手机版

百科生活 投稿

肺结核的分型诊断标准,肺结核的分型及影像学表现

百科 2026-04-14 01:57:43 投稿 阅读:2886次

关于【肺结核的分型诊断标准】,肺结核的分型及影像学表现,今天小编给您分享一下,如果对您有所帮助别忘了关注本站哦。

结核病分类目前仍采用1998年8月中华结核病学会制定的结核病分类法:

(1)原发型肺结核(I型):为初次结核感染所致的临床病症,包括原发综合征和胸内淋巴结结核。

(2)血行播散型肺结核(Ⅱ型):包括急性粟粒型肺结核和亚急性或慢性血行播散型肺结核。

(3)继发型肺结核(Ⅲ型):为肺结核中主要类型,包括渗出浸润为主型、干酪为主型和空洞为主型肺结核。

(4)结核性胸膜炎(IV型):为临床上已排除其他原因引起的胸膜炎,包括结核性干性胸膜炎、结核性渗出性胸膜炎和结核性脓胸。

(5)其他肺外结核(V型):按部位及脏器命名,如骨结核、肾结核、肠结核及结核性脑膜炎等。

(一)原发型肺结核

原发型肺结核(primary pulmonary tuberculosis)为机体初次感染结核菌所引起的肺结核病称为原发型肺结核。最常见于儿童,少数可见于青年。

1.原发综合征 结核分枝杆菌经呼吸道吸入后,经支气管、细支气管、肺泡管到肺泡,在肺实质内产生急性渗出性炎症性改变,其大小多数为0.5~2cm,这种局限性炎性实变称为原发病灶。原发病灶内的结核分枝杆菌很快经淋巴管向局部淋巴结蔓延,引起结核性淋巴管炎与淋巴结炎。肺部原发灶、局部淋巴管炎和所属淋巴结炎三者合称为原发综合征(primary complex)。原发病灶可融合或扩大,甚至可累及整个肺叶,其附近的胸膜如被病变所累及,则形成纤维蛋白性胸膜反应。

【影像学表现】

(1)X线:原发病灶表现为云絮状或类圆形密度增高影,也可表现为肺段或肺叶范围的片状或大片状密度增高影,边缘模糊不清,可见于肺的任何部位,多见于上叶的下部或下叶上部靠近胸膜处。肺门或纵隔肿大淋巴结表现为突出于正常组织轮廓的结节影。自原发病灶引向肿大淋巴结的淋巴管炎,表现为一条或数条较模糊的条索状密度增高影。典型的原发综合征显示原发病灶、淋巴管炎与肿大肺门淋巴结连接在一起,形成“哑铃状”,但这种表现在临床上并不多见。有的患者原发病灶范围较大,常可掩盖淋巴管炎及淋巴结炎。

(2)CT:可清楚显示原发灶、引流的淋巴管炎及肿大的肺门淋巴结,也易于显示肿大淋巴结压迫支气管等所引起的肺叶或肺段不张,并能敏感发现原发灶邻近的胸膜改变。

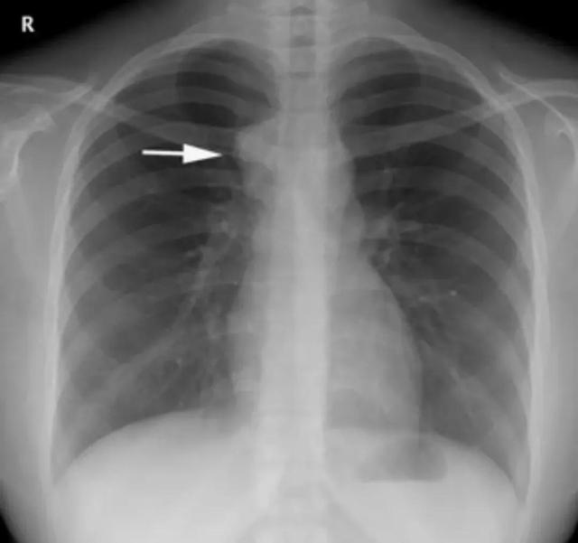
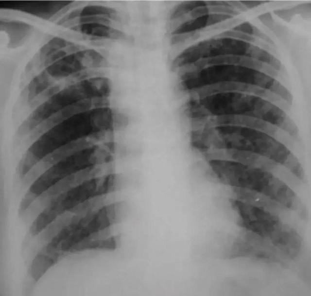
肺结核的分型诊断标准,肺结核的分型及影像学表现

