格里阿米巴是一种营自生生活的阿米巴原虫,存在于淡水水体、淤泥、尘土和腐败植物中。福氏耐格里阿米巴有滋养体和包囊2个生活阶段,滋养体又有阿米巴型和双鞭毛体型两种。福氏耐格里阿米巴偶然也可以营寄生生活,致病形态为阿米巴型滋养体。

耐格里阿米巴属一种致病的自生生活阿米巴。活动的滋养体呈长阿米巴形,常向一端伸出宽大奔放的伪足,另一端较细小,为伪尾区。侵入人体可引起原发性阿米巴脑膜脑炎。通常在人游泳或接触污染的水体时侵入鼻腔穿过鼻粘膜和筛状板,经嗅神经入脑 。

病例介绍

患者性别:男

患者年龄:44岁

简要病史:

室内游池游泳后发热咳嗽,5天后高热、意识障碍送急诊。

体格检查:

体温为39.8℃,心率为120次/分,血压120/90mmHg,呼吸20次/分。

患者处于昏迷状态。

脑干反射与肢体刺激反射存在。

无颈项强直,无皮疹。

辅助检查:

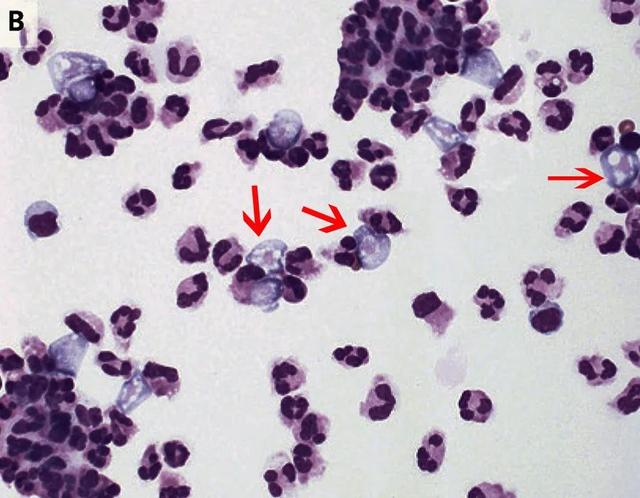
腰椎穿刺,结果显示脓性脑脊液(A图)

游泳头疼是什么原因,怎么避免游泳头疼(游泳后意识障碍、高热、死亡)

2083个有核细胞/μl(91%中性粒细胞)

葡萄糖水平为4.8mmol/L(2.2-3.9)

蛋白质水平477mg/dl(10-45)。

Wright–Giemsa染色法镜下检查发现阿米巴滋养体(图B)

游泳头疼是什么原因,怎么避免游泳头疼(游泳后意识障碍、高热、死亡)

聚合酶链反应鉴定为福氏耐格里阿米巴原虫

临床诊断:福氏耐格里阿米巴原虫脑膜炎

治疗经过:

两性霉素、利福平、氟康唑、阿奇霉素和米替福新

游泳头疼是什么原因,怎么避免游泳头疼(游泳后意识障碍、高热、死亡)

患者在发病5天后死亡。

=====

病例述评

病因

感染人体中枢神经系统引起原发性阿米巴脑膜脑炎只有福氏耐格里阿米巴。耐格里原虫首先进入人体鼻腔,通过嗅神经上皮的支持细胞,以吞噬方式摄入,然后沿着无髓鞘的嗅神经终丝轴系膜空间,穿过筛板后,到达含有脑脊液的亚蛛网膜空间进行增生,并由此扩散而入侵中枢神经系统。病理变化主要为化脓性脑膜脑炎和出血坏死性脑炎,形成出血性坏死和脓肿等组织病理学特征。原虫可进入脑室系统到达脉络膜的神经丛,引起脉络膜神经炎与急性室管膜炎。

游泳头疼是什么原因,怎么避免游泳头疼(游泳后意识障碍、高热、死亡)

临床表现

本病潜伏期较短,一般仅为3~5天,最多为7~15天。早期会出现味觉和嗅觉异常,此为病原体侵入的反应。常以剧烈头痛、高热、喷射性呕吐等症状开始,继而出现全身性或局限性癫痫发作,并有明显的脑膜刺激症状,如颈强直、克尼格征及布鲁津斯基征阳性等。多数在数天内转入谵妄、瘫痪及昏迷。有些患者还会出现运动失调,定向力障碍,行为、性格改变和精神错乱。患者常在1周内因严重脑水肿,导致呼吸、循环中枢衰竭而死亡。

检查

1.实验室检查

血中白细胞总数升高,以中性粒细胞为主,核左移,脑脊液呈脓性或血性,白细胞计数增高,培养无菌,但可查到福氏耐格里阿米巴。常用方法有:①直接涂片法;②培养法;③动物接种法。

2.其他辅助检查

CT检查,脑部显示有弥漫性密度增高区域并累及灰质。脑部及脑脚间处的脑池间隙闭塞,大脑半球上部环绕中脑和蛛网膜空间的亚显微结构均消失。

诊断

可从以下几方面加以诊断:

①流行病学史,多在夏季发病,起病前5~7天,曾在不流动的湖水或温热水中游泳;

②有上述中枢神经系统病变的临床表现;

③CT检查,脑部显示有弥漫性密度增高区域,并累及灰质。脑部及脑脚间处的脑池间隙闭塞,大脑半球上部环绕中脑和蛛网膜空间的亚显微结构均消失;

