百科生活 投稿
关于【横纹肌肉瘤的危害有哪些】,今天小编给您分享一下,如果对您有所帮助别忘了关注本站哦。
- 内容导航:
- 1、横纹肌肉瘤的危害有哪些:儿童横纹肌肉瘤的形成病因及发病率
- 2、横纹肌肉瘤的危害有哪些,你所不知道的横纹肌肉瘤
1、横纹肌肉瘤的危害有哪些:儿童横纹肌肉瘤的形成病因及发病率
儿童横纹肌肉瘤是一种在肌肉组织中形成恶性(癌)细胞的疾病。是肉瘤的一种,发生于软组织(如肌肉),结缔组织(如肌腱和软骨)或骨骼的癌症。横纹肌肉瘤通常起始于连接骨骼并帮助躯体运动的肌肉中,是一种由本应发展成骨骼肌的细胞所长成的癌症,居于软组织肉瘤的第3位,是发病率最高的儿童软组织肉瘤。
横纹肌肉瘤形成病因
现在研究人员理解了很多能导致横纹肌肉瘤的基因改变,但仍不清楚究竟是什么引起了这些变化。一些基因改变可被遗传。另一些可能只是细胞里有时发生的随机事件,并无外因引发。可能与遗传因素、染色体异常、基因融合等因素有关。
横纹肌肉瘤的主要类型
胚胎性:这类横纹肌肉瘤通常发病于头颈部区域或者男性生殖器官或尿路器官。这也是发病率最高的类型。
腺泡性:这类横纹肌肉瘤通常发病于四肢、胸腹部、男性生殖器官、或肛门区域。通常发病于青少年。
多形性:这类横纹肌肉瘤极少发病于儿童。
横纹肌肉瘤的症状
大部分儿童横纹肌肉瘤的患者会出现一些症状或征兆,家长应高度警惕以下5点,一旦发现可疑,尽早诊断排除隐患。
●不明原因的脸色苍白、出血,常伴有倦怠、食欲不振、贫血等现象;
●无缘无故发烧持续一周以上,且体温忽高忽低、难以控制;
●出现局部或全身淋巴结肿大,持续时间较长,且无压痛感;
●不明原因的腹痛、头痛、关节酸痛,同时常出现呕吐、走路不稳等;
●颈部、腋下、腹股沟、后腰部等发现肿块。
横纹肌肉瘤治疗方式
对于早期出现横纹肌肉瘤的治疗手段主要是对肉瘤进行切除再联合化疗以及放疗缓解症状。因为对于完全切除术还要看肿瘤情况,目前只有10%的病人可以做到完全切除,因而,化疗放疗治疗手段并不可少。
值得一提的是,胚胎型横纹肌肉瘤的预后效果相较而言是比较可观的,头颈部和泌尿生殖处的肿瘤预后会比发生在四肢以及躯干的效果好。
2、横纹肌肉瘤的危害有哪些,你所不知道的横纹肌肉瘤
本期嘉宾
许宋锋
中国骨科菁英会骨肿瘤专业会员
中国医学科学院肿瘤医院
你所不知道的横纹肌肉瘤00:0005:32
学习笔记
01 什么是横纹肌肉瘤?
横纹肌肉瘤(Rhabdomyosarcoma,RMS)是一种具有骨骼肌分化倾向的原始间叶性恶性肿瘤。
大概占所有软组织肉瘤的2-5%,常见于儿童和青少年,少见于成人。美国15岁以下儿童的发病率为4.6/10万,45岁以上的中老年则较为罕见。男性略多,男/女为1.2-1.3。
02 横纹肌肉瘤分型的变化
横纹肌肉肉瘤分型
2020年版的WHO分类将横纹肌肉瘤分为4型:
- 胚胎性
- 腺泡状
- 多形性
- 梭形细胞性横纹肌肉瘤(embryonal, alveolar, pleomorphic, and spindle cell/sclerosing)
梭形细胞性横纹肌肉瘤分型
- 先天性梭形细胞横纹肌肉瘤伴VGLL2/NCOA2/CITED2重排
- MYOD1-突变梭形细胞性/硬化性横纹肌肉瘤
- 骨内梭形细胞性横纹肌肉瘤(伴TFCP2/NCOA2重排)
上述三种亚型的梭形细胞性横纹肌肉瘤,它们的形态、临床行为和潜在的分子改变差异很大。
先天性梭形细胞横纹肌肉瘤伴VGLL2/NCOA2/CITED2重排的患者的预后较好,MYOD1-突变梭形细胞性/硬化性横纹肌肉瘤的患者的临床进展较快,骨内梭形细胞性横纹肌肉瘤(伴TFCP2/NCOA2重排)显示上皮样细胞呈片状或束状排列的区域。
胚胎性横纹肉瘤分型
- 梭形细胞
- 葡萄状
- 间变性
腺泡状&多形性横纹肌肉瘤
腺泡状横纹肌肉瘤(alveolar rhabdomyosarcoma,ARMS)较常见,约占31%,仅次于胚胎性横纹肌肉瘤。多形性横纹肌肉瘤(pleomorphic rhabdomyosarcoma,PRMS)较少见,占5%以下。
03 好发部位有哪些?
