百科生活 投稿
关于【口腔内壁长了个白色凸起图片】,嘴内壁起一个泡是什么原因,今天小编给您分享一下,如果对您有所帮助别忘了关注本站哦。
- 内容导航:
- 1、口腔内壁长了个白色凸起图片:体内有癌,口腔先知?提醒:口内出现这种东西,可能是癌症的预警
- 2、口腔内壁长了个白色凸起图片,嘴内壁起一个泡是什么原因
1、口腔内壁长了个白色凸起图片:体内有癌,口腔先知?提醒:口内出现这种东西,可能是癌症的预警
“你这个口腔白斑看上去......有家属在吗?”
医生的问话像一道巨雷在赵女士耳畔炸响,震得她两眼发黑、心慌意乱,一时间竟忘了回话。
赵女士今年48岁,近来因为口腔溃疡严重影响了饮食和生活,就来医院口腔科做了一下检查,本意是拿点消炎药之类的回去吃吃,没想到医生检查后竟说这并不是普通的口腔溃疡,而是口腔白斑病,坚持要赵女士再做一个活体检测。
检测结果出来后,医生看着检测报告,眉头紧皱,说出了开头那句话:“你这个口腔白斑看上去......有家属在吗?”
“医生,我这是......”赵女士回过神来。
医生说:“初步判断是溃疡糜烂型口腔白斑发生了癌变,不过也有出错的可能,还需要再做进一步的检查。”
听完医生的话,赵女士只觉得自己的脑袋突然炸成了一片空白,只剩下“癌变”两个大字漂浮于脑海,回荡于耳旁。
后来,医生又给赵女士做了更为详细的检查,最后给出了诊断:口腔鳞状细胞癌。
不就是一个普普通通的口腔溃疡吗?怎么就突然变成口腔癌了?赵女士的家人也想不明白,医生只好对此做出了简单的解释:
口腔白斑是什么?专业的说法是:
发生于口腔黏膜上,不能被清除,且临床及组织病理学均不能诊断为其他可定义的白色损害,是一种常见的口腔黏膜癌前病变。
翻译一下就是:一种可能长在口腔任意部位的白色斑块,它不能被擦掉,也不属于其他任何已知疾病。
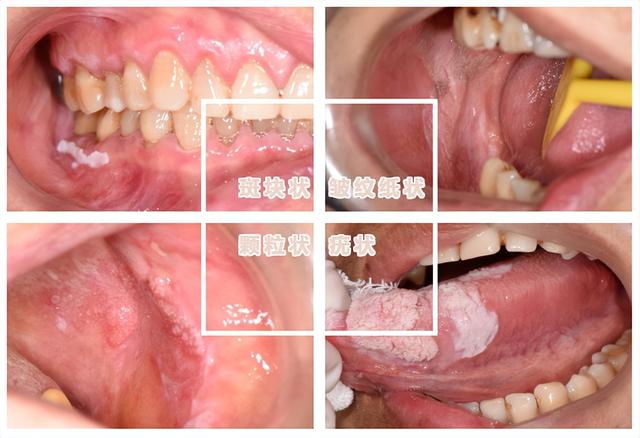
口腔白斑有多种形状:有一些带有绒毛状突起、摸上去硬硬的;有一些像皱巴巴的纸、摸上去很粗糙;有一些就是白色的斑块,中间可能有红色的糜烂,摸上去会有颗粒感......
