百科生活 投稿
关于【肺栓塞怎么检查】,怎么样检查才可以查出肺栓塞,今天涌涌小编给您分享一下,如果对您有所帮助别忘了关注本站哦。
- 内容导航:
- 1、肺栓塞怎么检查:肺栓塞诊断难?其实 7 个检查就搞定
- 2、肺栓塞怎么检查,怎么样检查才可以查出肺栓塞
1、肺栓塞怎么检查:肺栓塞诊断难?其实 7 个检查就搞定
肺血栓栓塞症 (PTE) 起病一般急骤隐匿、无典型临床表现、发现较晚、病死率和致残率高,因此早期识别 PTE 至关重要。
当前 PTE 的最终确诊依赖于「金标准」检查,但在临床工作中因各种原因,其应用性低,故本文主要从如何评估以及常用辅助检查方面来浅谈 PTE 的早期识别。
危险因素
凡可导致血流淤滞、血管内皮损伤和血液高凝状态的因素(Virchow 三要素,图 1)均为 PTE 的危险因素。年龄是独立的危险因素,随年龄增长,VTE 发病率逐渐升高。

图 1. Virchow 三要素(人物肖像来源:维基百科)
表 1. 肺栓塞常见危险因素

来源:肺血栓栓塞症诊治与预防指南 (2018). 中华医学杂志,2018,98(14)
识别 PET 第一步:先进行临床可能性评估
PTE 临床表现形式多样,缺乏特异性(仅约 20% 的患者出现典型肺梗死三联征:呼吸困难、胸痛、咯血),其最常见症状和体征分别为不明原因的呼吸困难、呼吸急促(表 2)。
表 2. PTE 常见症状与体征

来源:肺血栓栓塞症诊治与预防指南 (2018). 中华医学杂志,2018,98(14)
基于危险因素和临床表现已制定出多种 PTE 临床可能性评分表,目前常用简化版 Wells 评分和修订版 Geneva 评分量表(表 3)。
表 3. 简化版 Wells 评分和修订版 Geneva 评分量表

来源:肺血栓栓塞症诊治与预防指南 (2018). 中华医学杂志,2018,98(14)
- 以上评估结果为低度可能时:
可应用肺栓塞排除标准(Pulmonary Embolism Rule-Out Criteria,PERC,表 4),评分为 0 分时,PTE 可能性<1%,无需进行 D–二聚体等相关检查。
表 4. PER

PERC 的安全性已被 Freund 等证实。需注意的是 PERC 仅适用于低度可能的患者。
识别 PET 第二步:疑似肺栓塞者,按照以下流程图进行评估
近年来提出一种新的简化肺栓塞筛查流程的 YEARS 方案。

图 2. YEARS 方案(图片来自 Lancet)
常用的 7 个辅助检查及如何评估
1. D–二聚体
D–二聚体的影响因素众多,其作用主要用于排除 PTE。D-二聚体水平<500 μg/L,可基本排除急性 PTE。
目前常用经年龄调整的 D-二聚体临界值 (>50 岁患者为年龄 (岁)×10 μg/L)来提高老年患者的诊断特异性。
2. 动脉血气分析
尽管 40%PTE 患者的动脉血氧饱和度正常,20%PTE 患者的肺泡-动脉氧分压差(P(A-a)O2)正常, 但这也从侧面说明大部分 PTE 患者的动脉血气分析会发生异常,这为我们 PTE 疑诊提供了线索。
PTE 患者的血气分析一般表现为低氧血症、低碳酸血症、P(A-a)O2增大。
P(A-a)O2(mmHg)= PAO2–PaO2
PAO2 = FiO2(Patm–PH2O)–PaCO2/0.8
FiO2:吸入氧浓度,Patm:大气压,PH2O : 水蒸气压
可简化为:P(A-a)O2(mmHg)= 150–1.25 PaCO2–PaO
不吸烟年轻人 P(A-a)O2 正常值为 5~10 mmHg,正常情况下 P(A-a)O2 随年龄增长而增加,每 10 年增加 1 mmHg,一个保守评估 P(A-a)O2正常值方法为:P(A-a)O2 正常值 =(年龄/4)+4。
3. 心电图
PTE 的心电图表现形式多样,可表现为:窦性心动过速、完全性或不完全右束支传导阻滞、V1~V4 导联 T 波改变和 ST 段异常、SⅠQⅢTⅢ、肺型 P 波、电轴右偏、顺钟向转位等,典型的 SⅠQⅢTⅢ在临床上少见。
鉴于此,2001 年 Daniel 等基于心电图表现建立起简便易行的 21 分心电图积分法(表 5),通过心电图识别 PTE 的病理生理改变,并指出心电图得分 ≥ 10 分时,提示重度肺动脉高压(敏感性 23.5%,特异性 97.7%)。
2007 年 Tossi 等的研究表明,心电图得分 ≥ 3 分时,提示右心室功能不全(敏感性 76%,特异性 82%)。
表 5. Danniel 心电图评分