原发综合征 胸部正位片,左上肺可见斑片状模糊影,与左肺门增大软组织影相连接,呈典型“哑铃状”

2.胸内淋巴结结核 原发综合征虽为原发型肺结核的典型表现,但原发病灶的病理反应一般较轻,易被吸收;由于淋巴结内干酪样坏死较严重,,其吸收愈合的速度较原发病灶缓慢。当原发病灶完全吸收时,纵隔和(或)肺门淋巴结肿大则成为原发型肺结核的重要表现,称此为胸内淋巴结结核(tuberculosis of intrathoracic lymph node)。如淋巴结肿大伴有周围组织渗出性炎性浸润,称为炎症型;如淋巴结周围炎吸收,在淋巴结周围有一层结缔组织包绕,称为结节型。肿大淋巴结有时压迫支气管而引起肺不张,以右上叶或右中叶多见。

【影像学表现】

(1)X线:炎症型表现为从肺门向外扩展的高密度影,略呈结节状,其边缘模糊,与周围肺组织分界不清。若肿大的淋巴结隐匿于肺门影中,往往显示不清,如累及气管旁淋巴结,可见上纵隔影一侧或两侧呈弧形增宽,边缘轮廓模糊不清,以右侧较易辨认。数个相邻淋巴结均增大可呈分叶状或波浪状边缘。结节型表现为肺门区突出的圆形或卵圆形边界清楚的高密度影,以右侧肺门较多见。

(2)CT:可显示纵隔内和(或)肺门淋巴结肿大,显示淋巴结的内部结构与周围浸润情况。大部分淋巴结平扫时呈等密度影,与周围组织分界不清,增强后可出现典型环形强化影 。

(3)MRI:易显示纵隔内及肺门结核性淋巴结肿大,增殖性病灶表现为中等信号的结节影,边缘清楚。增强后亦可见周边环形强化影。

肺结核的分型诊断标准,肺结核的分型及影像学表现

胸内淋巴结结核 胸部正位片,右上纵隔旁可见软组织影突向肺野,边界清晰

肺结核的分型诊断标准,肺结核的分型及影像学表现

(二)血行播散型肺结核

血行播散型肺结核(hematogenous disseminated pulmonary tuberculosis)为结核分枝杆菌进入血液循环所致。可来自于原发病灶、气管支气管及纵隔淋巴结结核的破溃,泌尿生殖器官或骨关节等结核病灶的进展溶解,干酪样坏死物破溃进入血管等。根据结核分枝杆菌侵入血液循环的途径、数量、次数和机体的反应,又可分为急性粟粒型肺结核和亚急性或慢性血行播散型肺结核。

1.急性粟粒型肺结核 急性粟粒型肺结核(acute miliary pulmonary tuberculosis)是大量结核分枝杆菌一次或短时间内数次侵入血液循环所引起,多见于儿童及原发型肺结核阶段。

【影像学表现】

(1)X线:初期仅见肺纹理增多,约在两周才出现典型粟粒样结节。表现为广泛均匀分布于两肺的粟粒大小的结节状密度增高影。其特点为病灶分布均匀、大小均匀和密度均匀,即所谓“三均匀”表现。由于病灶数量多且分布密集,两肺野可呈磨玻璃样改变。分布密集的粟粒样结核可将肺纹理遮盖,使正常的肺纹理不易辨认。大小一致的粟粒样致密影,其直径1~2mm。境界较清楚,若为渗出性病灶则其边缘不清。晚期粟粒状密度增高影常有融合的倾向。