大多数口腔白斑并不会出现痛感,但糜烂溃疡型口腔白斑常伴有疼痛,而且和口腔溃疡长得很像,所以很多患者很容易把它当成普通的口腔溃疡,耽误了最佳治疗时机。
近年来,口腔白斑发病率呈上升趋势,为 0.69% ~ 2.03%,但其直接致病因素尚且不明。不过,口腔界还是一致认为,以下这4种因素会大大增加口腔白斑的患病风险。
抽烟和喝酒
没错,几乎所有的口腔疾病都能和烟酒扯上关系,它们已经成为了口腔医生口中的万金油话术。不过,口腔白斑和口腔癌确实和抽烟喝酒有着强关联。
抽烟时,局部的高温裹挟着尼古丁、焦油等大量有害物质,直接和我们的口腔黏膜接触,很容易引起各类口腔疾病。流行病学调查显示,口腔白斑的发生率和吸烟时长以及吸烟量呈正相关关系,吸烟史越久、吸烟量越大,就越容易患上口腔白斑。
而酒水中的乙醇,也已被证实是口腔白斑发生的独立危险因素。
细菌和病毒感染
念珠菌和人乳头瘤状病毒(HPV)感染,也容易导致口腔白斑。其中念珠菌感染导致的口腔白斑病多发于口角内侧三角区,且癌变的可能性较大。
口内局部刺激
很多人看到这一定在想,哎呀老黑你不是说牙齿的吗,怎么改说口腔了,别慌,牙齿的内容这不就来了吗。一般认为,牙结石、牙周炎、牙齿残根残冠、咬合不良等问题,均有可能导致口腔白斑的发生。
牙齿残根
营养不均衡
研究表明:如果人体缺乏锰、锶、钙等微量元素、维生素A和维生素E等脂溶性维生素,都可能导致口腔白斑的发生。
在这里要明确一点:癌前病变≠癌症
前面说过,口腔白斑属于一种常见的癌前病变,也是口腔鳞状细胞癌的重要来源之一。
但癌前病变并不是癌症,不是说出现了口腔白斑就等同于患了癌。癌前病变的意思是,这种病变有进化成癌症的可能,而这种可能,和人们常说的“吸烟可能导致肺癌”也大差不差,都只是一种概率问题。
目前,口腔白斑的癌变率大概在0.13%~34%左右,不同人群和不同病情的癌变风险都不一样。至于如何判断白斑是否癌变,则需要医生去做专业的相关检查,这里暂且不表。
从病理角度看:
口腔白斑的发生伴随上皮过角化和上皮增生,上皮异常增生的程度越高,发生癌变的风险就越高。
从白斑类型看:
颗粒状、疣状、糜烂溃疡型、念珠菌或HPV感染导致的口腔白斑,癌变风险会更大。(图很恶心,就不配图了)
从病灶位置看:
位于舌缘、舌腹、口底以及口角的白斑容易发生癌变。
从患病时间看:
患病时间越长,癌变概率越大(所以,当发现自己患上口腔白斑时,一定要及时就医治疗)
从患者性别看:
口腔白斑重男轻女,常见于40岁以上的男性;但癌变率却重女轻男,目前相关癌变数据显示,女性口腔白斑更容易发生癌变,尤其是不吸烟的女性。当然,这不是说吸烟有益病情,而是不吸烟的女性致病因素往往是香烟之外的因素,癌变率相对会更高。
从病变面积看:
白斑病损面积越大,癌变率越高,一般大于2cm²的就需要多加注意了。
很遗憾,口腔白斑目前尚无理想的治疗方法,主要采用药物治疗和去除病损的治疗,只能起到消除病损和防止恶化的作用。
治疗药物受平台限制,这里不表,只能说安全性都不高,而且用药后的不良反应很大。
去除病损的治疗一般分为手术治疗、激光治疗、冷冻治疗和光动力治疗,但都存在继发癌变和复发可能。
其中,手术治疗复发率25%,继发癌变率7%;激光治疗复发率24%,继发癌变率4.9%;冷冻治疗复发率16%,继发癌变率5.4%;光动力治疗复发率11.6%,继发癌变率7.5%。(数据来自:马雅君,宋国华,张芳.口腔白斑癌变相关因子研究进展[J].医学综述,2022,28(08):1539-1544.)
从临床治疗手段和术后恢复情况来看,光动力疗法是目前最佳的口腔白斑治疗方法,其特点是对病损细胞或组织具有选择性杀伤作用,但不损伤其他正常组织。
且这种治疗方式对患者来说非常友好:无需住院,单次治疗仅需半日;术前无需特殊准备,术中术后疼痛均不明显;微创,不会留下瘢痕。
光动力治疗原理
当光敏剂作用于靶病灶及周围组织时,其会选择性地聚集在异常增殖的细胞内,采用特定波长的光源照射该区域,激发光动力反应,令细胞产生单线态氧 ,利用其毒性作用杀伤靶细胞
在日常生活中,如果我们发现自己的口腔中存在疑似白斑的东西,应该如何处理呢?
当然是直接就医!任何让我们感受到不舒服的情况,不管是生理上的不适,还是心理上的担忧,都建议去就医诊疗。
尤其是当你发现口腔内存在白色或黑色或红色的肿块、持续不好的白斑或溃疡(2周以上)等情况时,都应及时就诊。
有问题,尽早发现积极治疗,恢复身体健康;没问题,放下一颗担忧的心,恢复心理健康!
最后,还是要再啰嗦一句,在当今的医疗环境下,没有必要谈癌色变。一方面,很多癌症都已经被逐渐攻克,能够彻底治愈,再不济也能大大延长患者寿命,而另一方面,恐慌和焦虑心态也容易诱发癌症、恶化病情。
对待疾病,我们都应该保持警惕,但不过度忧虑,良好的心态也是一种健康!