3大好发部位

- 头颈部(44%)
- 躯干(包括泌尿生殖道,41.4%)
- 四肢(14.6%)
具体发生部位及症状
#头颈部
头颈部的最常见于脑膜旁,其次为眼眶,表现为眼眶内上方生长迅速的无痛性肿块,可引起眼球突出、偏位、视力模糊和复视等症状。
#躯干(泌尿生殖道)
泌尿生殖道的主要位于睾丸旁,好发于青少年,表现为单侧生长的无痛性肿块,可累及精索和附睾,腹膜后和主动脉旁淋巴结也常受累。
#四肢
四肢的主要位于前臂、手和足。除上述之外,少数横纹肌肉瘤还可发生于胆管、纵膈、心脏、肺、肝、肾、皮肤和骨等处。
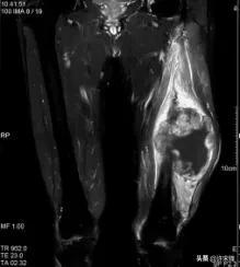
04 影像表现有何特点?
横纹肌肉瘤影像学表现缺乏特异性。
MRI检查时,T1WI表现为和软组织等信号或接近等信号,T2WI表现为高信号,如有坏死表现为更高信号区,如有出血,在T1WI、T2WI上均表现为高信号,增强后有强化表现。
男,65岁,左大腿横纹肌肉瘤,侵及左股骨
05 如何确诊?
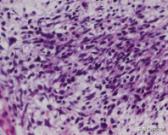
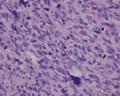
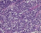
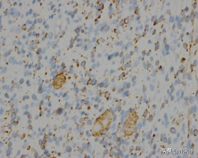
诊断主要依据组织学表现和免疫组化检查。
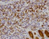
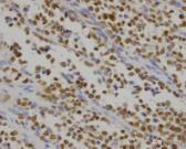
胚胎性(葡萄簇状)横纹肌肉瘤,HE ×200,desmin( ),Myogenin( )
腺泡状横纹肌肉瘤,HE×100,Desmin( ),Myogenin( )
多形性横纹肌肉瘤,HE×200,Desmin( ),MyoD1( )
06 如何治疗?
治疗
手术 放疗、化疗等综合治疗。
晚期:局部广泛切除 放疗、化疗等手段。
放疗
- 单纯放疗只适用于不可手术的或拒绝手术治疗,可以使部分肉瘤略有缩小或暂时性控制其发展,只作为姑息治疗的手段;
- 术前放疗一般照射4500cGy,放疗结束后3周左右手术;
- 术后放疗一般于手术后3~4周开始,达到5000cGy。
化疗
VAC方案、加用ADM的VAC、以ADM和DTIC为主的AD方案(ADM DTIC)和CVAD方案(CTX VCR ADM DTIC)等,新近则有DDP、VP-16、IFO和Melphalan等。
儿童无转移RMS(中或高风险)的标准化疗方案包括长春新碱、放线菌素D和环磷酰胺(VAC)。
长春新碱、阿霉素、环磷酰胺交替使用异环磷酰胺和依托泊苷(VAC-IE)对中度风险RMS有效。
目前,没有成人RMS标准化疗方案离开,可以使用长春新碱和放线菌素D(有或无环磷酰胺),长春新碱、阿霉素和环磷酰胺(单独或交替使用异环磷酰胺、依托泊苷),长春新碱、阿霉素和异环磷酰胺。对中枢神经系统或软脑膜受累的患者,放疗无效时,可以考虑大剂量甲氨喋呤。
作者结语
本文关键词:横纹肌肉瘤治不好吗,横纹肌肉瘤能治好吗,治愈率是多少,横纹肌肉瘤的危害有哪些症状,横纹肌肉瘤的危害有哪些表现,横纹肌肉瘤的治疗方法。这就是关于《横纹肌肉瘤的危害有哪些,儿童横纹肌肉瘤的形成病因及发病率》的所有内容,希望对您能有所帮助!
- 上一篇: 季子越是什么人,季子越的同与不同
- 下一篇: 世界上最昂贵的五种海鲜,迪拜土豪都不一定全吃过
- 最近发表