百科生活 投稿
关于【颈椎侧弯怎么矫正】,今天小编给您分享一下,如果对您有所帮助别忘了关注本站哦。
- 内容导航:
- 1、颈椎侧弯怎么矫正:颈椎病生理弯曲消失了怎么办?
- 2、颈椎侧弯怎么矫正,颈椎侧弯矫正方法
1、颈椎侧弯怎么矫正:颈椎病生理弯曲消失了怎么办?
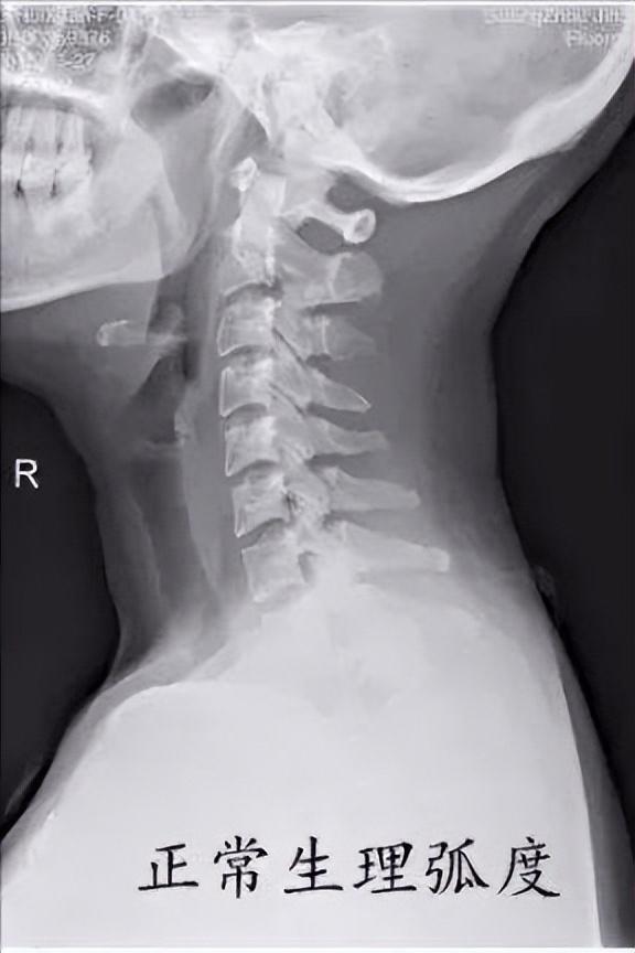
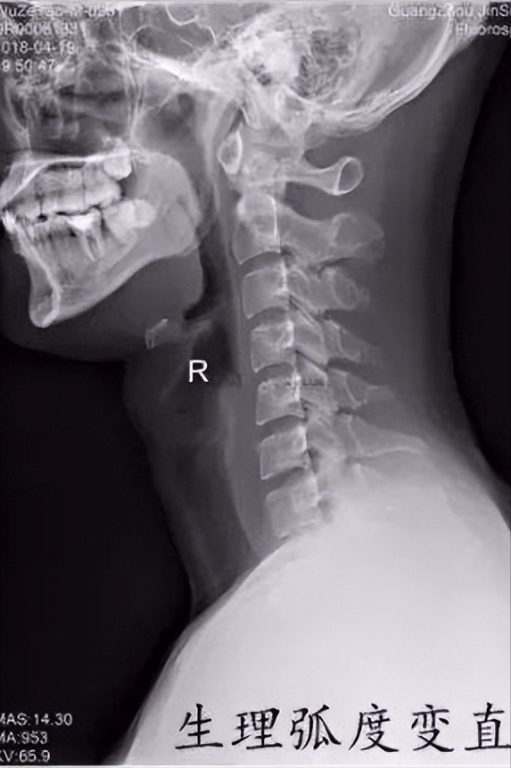
现在的年轻人大多长时间低头看电脑或则低头看手机,经常出现颈部疼痛、落枕、头晕头痛等不适,就诊拍片子经常能看到如下这些情况
这些片子提示你的颈椎的生理弯曲已经消失,甚至出现了反弓。为啥会出现这种情况呢?