(2)CT:易显示粟粒结节,尤其HRCT 可清晰显示弥漫分布的粟粒性病灶,更加典型地显示粟粒结节分布均匀、大小均匀和密度均匀的“三均匀”的特点。

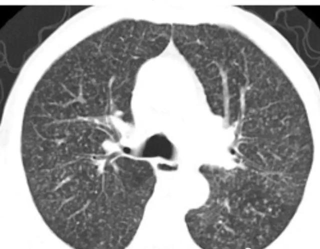
肺结核的分型诊断标准,肺结核的分型及影像学表现

急性粟粒型肺结核 CT肺窗,两肺可见分布均匀、大小均匀、密度均匀的粟粒状影,边界清晰

2.亚急性或慢性血行播散型肺结核 亚急性或慢性血行播散型肺结核(subacute orchronic hematogenous disseminated pulmonary tuberculosis)是由于较少量的结核分枝杆菌在较长时间内多次侵入血液循环所致。播散的来源大多为泌尿生殖器官或骨关节结核病的病菌侵人静脉而引起。

【影像学表现】

(1)X线:病灶大小不一,可从粟粒样至直径 1cm 左右;密度不均,渗出增殖性病灶,密度较高,边缘较清楚,钙化灶密度更高,边缘锐利;分布不均,老的硬结钙化病灶大都位于肺尖和锁骨下,新的渗出增殖病灶大都位于下方。此即所谓“三不均匀”,与急性粟粒型肺结核的“三均匀”所见不同。少数病例的粟粒病灶融合,产生干酪样坏死,形成空洞和支气管播散,X线表现更多样而复杂。

(2)CT:在显示病灶分布、大小、密度方面较X线更加敏感和清楚,亦可显示细小的钙化灶及结节的融合情况。

肺结核的分型诊断标准,肺结核的分型及影像学表现

肺结核的分型诊断标准,肺结核的分型及影像学表现

亚急性或慢性血行播散型肺结核

CT肺窗,两肺可见大小不一、密度不均、分布不均的粟粒及小结节影

(三)继发型肺结核

继发型肺结核(secondarypulmonarytuberculosis) 是肺结核中最常见的类型,大多见于成人。多为已静止的原发病灶重新活动,即内源性。偶为外源性再度感染,即结核分枝杆菌再次从外界吸入肺部,因为机体已产生特异性免疫力,结核菌不再在淋巴结内引起广泛干酪性病灶,故肺门淋巴结一般不大。病变趋向局限于肺的局部,多在肺尖、锁骨下区及下叶背段。

【影像学表现】

1.X线 继发型肺结核的X线平片表现与病变性质有关。

(1)渗出浸润为主型:病灶大多呈斑片状或云絮状,边缘模糊,好发于上叶尖后段和下叶背段,以尖后段最多见,病灶可单发或多发,局限于一侧或两侧肺尖和锁骨下区。病灶内密度减低区为病灶溶解、空洞形成的表现。空洞可为薄壁、张力性、干酪厚壁和纤维空洞等。有时可见空洞播散所致其他肺野的较广泛和散在的支气管播散灶,呈大小不等的斑点状和斑片状影。

(2)干酪为主型:包括结核球和干酪性肺炎。结核球为一种干酪性病变被纤维组织所包围而成的球形病灶,也可因空洞的引流支气管阻塞,其内为干酪物质所充填而成,呈圆形或椭圆形,称为结核球或结核瘤。好发于上叶尖后段与下叶背段,其他部位少见。多为单发,少数可多发大小多为2~3cm。结核球轮廓多较光滑,少数可呈切迹很浅的分叶状;密度较高且较均匀,但其内的干酪物质可液化并经支气管排除后形成空洞,其形态不一,以厚壁多见。部分结核球内可见成层的环形或散在的斑点状钙化。近胸膜的结核球,在病灶与胸膜间有时可见索条状粘连带。结核球邻近的肺野可见散在的增殖性或纤维性病灶,称为卫星病灶。干酪性肺炎为大量结核分鼓杆菌经支气管侵入肺组织而迅速引起的干酪样坏死性肺炎,表现为肺段或肺叶实变,轮廓较模糊,与大叶性肺炎相似,但以上叶多见。肺叶体积常因肺组织广泛破坏而缩小。有时在同侧和(或)对侧肺内,可见经支气管播散的小结节或斑片状边缘模糊阴影。