此外,一些新的心电图参数也可提示存在 PTE(图 3)。
RS 段时间延长可预测肺栓塞,切值为 64.20ms 时预测急性肺栓塞的敏感性、特异性分别为 85.3%、79.4%。V1 和 V6 导联间 QTc 差值 ≥ 20ms 在诊断 PTE 方面的敏感性、特异性、阳性预测值分别为 82.2%、100.0%、100.0%。

图 3. 心电图参数示意图(来源: Medicine (Baltimore))
4. 胸部 X 线片
大多数 PTE 患者的胸部 X 线会出现非特异性变化(肺不张、胸腔积液、肺浸润、患侧膈肌抬高等),主要用于排外其它诊断。
需注意的是,以下罕见的典型胸部 X 线征象高度提示 PTE。Westermark 征(图 4,局部血管纹理减少)、Hampton’s hump 征(图 5,肺内楔形实变影)和 Palla 征(图 5,右下肺动脉扩张)。

图 4. Westermark 征(图片来自 NEJM)

图 5. Hampton’s hump 征 (长箭头) 和 Palla 征(短箭头)(图片来自 Circulation)
5. 超声心动图
超声心动图可提示诊断、对 PTE 进行分层以及除外其他心血管疾病,并因可床旁进行检查,操作性强,重要性日益受到重视。超声心动图表现包括直接征象和间接征象(表 6)。
表 6. 超声心动图直接征象和间接征象


图 6. 超声征象(来源:Echocardiography in the Evaluation of Pulmonary Embolism.Cardiol Rev)

图 7. 超声征象(来源:Echocardiography in the Evaluation of Pulmonary Embolism.Cardiol Rev)
当疑似 PTE 患者的超声心动图出现以上表现时,需警惕存在 PTE。
Kurzyna 等的研究结果表明,单独应用 60~60 征、McConnell‘s 征在识别急性肺栓塞方面的敏感性分别为 25% 和 19%、特异性分别为 94% 和 100%。两者联合应用时可提高急性肺栓塞检出率(敏感性 36%、特异性 94%)。
6. 加压静脉超声成像
加压静脉超声成像(CUS)可发现 95% 以上的近端下肢静脉内血栓,故一般我们首选 CUS 诊断 DVT。静脉不能被压陷或静脉腔内无血流信号为 DVT 的特定征象和诊断依据(图 7)。

图 8. CUS 示意图(CFA: 股总动脉;CFV:股总静脉;GSV:大隐静脉;LT:左侧(图片来自哈里森内科学 20 版))
7. 肺部超声
肺部超声(lung ultrasound,LUS)可能会显示典型的周围型 PTE 表现:
胸膜下楔形或圆形(楔形多见),界限清楚,大小约 5-30 mm 的低回声病灶,平均每名患者有 2.5 个该病灶,可伴少量胸腔积液。
该病灶的产生是由于肺表面活性物质减少,血栓事件发生几分钟内,肺部充满液体。2012 年肺脏超声国际联合会声明当有 CTPA 禁忌症或不能检查时,建议将 LUS 应用于可疑肺栓塞患者(图 8)。
LUS 诊断肺栓塞的敏感性和特异性分别高达 87%、83.0%。