首先我们先来了解我们颈椎正常生理情况。正常的颈椎有一个微微向前的生理弯曲,如下图。它的作用就像个弹簧一样,有效的缓解颈部受到的震荡,而且可以维持姿势的稳定性。
其次为啥它会消失呢?主要是因为长时间的姿势不良导致的。低头时颈椎的生理弯曲会消失,长时间低头会导致肌肉过度紧张,导致身体前后肌肉力量不平衡,进而出现颈椎的生理弯曲消失。生理弯曲消失后,颈椎受力情况改变,小关节承受的压力增大,加剧退化;颈椎椎间盘受力增大,退化提前,可能导致椎间盘突出等情况发生。
再者它消失还能矫正吗?大部分颈椎生理弯曲是可以矫正的。
第一改变生活方式,颈椎不要长时间低头,工作40分钟到一小时要休息,适当地抬头,可以两手放在颈部后面,头后仰,两手向前适当用力抵抗,保持十到二十秒。电脑适当抬高屏幕,一般跟眼睛平视或者略抬高10°左右,保守颈部自然的状态。看手机的姿势也需要注意,尽量不要长时间低头。
图片来自网络
图片来自网络
第二自我调曲,颈椎我们可以买调曲枕,或者用毛巾卷成一束,卧位放在颈部中间的位置,保持颈椎向前的弯曲。自我调整颈腰椎的需要坚持一段时间才能见效,毕竟生理弯曲的消失也不是一天两天形成。
第三就是适当的治疗。针对生理弯曲的消失,治疗主要通过各种治疗方法松解紧张的肌肉,正骨手法调整颈椎腰椎的错位,重建动态平衡。
通过这些方式能够恢复颈椎的生理弯曲,达到治疗的目的。
2、颈椎侧弯怎么矫正,颈椎侧弯矫正方法
颈椎侧弯怎么矫正?贴墙站每日贴墙站,10分钟左右,休息30秒,再站10分钟左右,在站的时候的需要脚后跟、小腿肚、臀部、肩胛骨、后脑勺贴墙,手臂外旋,同时收紧下腹部,配合进行腹式呼吸,现在小编就来说说关于颈椎侧弯怎么矫正?下面内容希望能帮助到你,我们来一起看看吧!

颈椎侧弯怎么矫正
贴墙站。
每日贴墙站,10分钟左右,休息30秒,再站10分钟左右,在站的时候的需要脚后跟、小腿肚、臀部、肩胛骨、后脑勺贴墙,手臂外旋,同时收紧下腹部,配合进行腹式呼吸。
俯卧式小燕飞。
在硬床上或干净的硬质地板上,取俯卧位,脸部朝下,双臂以肩关节为支撑点,轻轻抬起,手臂向上的同时轻轻抬头,双肩向后向上收起。与此同时,双脚轻轻抬起,腰底部肌肉收缩,尽量让肋骨和腹部支撑身体,持续3-5秒,然后放松肌肉,四肢和头部回归原位休息3-5秒再做。每天可做30-50下。可分为2-3次,坚持6个月以上。刚开始时,可先做10-20下,逐渐增加。睡前在床上做,贵在坚持。
吊单杠,双手紧握单杠,掌心向外。
身体悬空的时候膝关节保持微弯曲的状态,踝关节相互交叉。保持头部居中且与脊椎成一条直线。双手间的距离保持与肩同宽。将身体垂直向上拉动,直到胸部上部与单杠保持在同一水平线上,关节完全舒展幵来,使得身体向下移动,恢复至初始状态。
本文关键词:胸椎颈椎侧弯怎么矫正,颈椎侧弯怎么矫正多少钱,颈椎侧弯怎么矫正视频,颈椎侧弯怎么矫正图片,颈椎侧弯怎么矫正器具。这就是关于《颈椎侧弯怎么矫正,颈椎病生理弯曲消失了怎么办》的所有内容,希望对您能有所帮助!
- 上一篇: 炒牛肉怎么煮又嫩又好吃,这才是炒牛肉正确的做法
- 下一篇: 眼线膏的正确用法顺序,眼线膏用法秘诀
- 最近发表