最后,赶快照照镜子,自查一下你有没有相关症状吧。
本文参考资料:
[1]赵进进,蔡扬.光动力疗法治疗口腔白斑疗效影响因素研究进展[J].口腔医学研究,2022,38(04):304-307.DOI:10.13701/j.cnki.kqyxyj.2022.04.002.
[2]马雅君,宋国华,张芳.口腔白斑癌变相关因子研究进展[J].医学综述,2022,28(08):1539-1544.
[3]. 口腔白斑治疗方法的系统评价[C]//.中华口腔医学会第十三次全国口腔粘膜病学暨第十一次全国口腔中西医结合学术大会论文汇编.,2021:107.DOI:10.26914/c.cnkihy.2021.062885.
[4]张立铭,陈薇婧,王爽,冯浩然,黄旋平,李翠萍.影响口腔癌发病的相关因素分析[J].广西医学,2021,43(11):1291-1296.
[5]王晓坤,杨欢,范金虎.口腔黏膜白斑:被忽视的癌症哨兵[J].抗癌之窗,2021(03):77-78.
#非常病例#
2、口腔内壁长了个白色凸起图片,嘴内壁起一个泡是什么原因
嘴内壁起一个泡是什么原因?很多人认为嘴上长泡是一件非常平常的事情,没有放在心上,认为过一段时间会自己好,其实嘴上长泡也应该要特别的注意一下,可能预示着身体出现了什么问题,像是疲劳,感染,过敏,缺少维生素等等,下面就来给大家介绍一下嘴上长泡预示哪几种疾病的出现,想要了解的人就跟着小编一起来看看吧,今天小编就来说说关于嘴内壁起一个泡是什么原因?下面更多详细答案一起来看看吧!

嘴内壁起一个泡是什么原因
很多人认为嘴上长泡是一件非常平常的事情,没有放在心上,认为过一段时间会自己好,其实嘴上长泡也应该要特别的注意一下,可能预示着身体出现了什么问题,像是疲劳,感染,过敏,缺少维生素等等,下面就来给大家介绍一下嘴上长泡预示哪几种疾病的出现,想要了解的人就跟着小编一起来看看吧。
1、牙龈红肿
这种是牙龈炎的典型症状,有的人还会有出血的问题,严重还会导致牙齿松动和牙齿脱落,预防是最好的一种策略,做到早晚刷牙和使用牙线清洁牙缝,尤其是在睡前以减少牙菌膜的积聚,每一年或者是每半年应该要清洁一次牙齿,预防牙结石的形成。
2、唇疱疹
生长在嘴唇或其周围的小水泡,传染性极高,多发于感冒、发烧、月经期等人体抵抗力下降时期。唇疱疹可通过亲吻、与感染者亲密接触或共享餐具传染。虽然唇疱疹在几天之内就能消失,但滋味很不好受,可以用棉花棒蘸一些凡士林涂在上面,并尽量避免风吹日晒。
3、口腔溃疡
口腔中任何部位都可能被它袭击,一般呈白色凸起的水泡形状,并伴有疼痛感。导致口腔溃疡的原因有很多,比如过敏、感染、疲劳或缺乏维生素等,通常会持续一两周后可以自愈,但如果持续时间长、反复发作的就要及时就医。
4、口腔白斑
是口腔对外界刺激的最直接反应,假牙不合适,经常抽烟,长期风吹日晒都可能导致这种口腔疾病。多发于唇、舌、牙龈和舌底,早期并无不适感,如果发生糜烂或溃疡,会有强烈的疼痛感,但如果继续恶化,斑块突然快速增大增厚,这时就要特别小心了,可能是癌前病变的信号。
5、地图舌
舌头表层陷下去一块,就像画了一块地图一样。一般情况下,地图舌不需要治疗会自愈,但如果有疼痛感,可以吃一些止疼和消炎药。
上面给大家介绍的就是嘴上长泡预示了哪几种疾病的出现,现在大家应该也知道了吧,嘴上长泡有可能是因为以上的这些疾病的原因所造成的,一定要特别的注意,如果长泡的情况越来越严重,最好能够到医院里面去检查一下,这样才能够及时的治疗疾病。
本文关键词:嘴角上小白斑图片,口腔苔藓怎么引起的,嘴白斑最初期的图片,口腔内壁长了个白色凸起图片 很硬,白斑最初期症状图片。这就是关于《口腔内壁长了个白色凸起图片,嘴内壁起一个泡是什么原因(提醒:口内出现这种东西)》的所有内容,希望对您能有所帮助!
- 最近发表