图 9. 肺部超声示意图(来源 Ultrasound Med Biol)
临床医师可通过识别危险因素、做好 PTE 临床评估、进行可及的辅助检查可早期识别 PTE。
2、肺栓塞怎么检查,怎么样检查才可以查出肺栓塞
就肺栓塞诊断而言,最佳的诊断方法当数影像学检查,那么本期小编将给大家分别介绍一下肺栓塞影像诊断的“四大名捕”!
作者:柴斯特
来源:医学界心血管频道
肺栓塞(PE)是内源性或外源性栓子堵塞肺动脉或其分支引起的肺循环障碍的临床和病理生理综合征。由于其临床表现多种多样,缺乏特异性,故而易被误诊误治,毫无疑问正确的治疗首先来源于正确的诊断。
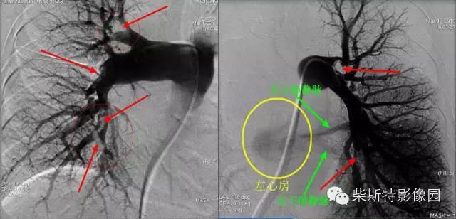
第一大名捕:肺动脉造影
红色箭头所指处即为栓子导致的充盈缺损。尽管肺动脉造影目前已经被肺动脉CTA所替代,但是其“老大”的地位还是无法撼动!
“老大”的绝招是其不仅可以提供整体的肺血管的解剖学资料,而且可以提供血流动力学参数,即可以用于诊断也可以用于治疗,如急性肺栓塞的导管内局部溶栓、捣栓、碎栓、抽栓,先天性肺动脉狭窄的球囊扩张、支架植入、肺动静脉瘘的栓塞治疗等。
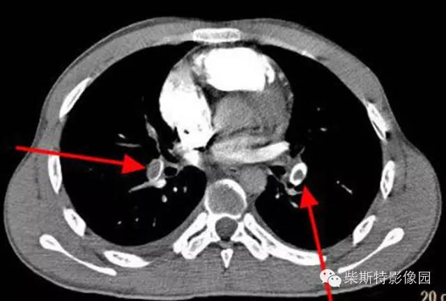
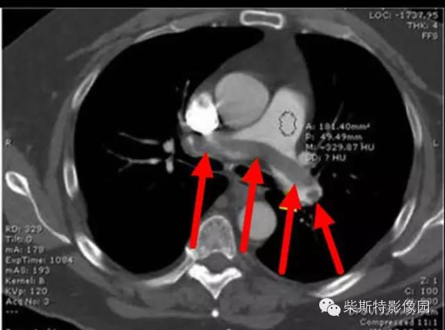
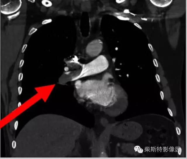
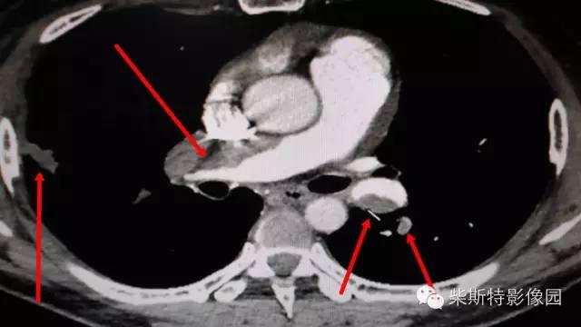
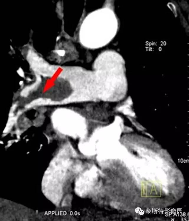
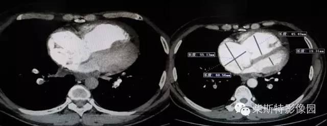
第二大名捕:肺动脉CTA
红色箭头所指处即栓塞导致的充盈缺损,从横断位、冠状位、矢状位三个层面观察,造影剂为高密度白色,而栓子的存在导致造影剂无法充填,从而表现为黑色的低密度影。俗话说的好:长江后浪推前浪!肺动脉CTA的本领已经基本超越其“大哥”肺动脉造影!还可以估测房室大小!