(3)空洞为主型:以纤维厚壁空洞、广泛的纤维性病变及支气管播散病灶组成病变的主体。该型患者痰中可查出结核分枝杆,,是结核病的主要传染源。锁骨上下区可见不规则慢性纤维空洞,周围伴有较广泛的条索状纤维性改变和散在的新老不一的病灶。在同侧和对侧肺内多可见斑点状的支气管播散病灶。由于广泛的纤维收缩,常使同侧肺门上提,肺纹理垂直向下呈垂柳状,可合并支气管扩张。未被病变所累及的肺野呈代偿性肺气肿表现。病灶邻多可见胸膜增厚粘连。广泛纤维化及胸膜增厚引起同侧胸廓塌陷,邻近肋间隙变窄,纵隔向患侧移位,肋膈角变钝,同时可伴有横膈圆顶幕状粘连。

肺结核的分型诊断标准,肺结核的分型及影像学表现

肺结核的分型诊断标准,肺结核的分型及影像学表现

肺结核的分型诊断标准,肺结核的分型及影像学表现

肺结核的分型诊断标准,肺结核的分型及影像学表现

a.两上肺可见斑片状影,边缘模糊;b.右上肺可见片状及结节状高密度影,右肺门上提;c.右上肺可见斑片状密度增高影,边缘模糊;d.右上肺可见片状模糊影,其内可见两个薄壁空洞;e.两上肺斑片状及条索状影,右上肺可见多发小空洞,邻近胸膜增厚,两肺门上提,两下肺纹理呈垂柳状;

2.CT 继发型肺结核CT表现同样与病变性质有关。

(1)渗出浸润为主型:表现为结节状或呈不规则斑片状影,边缘较模糊,密度不甚均匀,有时病灶内可见小空洞影。增殖性病灶密度较高,边缘清楚,病灶内或周围可见不规则钙化灶。浸润性病变常与纤维化并存,可伴有邻近的支气管扩张,有时也可见局限性肺气肿表现。

(2)干酪为主型:表现为上肺大叶实变其内可见多个小空洞,下肺常可见沿支气管分布的播散病灶。结核球呈圆形或类圆形,多数密度不均,其内常可见钙化,有时可见小空洞影;边缘清楚,部分可呈浅分叶状,少数可见毛刺征或胸膜凹陷征,周围常可见卫星病灶;增强扫描时病灶不强化或仅出现边缘环形强化。

(3)空洞为主型:空洞病灶周围有较多的索条状致密影,常见钙化,肺纹理粗乱扭曲,可见支气管扩张。病变同侧和对侧肺野可见新旧不一的结节状支气管播散病灶,典型者出现“树芽征”。纵隔向患侧移位,常伴明显胸膜增厚及相应部位的胸廓塌陷。

肺结核的分型诊断标准,肺结核的分型及影像学表现

继发型肺结核CT表现

a.浸润性肺结核:右上肺斑片状实变影,周围可见条索状及结节状影;b、c. 干酪性肺炎:右上肺见大片状实变影。边界模糊,周围可见多发小片状实变影;d、e. 结核球:左上肺见团块状影,内见点状钙化灶;f.右上肺见一薄壁空洞,周围见斑片状卫星灶;g.两上肺见斑片状及条索状影,左上肺可见钙化灶,右上胸膜增厚明显;

#防治结核病全民行动共享健康#​#肺结核治愈后体检还能看出来吗#​

本文关键词:肺结核分型及诊断标准表格,肺结核患者诊断分型,肺结核分型及各型中的分型,肺结核的分型依据是什么,肺结核分型口诀。这就是关于《肺结核的分型诊断标准,肺结核的分型及影像学表现》的所有内容,希望对您能有所帮助!

本文链接:https://bk.89qw.com/a-811641

最近发表
网站分类