百科生活 投稿
关于【两例超高白细胞计数的案例分享】,六分钟带你了解体内白细胞,今天涌涌小编给您分享一下,如果对您有所帮助别忘了关注本站哦。
作者 | 马庆峰
单位 | 山东第一医科大学附属肥城医院(肥城市人民医院)
前 言
病理性白细胞增多可分为反应性增多和异常增生性增多。急性感染是反应性增多常见原因,多数细菌感染后的白细胞数量为(10~30)×109/L。
超过30×109/L提示深部感染或腹膜炎,多数医院危急值既设在这个水平;超过50×109/L提示严重感染,外周血可为类白血病反应。超过100×109/L则应考虑异常增生性增多(造血细胞克隆性疾病),即急、慢性白血病或骨髓增殖性肿瘤(MPN)。
案例经过
案例一:患者为老年女性,血常规结果:
散点图:
报警:
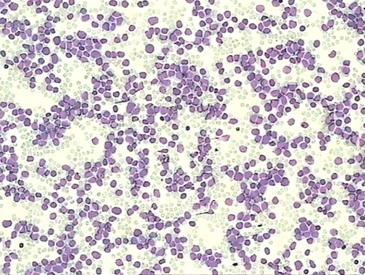
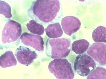
低倍镜下:
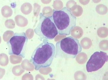
油镜下:
案例二:患者为男性少年,血常规结果:

散点图:
报警:
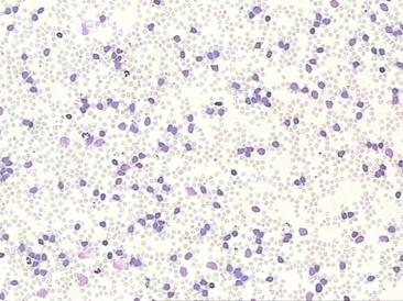
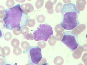
低倍镜下:
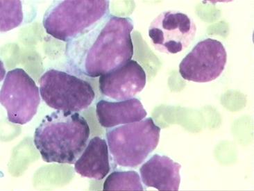
油镜下:
案例分析
案例一WBC 310×109/L,淋巴细胞86%,散点图在淋巴细胞区域增大、增亮。此时报警已无意义,直接镜检。镜下以成熟淋巴细胞为主,并可见涂抹细胞,偶见幼稚细胞。考虑为LPD(淋巴细胞增殖性疾病),联系临床,为已确诊CLL(慢性淋巴细胞白血病)患者。
案例二WBC 685×109/L,单核细胞65%,散点图在单核细胞区域可见集中一群细胞,此单核非彼单核。多数这种情况下为原始、幼稚细胞,因胞体较大散点落在这一区域。镜下以原始细胞为主,并可见异常嗜酸性粒细胞。
临床为首发症状发热患者,病情危急,直接转上级医院治疗。虽无确诊,外周血可直接诊断为AML(急性髓系白血病),并有很大可能为AML伴inv(16)(p13.1;q22)或t(16;16)(p13.1;q22);CBFB/MYH11既AML-M4Eo。
案例总结
在外周血液中,由于中性粒细胞占白细胞总数的50%-70%,其数量的多少可直接影响白细胞总数的变化。一般情况下,白细胞总数的变化与中性粒细胞数量变化基本一致。但是,淋巴细胞、嗜酸性粒细胞、单核细胞等数量上的改变也会引起白细胞总数的变化。因此,若出现白细胞总数与中性粒细胞的数量关系不一致的情况,则应具体分析。
白细胞计数超高的病例并不常见,但如此高的白细胞说明了病情严重,症状已很明显。借助一张血涂片,大概率能找到答案。通过外周血涂片,结合症状、形态学、细胞化学染色,指明疾病的大概方向,甚至能直接确诊,即为外周血形态学。
【参考文献】
[1]临床血液学检验/许文荣王建中主编.5版.北京:人民卫生出版社,2012
[2]临床检验诊断学图谱/王建中主编.北京:人民卫生出版社,2012
[3]血液病诊断及疗效标准/沈悌赵永强主编.4版.北京:人民卫生出版社,2018
[4]血液病学/张之南郝玉书主编.2版.北京:人民卫生出版社,2011
本文关键词:体内白细胞起什么作用,六分钟带你了解体内白细胞的功能,体内白细胞有什么用,你体内的白细胞有多帅,体内白细胞偏高什么原因。这就是关于《两例超高白细胞计数的案例分享,六分钟带你了解体内白细胞》的所有内容,希望对您能有所帮助!
- 最近发表