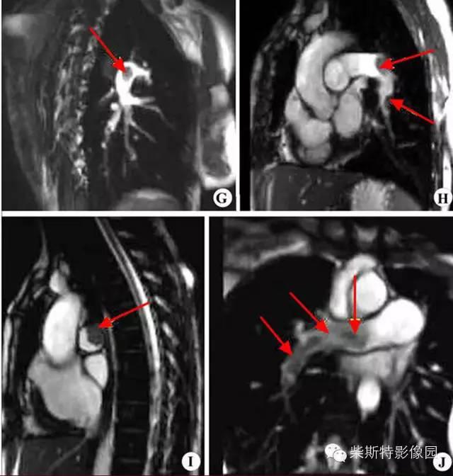
第三大名捕:肺动脉MRA
磁共振肺灌注成像(MRPP)
小编解析:
其实就论本领而言,肺动脉MRA与肺动脉CTA不相上下,二者各有千秋!只因肺动脉CTA速度上较其更快一些,故排名第二!
第四大名捕:肺通气灌注扫描
肺灌注显像:溶栓前(上图)和溶栓后(下图)
肺通气灌注扫描的本领也是不容小视!尽管排名第四,但有时候前三位“大哥”破不了的案,还要依赖于这个“四弟”!
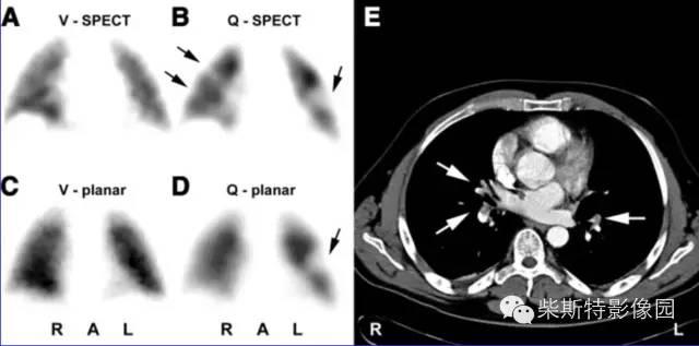
V/Q-SPECT(肺通气/灌注-单光子发射计算机断层成像技术)
V/Q-SPECT显像诊断PE的标准:与平面V/Q显像一样,检测到肺通气与肺灌注不匹配。
coronal-冠状位 sagittal-矢状位 transverse-横断位
几个典型肺栓塞患者的V/Q-SPECT显像:肺通气/灌注不匹配(箭头所指为灌注缺损)
V/Q-SPECT-CT融合显像技术
双肺多发栓塞,节段性V/Q不匹配(SPECT断层现象:A、B),(平面显像:C、D),CTPA:栓子位于右肺中动脉分支和双侧下肺动脉分支
患者患有COPD和肺气肿,右肺上叶肺大疱导致V/Q显像不匹配(假阳性),肺通气分布不均在COPD患者中较常见,箭头所指为灌注缺损。
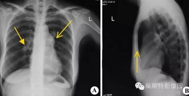
胸部X线片
两肺纹理稀疏,肺动脉段突出
心脏彩超
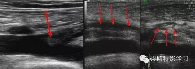
下肢深静脉超声
下肢深静脉超声:红色箭头所指为血栓(纵切面)
下肢深静脉彩色多普勒CDFI:红色箭头所指为血栓(纵切面)
本文关键词:肺栓塞怎么治疗最好,慢性肺栓塞怎么检查,肺部栓塞如何治疗,肺栓塞怎么检查比较好,肺栓塞怎么检查出来。这就是关于《肺栓塞怎么检查,怎么样检查才可以查出肺栓塞(其实 7 个检查就搞定)》的所有内容,希望对您能有所帮助!
- 最近发表