④腰椎穿刺,显示颅内压明显增高,为2.94~6.37kPa(300~650mmH2O,脑脊液中红细胞计数增高,多形核白细胞百分率增高,蛋白质增加,糖含量下降。

脑脊液镜检或体外培养确认为福氏耐格里阿米巴滋养体,才能确诊。

治疗

本病病死率极高,病程很短,一般在一周内死亡,预后极差。早期诊断与及时治疗十分必要。目前尚无肯定有效药物。静脉滴注与鞘内注射高剂量的两性霉素B和咪康唑联合使用可能有效。在治疗过程中应检测血清肌酸酐及尿素氮,防止出现肾损害。口服利福平或静脉滴注磺胺异恶唑可增加疗效。一般抗阿米巴药物无效。

==========

英文朗读

在关联视频号中有这两段音频朗读

游泳头疼是什么原因,怎么避免游泳头疼(游泳后意识障碍、高热、死亡)游泳头疼是什么原因,怎么避免游泳头疼(游泳后意识障碍、高热、死亡)

若感兴趣可以去听听

游泳头疼是什么原因,怎么避免游泳头疼(游泳后意识障碍、高热、死亡)

2、游泳头疼是什么原因,怎么避免游泳头疼

现在进入夏天了,炎热的天气让很多人都选择了游泳这一运动,但是不少人在游完之后却出现了头疼的现象,那游泳后为什么头疼?

操作方法

游泳后头疼是怎么回事

热身不充分

热身绝对是你游泳所有步骤中最容易忽视的一步!所以,头疼很容易找上门,却让你觉得莫名其妙。如果游泳之前没有充分的热身让你的软组织先活跃起来,直接运动就会让你的颈部肌肉张力一下子升高,接下来就会影响颈椎动脉的供血。供血不足,当然就会造成头晕、头痛啦。即使热身了,刚下水也不要马上游得太猛哦,但是有的人会说“我就是从来不热身啊,也没头痛过,怎么回事?”好好好,你厉害。每个人的身体差异很大,血管还有各种身体机制的调节功能也不一样,所以有人会痛有人不会痛呗。不过,充分的热身不单单是防止头痛,还会避免你的关节造成损伤。总之,不管为了什么,下水前热身是必须的!

冷身不够

冷身,就是在你狂游之后,不要马上起水,在水里撩撩水花、看看妹子,都是可以的,给自己一个缓冲的时间。我们在运动的时候,肌肉在不断地收缩使血流速度加快,大脑不至于处于缺血状态。但是,运动结束后,肌肉放松,毛细血管扩张,积滞在肌肉中的血液会增多,大脑供血相对不足。而且游泳过程中你的身体一直都是水平的,突然起水上岸,身体变成直立的,也会让脑供血不足,这样就容易大脑缺氧,然后头晕头痛。

泳镜太紧

泳镜戴不对也会头疼。有些人为了防止眼睛进水,会死命地勒紧泳镜,好像越紧越有安全感。但是这样就压迫了眼睛周围的神经,眼压也会变高,过段时间就会开始头疼、恶心了。还有,戴近视泳镜的朋友们,一定要选对度数!这就与戴了不合适的度数的近视眼镜一样的道理,戴了一副高度数泳镜下水,保证你的头又晕又疼。所以,选择适合自己的泳镜,然后正确佩戴才是正确之道。还有,多说一句,眼睛这么重要的器官,小摊上几块钱一副的就别凑合了。

耳朵进水

如果呛水,让水进入中耳,耳朵里会嗡嗡响,还会头疼。要马上把水清理干净。除了努力提高你的泳技防止耳朵进水之外,最有效的办法就是戴耳塞啦。

低血糖

就算不是在水里,低血糖时最明显的症状也是头晕头疼。游泳是个大消耗的运动,所以游泳的时候千万不能空腹。因为饿着肚子,再加上低水温加快了你身体热量的流失,你就会马上四肢无力、头晕目眩,甚至在这个时候还有可能溺水。去游泳的时候最好备一些巧克力、糖块之类的东西,半小时左右就吃一点。

偷懒没把头发吹干

夏天的时候用吹风机的确是件遭罪的事情,所以一般长发的女生更愿意走出泳馆晒着太阳自然干,不但免遭吹热风的痛苦,好像自然干的头发卷度也更好看。但是,就算是夏天,偷懒不把头发吹干,也会头痛的!

水下憋气或吐气时间过长

不少泳友在水中是憋气游的,呼吸都是在头离开水面以后再吐,或者是在水里面过度的吐气,将气吐完以后,由于动作协调性不够,导致抬头出水面之前气严重不够,大脑短暂缺氧造成头痛!

怎么避免游泳头疼

这与每个人的身体差异、血管反射的调节机能强弱不同有关。这种头痛是可以设法避免或减轻的。1、避免在大运动量游泳结束后立即上岸,可以先在水下缓缓游动一会儿后再上岸。2、避免在水中游的时间太长,要合理安排好间歇。初练游泳的人,一般在水里游10分钟左右,在水下有温暖感觉时就应上岸歇一会儿。3、平时应多参加体育锻炼,多进行游泳活动,使身体各器官功能及血管反射和体温的调节能力逐渐增强。

游泳后要注意什么

1、游泳后,避免感染,及时洗澡,才不会造成皮肤痒痛。2、如果耳朵进水,会使耳油的酸碱度遭到破坏,影响耳油预防细菌感染的功能。这时,在游泳后,抹几滴醋和酒精是相当有效的方法。3、泳后,及时用1—2百分的盐水洗眼,或滴几滴眼药水,以防感染和不良刺激。

本文关键词:游泳头疼是什么原因导致的,游泳头疼是什么原因,怎么办,游泳头疼是什么原因女性,游泳头疼是什么原因,怎么避免游泳头疼,游泳后头疼是什么原因。这就是关于《游泳头疼是什么原因,怎么避免游泳头疼(游泳后意识障碍、高热、死亡)》的所有内容,希望对您能有所帮助!

本文链接:https://bk.89qw.com/a-714088

最近发表
网站分类